| UNIPROT | Q91WP6 |
| Иммуноген | RPB015Mu01-Recombinant Alpha-1-Antichymotrypsin (a1ACT) |
Polyclonal Antibody to Alpha-1-Antichymotrypsin (a1ACT) (PAB015Mu01)
Реактивность подтвержденная:
мышь
Источник (хозяин):
кролик
Валидировано для:
IHC
Характеристики
Публикации
Техническое описание
| Русское название | PAB015Mu01 Поликлональное антитело к a1ACT (мышь) <Cloud-Clone,Китай> |
| Каталожный номер | PAB015Mu01 |
| Название антигена | Alpha-1-Antichymotrypsin (a1ACT) |
| UNIPROT | Q91WP6 |
| Иммуноген | RPB015Mu01-Recombinant Alpha-1-Antichymotrypsin (a1ACT) |
| Английские синонимы | A1-ACT, SERPINA3, AACT, ACT, GIG24, GIG25, Serpin Peptidase Inhibitor Clade A Member 3(Alpha-1 Antiproteinase, Antitrypsin), Cell growth-inhibiting gene 24/25 protein |
Реактивность подтвержденная Нужна другая реактивность? |
мышь |
| Реактивность предсказываемая | человек, крыса |
| Источник (хозяин) | кролик |
| Клональность | поликлональное |
| Рекомбинантное | нет |
| Готовое к использованию | нет |
| Концентрация | 0.5 мг/мл |
| Конъюгат | По запросу: HRP, biotin, PerCP, PE, Cy3, FITC, Cy7, Cy5.5, PE-Cy5, PE-Cy7, PerCp-Cy5.5, APC, Cy5, PE-Cy3, PE-Cy5.5, APC-Cy7, Biotin-APC, FITC-Biotin, TRITC, APC-Cy5, AF488, AF594, AF405, AF555, AF700, AF647, AF750 |
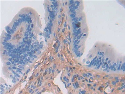
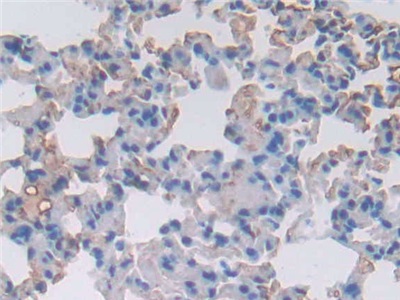
| Валидировано для | IHC Иммуногистохимия |
| Рекомендуемые разведения | WB: 0.01-3 мкг/мл; IHC: 5-30 мкг/мл; ICC: 5-30 мкг/мл; Оптимальное разведение определяется конечным потребителем |
| Метод очистки | Антигенспецифическая аффинная хроматография с последующей аффинной хроматографией с белком А |
| Состав буфера | PBS, pH7.4, 0.02% NaN3, 50% глицерин |
| Условия доставки | термобокс с аккумуляторами холода |
| Условия хранения | Сразу после получения аликвотировать и хранить при -20ºС до 24 месяцев. Для частого использования хранить при +4ºС не более 2 недель. Избегать повторения циклов замерзания/оттаивания |
| Срок хранения | 24 месяца |
| Производитель | Cloud-Clone Corp. |
| Ссылка на страницу товара на сайте производителя | http://www.cloud-clone.com/products/PAB015Mu01.html |
|
Артикул
|
Наименование |
Производитель
|
|---|
|
Артикул
|
Наименование |
Производитель
|
|---|
|
Артикул
|
Наименование |
Производитель
|
|---|
Акции и предложения
Популярные продукты:
Goat Superoxide dismutase (SOD1) ELISA kit (E06S0391)
Организм: коза
Chicken Glucose Oxidase ELISA kit (E12G0341)
Организм: курица
Human Complement C5 Convertase ELISA Kit (E01C2693)
Организм: человек
Monkey Lactadherin(MFGE8) ELISA kit (E09L0335)
Организм: обезьяна
Monkey Cytotoxic T Lymphocyte Associated Antigen 4 ELISA kit (E09C0628)
Организм: обезьяна

