| UNIPROT | P02772 |
| Иммуноген | RPA153Mu01-Recombinant Alpha-Fetoprotein (AFP) |
Polyclonal Antibody to Alpha-Fetoprotein (AFP) (PAA153Mu01)
Реактивность подтвержденная:
мышь
Источник (хозяин):
кролик
Валидировано для:
IHC
WB
Характеристики
Техническое описание
| Русское название | PAA153Mu01 Поликлональное антитело к AFP (мышь) <Cloud-Clone,Китай> |
| Каталожный номер | PAA153Mu01 |
| Название антигена | Alpha-Fetoprotein (aFP) |
| UNIPROT | P02772 |
| Иммуноген | RPA153Mu01-Recombinant Alpha-Fetoprotein (AFP) |
| Английские синонимы | A-FP, FETA, HPAFP, Alpha-Fetoglobulin, Alpha-1-fetoprotein |
| Русские синонимы | АФП |
Реактивность подтвержденная Нужна другая реактивность? |
мышь |
| Источник (хозяин) | кролик |
| Клональность | поликлональное |
| Рекомбинантное | нет |
| Готовое к использованию | нет |
| Концентрация | 0.5 мг/мл |
| Конъюгат | По запросу: HRP, biotin, PerCP, PE, Cy3, FITC, Cy7, Cy5.5, PE-Cy5, PE-Cy7, PerCp-Cy5.5, APC, Cy5, PE-Cy3, PE-Cy5.5, APC-Cy7, Biotin-APC, FITC-Biotin, TRITC, APC-Cy5, AF488, AF594, AF405, AF555, AF700, AF647, AF750 |
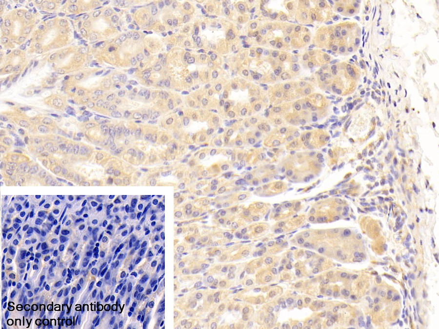
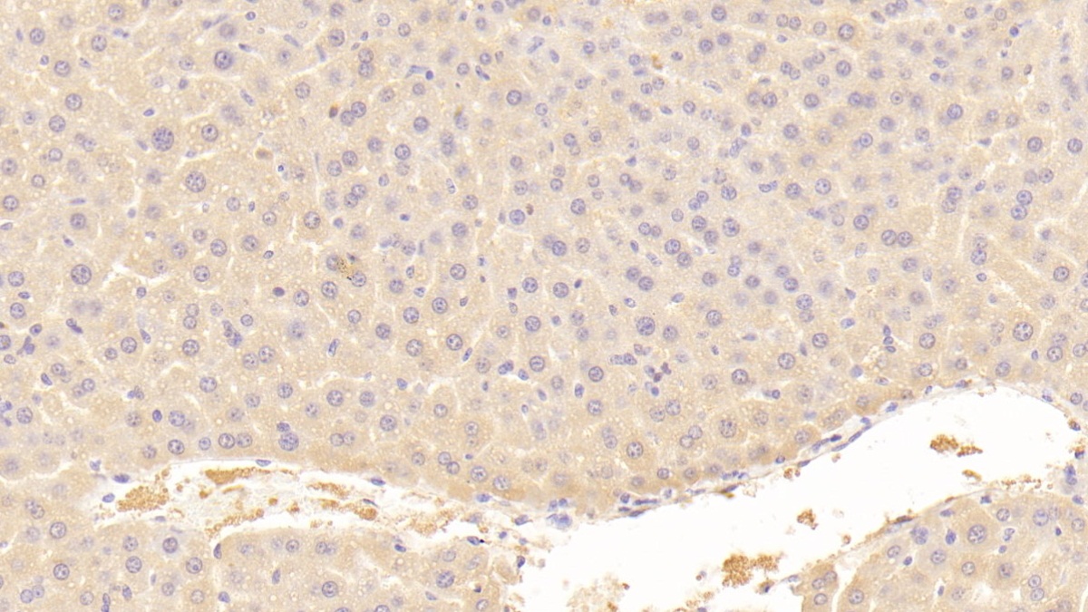
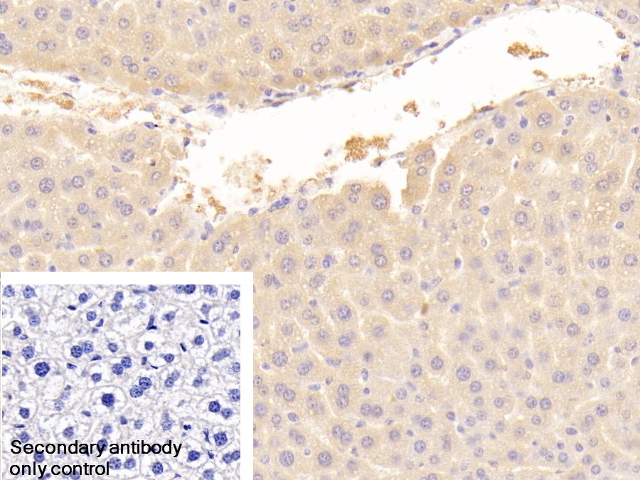
| Валидировано для | IHC WB Иммуногистохимия; Вестерн-блоттинг |
| Рекомендуемые разведения | WB: 0.01-2 мкг/мл; IHC: 5-20 мкг/мл; ICC: 5-20 мкг/мл; Оптимальное разведение определяется конечным потребителем |
| Метод очистки | Антигенспецифическая аффинная хроматография с последующей аффинной хроматографией с белком А |
| Состав буфера | PBS, pH7.4, 0.02% NaN3, 50% глицерин |
| Условия доставки | термобокс с аккумуляторами холода |
| Условия хранения | Сразу после получения аликвотировать и хранить при -20ºС до 24 месяцев. Для частого использования хранить при +4ºС не более 2 недель. Избегать повторения циклов замерзания/оттаивания |
| Срок хранения | 24 месяца |
| Производитель | Cloud-Clone Corp. |
| Ссылка на страницу товара на сайте производителя | http://www.cloud-clone.com/products/PAA153Mu01.html |
|
Артикул
|
Наименование |
Производитель
|
|---|
|
Артикул
|
Наименование |
Производитель
|
|---|
|
Артикул
|
Наименование |
Производитель
|
|---|
|
Артикул
|
Наименование |
Производитель
|
|---|
|
Артикул
|
Наименование |
Производитель
|
|---|
|
Артикул
|
Наименование |
Производитель
|
|---|
|
Артикул
|
Наименование |
Производитель
|
|---|
|
Артикул
|
Наименование |
Производитель
|
|---|
|
Артикул
|
Наименование |
Производитель
|
|---|
|
Артикул
|
Наименование |
Производитель
|
|---|
Акции и предложения
Популярные продукты:
RUNX1/RUNX3 Mouse Monoclonal Antibody (BF8960)
Источник (хозяин): мышь
Реактивность подтвержденная: человек, мышь, крыса
Валидировано для: WB
Реактивность подтвержденная: человек, мышь, крыса
Валидировано для: WB
VCP Mouse Monoclonal Antibody (BF8562)
Источник (хозяин): мышь
Реактивность подтвержденная: человек, мышь, крыса
Валидировано для: WB
Реактивность подтвержденная: человек, мышь, крыса
Валидировано для: WB
ELISA Kit DIY Materials for Minichromosome Maintenance Deficient 2 (MCM2) (KSB768Hu01)
Организм: человек
Диапазон определения: 0.156-10 нг/мл
Чувствительность: 0.053 нг/мл
Диапазон определения: 0.156-10 нг/мл
Чувствительность: 0.053 нг/мл
Monoclonal Antibody to Cystatin C (Cys-C) (MAA896Hu23)
Источник (хозяин): мышь
Реактивность подтвержденная: человек
Валидировано для: ICC, IF
Реактивность подтвержденная: человек
Валидировано для: ICC, IF
Monkey Testosterone, Free ELISA kit (E09T0561)
Организм: обезьяна
Guinea Pig Hexose-6-Phosphate Dehydrogenase ELISA kit (E05H1504)
Организм: морская свинка

