| UNIPROT | Q07456 |
| Иммуноген | RPA217Mu01-Recombinant Alpha-1-Microglobulin (a1M) |
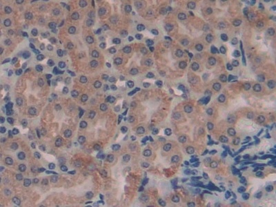
Polyclonal Antibody to Alpha-1-Microglobulin (a1M) (PAA217Mu01)
Реактивность подтвержденная:
мышь
Источник (хозяин):
кролик
Валидировано для:
IHC
WB
Характеристики
Техническое описание
| Русское название | PAA217Mu01 Поликлональное антитело к a1M (мышь) <Cloud-Clone,Китай> |
| Каталожный номер | PAA217Mu01 |
| Название антигена | Alpha-1-Microglobulin/Bikunin Precursor (a1M) |
| UNIPROT | Q07456 |
| Иммуноген | RPA217Mu01-Recombinant Alpha-1-Microglobulin (a1M) |
| Английские синонимы | AMBP, UTI, HCP, EDC1, HI30, IATIL, ITILC, ITI, ITIL, Alpha 1 Microglobulin/Bikunin Precursor, Growth-inhibiting protein 19, Uristatin, Uronic-Acid-Rich Protein, Trypstatin |
| Русские синонимы | альфа 1 микроглобулин |
Реактивность подтвержденная Нужна другая реактивность? |
мышь |
| Реактивность предсказываемая | крыса |
| Источник (хозяин) | кролик |
| Клональность | поликлональное |
| Рекомбинантное | нет |
| Готовое к использованию | нет |
| Концентрация | 500 мкг/мл |
| Конъюгат | По запросу: HRP, biotin, PerCP, PE, Cy3, FITC, Cy7, Cy5.5, PE-Cy5, PE-Cy7, PerCp-Cy5.5, APC, Cy5, PE-Cy3, PE-Cy5.5, APC-Cy7, Biotin-APC, FITC-Biotin, TRITC, APC-Cy5, AF488, AF594, AF405, AF555, AF700, AF647, AF750 |
| Валидировано для | IHC WB Иммуногистохимия; Вестерн-блоттинг |
| Рекомендуемые разведения | WB: 0.5-2 мкг/мл; IHC: 5-20 мкг/мл; ICC: 5-20 мкг/мл; Оптимальное разведение определяется конечным потребителем |
| Метод очистки | Антигенспецифическая аффинная хроматография с последующей аффинной хроматографией с белком А |
| Состав буфера | 0.01M PBS, pH7.4, 0.05% Proclin-300, 50% глицерин |
| Условия доставки | термобокс с аккумуляторами холода |
| Условия хранения | Сразу после получения аликвотировать и хранить при -20ºС до 24 месяцев. Для частого использования хранить при +4ºС не более 2 недель. Избегать повторения циклов замерзания/оттаивания |
| Срок хранения | 24 месяца |
| Производитель | Cloud-Clone Corp. |
| Ссылка на страницу товара на сайте производителя | http://www.cloud-clone.com/products/PAA217Mu01.html |
|
Артикул
|
Наименование |
Производитель
|
|---|
|
Артикул
|
Наименование |
Производитель
|
|---|
|
Артикул
|
Наименование |
Производитель
|
|---|
|
Артикул
|
Наименование |
Производитель
|
|---|
|
Артикул
|
Наименование |
Производитель
|
|---|
|
Артикул
|
Наименование |
Производитель
|
|---|
|
Артикул
|
Наименование |
Производитель
|
|---|
|
Артикул
|
Наименование |
Производитель
|
|---|
Акции и предложения
Популярные продукты:
Human Neuronatin(NNAT) ELISA kit (E01N0552)
Организм: человек
Human Cysteine and glycine rich protein 1(CSRP1) ELISA kit (E01C2115)
Организм: человек
Диапазон определения: 50-1000 пг/мл
Чувствительность: 1 пг/мл
Диапазон определения: 50-1000 пг/мл
Чувствительность: 1 пг/мл
Sheep Elastase 3B ELISA kit (E14E0066)
Организм: овца
Chicken Elastase 3B ELISA kit (E12E0066)
Организм: курица
Goat Elastase 3B ELISA kit (E06E0066)
Организм: коза

