| UNIPROT | G1SQ70 |
| Иммуноген | RPB017Rb01-Recombinant Alpha-2-Macroglobulin (a2M) |
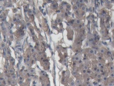
Polyclonal Antibody to Alpha-2-Macroglobulin (a2M) (PAB017Rb51)
Реактивность подтвержденная:
кролик
Источник (хозяин):
морская свинка
Валидировано для:
IHC
Характеристики
Техническое описание
| Русское название | PAB017Rb51 Поликлональное антитело к a2M (кролик) <Cloud-Clone,Китай> |
| Каталожный номер | PAB017Rb51 |
| Название антигена | Alpha-2-Macroglobulin (a2M) |
| UNIPROT | G1SQ70 |
| Иммуноген | RPB017Rb01-Recombinant Alpha-2-Macroglobulin (a2M) |
| Английские синонимы | A2MG, A2mg, CPAMD5, C3 and PZP-like alpha-2-macroglobulin domain-containing protein 5 |
Реактивность подтвержденная Нужна другая реактивность? |
кролик |
| Источник (хозяин) | морская свинка |
| Клональность | поликлональное |
| Рекомбинантное | нет |
| Готовое к использованию | нет |
| Концентрация | 500 мкг/мл |
| Конъюгат | По запросу: HRP, biotin, PerCP, PE, Cy3, FITC, Cy7, Cy5.5, PE-Cy5, PE-Cy7, PerCp-Cy5.5, APC, Cy5, PE-Cy3, PE-Cy5.5, APC-Cy7, Biotin-APC, FITC-Biotin, TRITC, APC-Cy5, AF488, AF594, AF405, AF555, AF700, AF647, AF750 |
| Валидировано для | IHC Иммуногистохимия |
| Рекомендуемые разведения | WB: 0.2-2 мкг/мл; 1:250-2500; IHC: 5-20 мкг/мл; 1:25-100; ICC: 5-20 мкг/мл; 1:25-100; Оптимальное разведение определяется конечным потребителем |
| Метод очистки | Антигенспецифическая аффинная хроматография с последующей аффинной хроматографией с белком А |
| Состав буфера | 0.01M PBS, pH7.4, 0.05% Proclin-300, 50% глицерин |
| Условия доставки | термобокс с аккумуляторами холода |
| Условия хранения | Сразу после получения аликвотировать и хранить при -20ºС до 24 месяцев. Для частого использования хранить при +4ºС не более 2 недель. Избегать повторения циклов замерзания/оттаивания |
| Срок хранения | 24 месяца |
| Производитель | Cloud-Clone Corp. |
| Ссылка на страницу товара на сайте производителя | http://www.cloud-clone.com/products/PAB017Rb51.html |
|
Артикул
|
Наименование |
Производитель
|
|---|
|
Артикул
|
Наименование |
Производитель
|
|---|
|
Артикул
|
Наименование |
Производитель
|
|---|
|
Артикул
|
Наименование |
Производитель
|
|---|
|
Артикул
|
Наименование |
Производитель
|
|---|
|
Артикул
|
Наименование |
Производитель
|
|---|
|
Артикул
|
Наименование |
Производитель
|
|---|
|
Артикул
|
Наименование |
Производитель
|
|---|
Акции и предложения
Популярные продукты:
OR5D3 Mouse Monoclonal Antibody (BF9376)
Источник (хозяин): мышь
Реактивность подтвержденная: человек, мышь
Валидировано для: WB
Реактивность подтвержденная: человек, мышь
Валидировано для: WB
Monkey Cartilage matrix protein(MATN1) ELISA kit (E09C2336)
Организм: обезьяна
Sheep Monoamine oxidase A ELISA kit (E14M0225)
Организм: овца
Rabbit Monoamine oxidase A ELISA kit (E04M0225)
Организм: кролик
Rat Monoamine oxidase A ELISA kit (E02M0225)
Организм: крыса

