| UNIPROT | P01023 |
| Иммуноген | RPB017Hu01-Recombinant Alpha-2-Macroglobulin (a2M) |
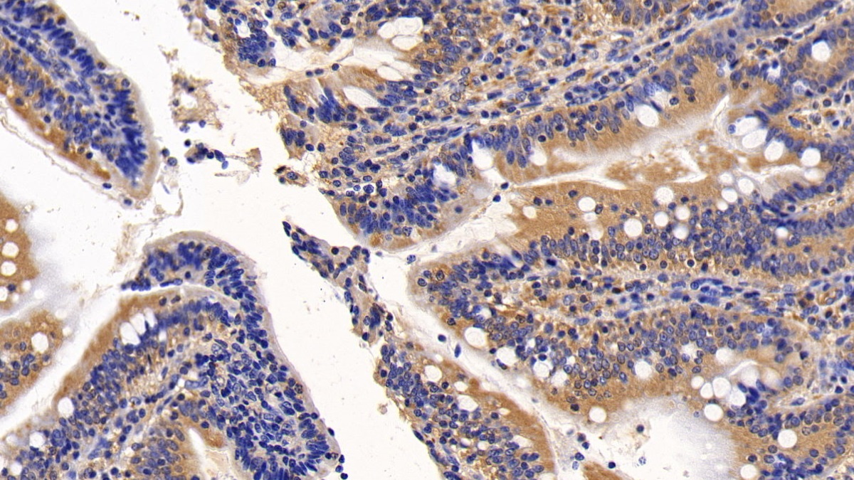
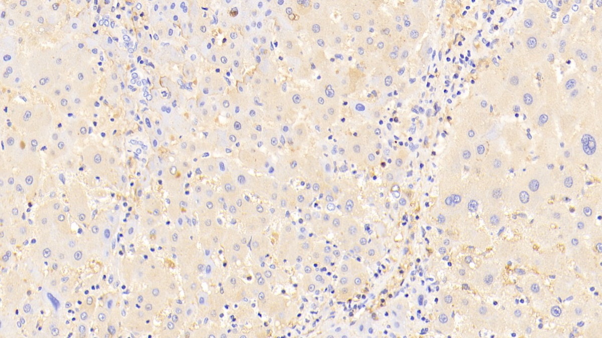
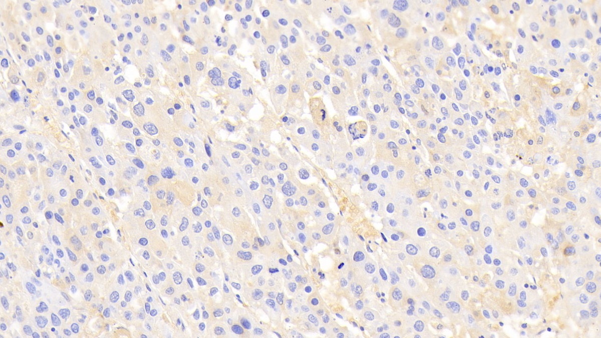
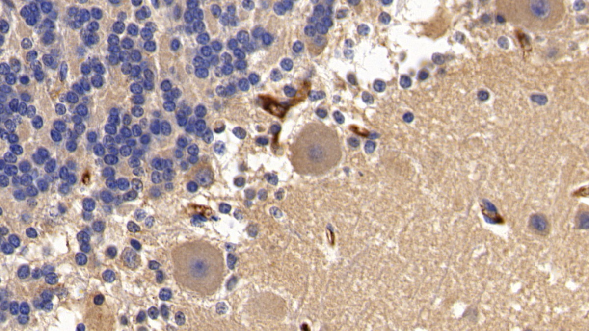
Polyclonal Antibody to Alpha-2-Macroglobulin (a2M) (PAB017Hu01)
Реактивность подтвержденная:
человек
Источник (хозяин):
кролик
Валидировано для:
IHC
WB
Характеристики
Техническое описание
| Русское название | PAB017Hu01 Поликлональное антитело к a2M (человек) <Cloud-Clone,Китай> |
| Каталожный номер | PAB017Hu01 |
| Название антигена | Alpha-2-Macroglobulin (a2M) |
| UNIPROT | P01023 |
| Иммуноген | RPB017Hu01-Recombinant Alpha-2-Macroglobulin (a2M) |
| Английские синонимы | A2MG, A2mg, CPAMD5, C3 and PZP-like alpha-2-macroglobulin domain-containing protein 5 |
Реактивность подтвержденная Нужна другая реактивность? |
человек |
| Реактивность предсказываемая | свинья |
| Источник (хозяин) | кролик |
| Клональность | поликлональное |
| Рекомбинантное | нет |
| Готовое к использованию | нет |
| Концентрация | 0.5 мг/мл |
| Конъюгат | По запросу: HRP, biotin, PerCP, PE, Cy3, FITC, Cy7, Cy5.5, PE-Cy5, PE-Cy7, PerCp-Cy5.5, APC, Cy5, PE-Cy3, PE-Cy5.5, APC-Cy7, Biotin-APC, FITC-Biotin, TRITC, APC-Cy5, AF488, AF594, AF405, AF555, AF700, AF647, AF750 |
| Валидировано для | IHC WB Иммуногистохимия; Вестерн-блоттинг |
| Рекомендуемые разведения | WB: 0.01-2 мкг/мл; IHC: 5-20 мкг/мл; ICC: 5-20 мкг/мл; Оптимальное разведение определяется конечным потребителем |
| Метод очистки | Антигенспецифическая аффинная хроматография с последующей аффинной хроматографией с белком А |
| Состав буфера | PBS, pH7.4, 0.02% NaN3, 50% глицерин |
| Условия доставки | термобокс с аккумуляторами холода |
| Условия хранения | Сразу после получения аликвотировать и хранить при -20ºС до 24 месяцев. Для частого использования хранить при +4ºС не более 2 недель. Избегать повторения циклов замерзания/оттаивания |
| Срок хранения | 24 месяца |
| Производитель | Cloud-Clone Corp. |
| Ссылка на страницу товара на сайте производителя | http://www.cloud-clone.com/products/PAB017Hu01.html |
|
Артикул
|
Наименование |
Производитель
|
|---|
|
Артикул
|
Наименование |
Производитель
|
|---|
|
Артикул
|
Наименование |
Производитель
|
|---|
|
Артикул
|
Наименование |
Производитель
|
|---|
|
Артикул
|
Наименование |
Производитель
|
|---|
|
Артикул
|
Наименование |
Производитель
|
|---|
|
Артикул
|
Наименование |
Производитель
|
|---|
|
Артикул
|
Наименование |
Производитель
|
|---|
Акции и предложения
Популярные продукты:
Rat Neurocan ELISA kit (E02N0030)
Организм: крыса
Bovine Monoamine oxidase A ELISA kit (E11M0225)
Организм: корова
Chicken Metabotropic glutamate receptor 3(GRM3) ELISA kit (E12M0095)
Организм: курица
Recombinant Human NEUROG3 Protein, N-His (YHK04201)
Источник (хозяин): E.coli
Организм: человек
Фрагмент: Arg93-Leu214
Теги: N-His
Биоактивность: нет
Организм: человек
Фрагмент: Arg93-Leu214
Теги: N-His
Биоактивность: нет
Anti-TYRO3/DTK/SYK Antibody (R3R31) (RHG08906)
Источник (хозяин): мышь
Реактивность подтвержденная: человек
Валидировано для: ELISA, FCM, IHC
Реактивность подтвержденная: человек
Валидировано для: ELISA, FCM, IHC
Monoclonal Antibody to Alpha-2-Macroglobulin (a2M) (MAB017Hu21)
Источник (хозяин): мышь
Реактивность подтвержденная: человек
Валидировано для: IHC
Реактивность подтвержденная: человек
Валидировано для: IHC

