Ваш браузер устарел и не обеспечивает полноценную и безопасную работу с сайтом. Пожалуйста обновите браузер чтобы улучшить взаимодействие с сайтом.
Мы обновили сайт, попробуйте новые функции в личном кабинете!

+7 (495) 798-02-48

Polyclonal Antibody to Alpha-1-Antitrypsin (a1AT) (PAB697Hu01)

Реактивность подтвержденная: человек
Источник (хозяин): кролик
Валидировано для:
IHC
WB
6302
6302
Western Blot; Sample: Lane1: Human Serum; Lane2: Human Plasma Primary Ab: 0.002μg/ml Rabbit Anti-Human a1AT Antibody Second Ab: 0.2μg/mL HRP-Linked Caprine Anti-Rabbit IgG Polyclonal Antibody (Catalog: SAA544Rb19)
6303
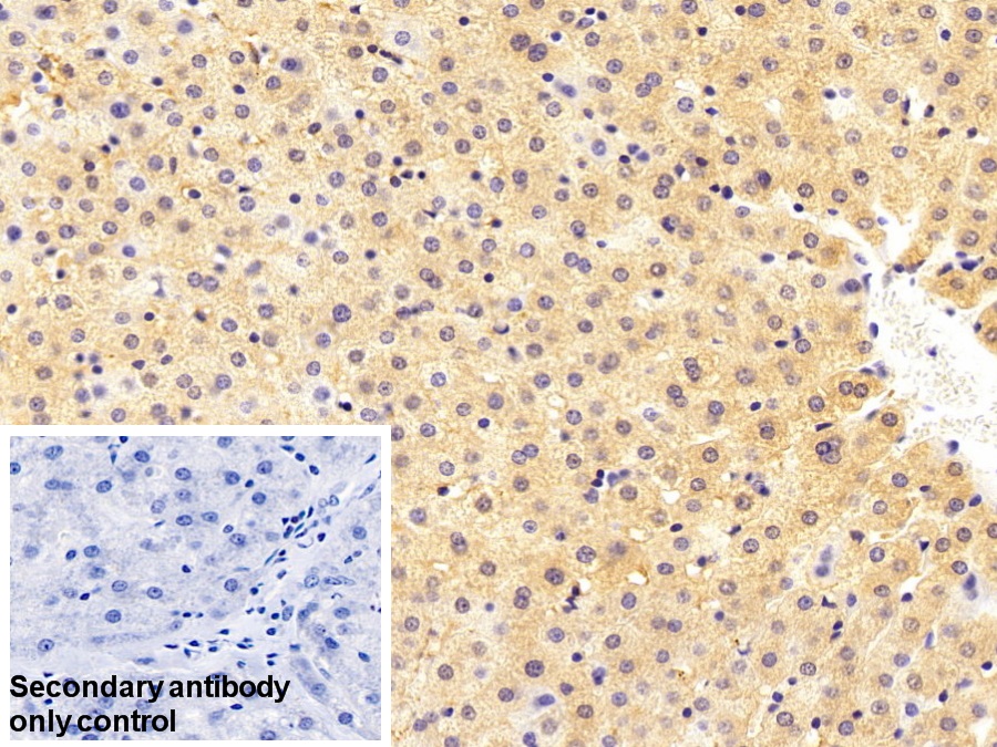
6303
DAB staining on IHC-P; Sample: Human Liver Tissue Primary Ab: 10μg/ml Rabbit Anti-Human a1AT Antibody Control: Used PBS instead of primary antibody Second Ab: 2μg/ml HRP-Linked Caprine Anti-Rabbit IgG Polyclonal Antibody (Catalog: SAA544Rb19)
6304
6304
AF488 staining on IF; Sample: HepG2 cell Primary Ab: 20μg/ml Rabbit Anti-Human a1AT Antibody Second Ab: 2μg/ml AF488-Linked Caprine Anti-Rabbit IgG Polyclonal Antibody (Catalog: SAA544Rb11)
6305
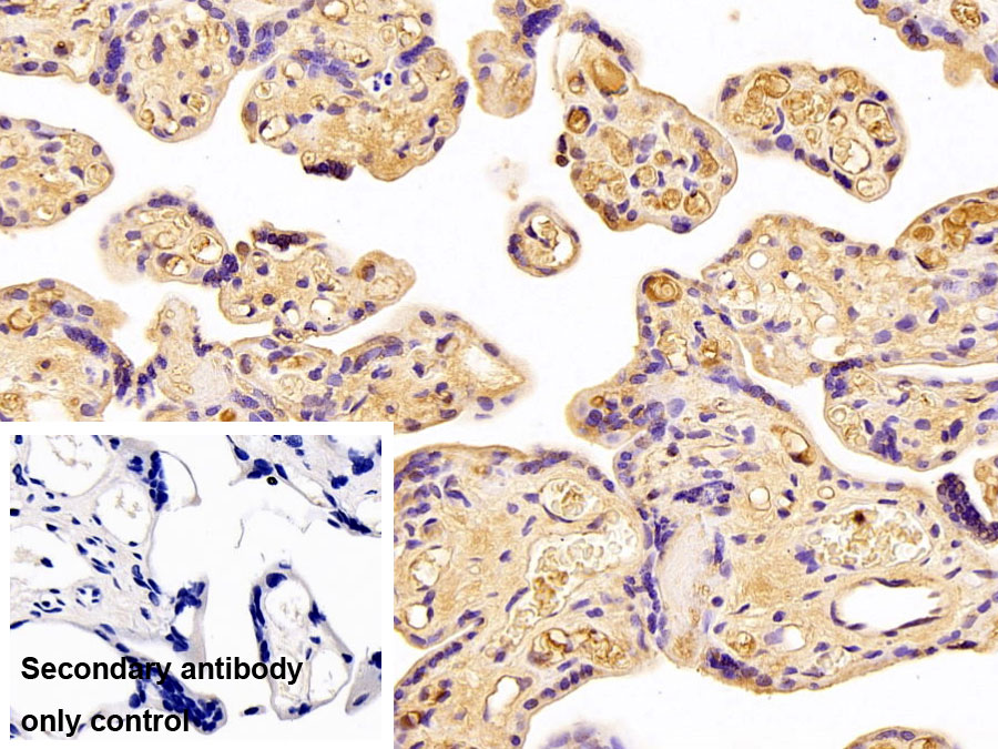
6305
DAB staining on IHC-P; Sample: Human Placenta Tissue Primary Ab: 10μg/ml Rabbit Anti-Human a1AT Antibody Control: Used PBS instead of primary antibody Second Ab: 2μg/ml HRP-Linked Caprine Anti-Rabbit IgG Polyclonal Antibody (Catalog: SAA544Rb19)
36057
36057
Figure. Western Blot; Sample: Recombinant a1AT, Human.
6302
6303
6304
6305
36057
Ближайшая поставка
29.05.26
Характеристики
Публикации
Техническое описание
Русское название PAB697Hu01 Поликлональное антитело к a1AT (человек) <Cloud-Clone,Китай>
Каталожный номер PAB697Hu01
Название антигена Alpha-1-Antitrypsin (a1AT)
UNIPROT P01009
Иммуноген RPB697Hu01-Recombinant Alpha-1-Antitrypsin (a1AT)
Английские синонимы SERPINA1, SPAAT, A1-AT, PI, Serpin Peptidase Inhibitor,Clade A(Alpha-1 Antiproteinase/AntiTrypsin)Member 1, Alpha-1 protease inhibitor, Short peptide from AAT, Serpin A1
Реактивность подтвержденная
Нужна другая реактивность?
человек
Реактивность предсказываемая свинья
Источник (хозяин) кролик
Клональность поликлональное
Рекомбинантное нет
Готовое к использованию нет
Концентрация 0.5 мг/мл
Конъюгат По запросу: HRP, biotin, PerCP, PE, Cy3, FITC, Cy7, Cy5.5, PE-Cy5, PE-Cy7, PerCp-Cy5.5, APC, Cy5, PE-Cy3, PE-Cy5.5, APC-Cy7, Biotin-APC, FITC-Biotin, TRITC, APC-Cy5, AF488, AF594, AF405, AF555, AF700, AF647, AF750
Валидировано для
IHC
WB
Иммуногистохимия; Вестерн-блоттинг
Рекомендуемые разведения WB: 0.01-2 мкг/мл; IHC: 5-20 мкг/мл; ICC: 5-20 мкг/мл; Оптимальное разведение определяется конечным потребителем
Метод очистки Антигенспецифическая аффинная хроматография с последующей аффинной хроматографией с белком А
Состав буфера 0.01M PBS, pH7.4, 0.05% Proclin-300, 50% глицерин
Условия доставки термобокс с аккумуляторами холода
Условия хранения Сразу после получения аликвотировать и хранить при -20ºС до 24 месяцев. Для частого использования хранить при +4ºС не более 2 недель. Избегать повторения циклов замерзания/оттаивания
Срок хранения 24 месяца
Производитель Cloud-Clone Corp.
Ссылка на страницу товара на сайте производителя http://www.cloud-clone.com/products/PAB697Hu01.html

Назначение

поликлональное антитело от производителя Cloud-Clone Corp. к Alpha-1-Antitrypsin (a1AT) источник — кролик предназначено для детекции целевого антигена в биологических образцах. Продукт характеризуется подтвержденной реактивностью к человек.

Преимущества

  • Высокая специфичность и аффинность
  • Концентрация: 0.5 мг/мл
  • Оптимизированный состав буфера: 0.01M PBS, pH7.4, 0.05% Proclin-300, 50% глицерин
  • Стабильность: 24 месяца

Применение в исследованиях

Антитело валидировано для методов: IHC, WB. Подходит для научных исследований в области иммунологии, клеточной биологии и молекулярной диагностики.

Условия хранения

Срок годности: 24 месяца. Сразу после получения аликвотировать и хранить при -20ºС до 24 месяцев. Для частого использования хранить при +4ºС не более 2 недель. Избегать повторения циклов замерзания/оттаивания. Рекомендуется соблюдать температурный режим при транспортировке и хранении.
Артикул
Наименование
Производитель
Артикул
Наименование
Производитель
Артикул
Наименование
Производитель
Артикул
Наименование
Производитель
Артикул
Наименование
Производитель
Артикул
Наименование
Производитель
Артикул
Наименование
Производитель

С нами успешно сотрудничают:

Московский государственный университет им. Ломоносова
Московский государственный университет им. Ломоносова
Московский государственный университет им. Ломоносова
МФТИ
МФТИ
МФТИ
Центр вирусологии и биотехнологии „Вектор“
Центр вирусологии и биотехнологии „Вектор“
Центр вирусологии и биотехнологии „Вектор“
Институт физиологии имени Павлова
Институт физиологии имени Павлова
Институт физиологии имени Павлова
Сеченовский университет
Сеченовский университет
Сеченовский университет
Исследовательский центр им. Алмазова
Исследовательский центр им. Алмазова
Исследовательский центр им. Алмазова
BIOCAD
BIOCAD
BIOCAD
Университет Сириус
Университет Сириус
Университет Сириус
Р-Фарм
Р-Фарм
Р-Фарм
Сколтех
Сколтех
Сколтех
Курчатовский институт
Курчатовский институт
Курчатовский институт
ИБХ РАН
ИБХ РАН
ИБХ РАН
НИЦ эпидемиологии и микробиологии им. Н.Ф.Гамалеи
НИЦ эпидемиологии и микробиологии им. Н.Ф.Гамалеи
НИЦ эпидемиологии и микробиологии им. Н.Ф.Гамалеи
Томский НИМЦ
Томский НИМЦ
Томский НИМЦ
ФИЦ ВИЖ имени Л.К. Эрнста
ФИЦ ВИЖ имени Л.К. Эрнста
ФИЦ ВИЖ имени Л.К. Эрнста
Фонд "Наука - Детям"
Фонд "Наука - Детям"
Фонд "Наука - Детям"
Институт цитологии и генетики СО РАН
Институт цитологии и генетики СО РАН
Институт цитологии и генетики СО РАН
Генериум
Генериум
Генериум

Новости

0
0
0