| UNIPROT | Q13813 |
| Иммуноген | RPA292Hu01-Recombinant Alpha-Fodrin (SPTAN1) |
Polyclonal Antibody to Alpha-Fodrin (SPTAN1) (PAA292Hu01)
Реактивность подтвержденная:
человек
Источник (хозяин):
кролик
Валидировано для:
IHC
WB
Характеристики
Техническое описание
| Русское название | PAA292Hu01 Поликлональное антитело к SPTAN1 (человек) <Cloud-Clone,Китай> |
| Каталожный номер | PAA292Hu01 |
| Название антигена | Alpha-Fodrin (SPTAN1) |
| UNIPROT | Q13813 |
| Иммуноген | RPA292Hu01-Recombinant Alpha-Fodrin (SPTAN1) |
| Английские синонимы | SPTAN1, NEAS, (ALPHA)II-SPECTRIN, Spectrin Alpha Non-Erythrocytic 1, Spectrin Alpha Chain,Brain, Spectrin, non-erythroid alpha subunit |
Реактивность подтвержденная Нужна другая реактивность? |
человек |
| Реактивность предсказываемая | мышь, крыса, свинья |
| Источник (хозяин) | кролик |
| Клональность | поликлональное |
| Рекомбинантное | нет |
| Готовое к использованию | нет |
| Концентрация | 0.24 мг/мл |
| Конъюгат | По запросу: HRP, biotin, PerCP, PE, Cy3, FITC, Cy7, Cy5.5, PE-Cy5, PE-Cy7, PerCp-Cy5.5, APC, Cy5, PE-Cy3, PE-Cy5.5, APC-Cy7, Biotin-APC, FITC-Biotin, TRITC, APC-Cy5, AF488, AF594, AF405, AF555, AF700, AF647, AF750 |
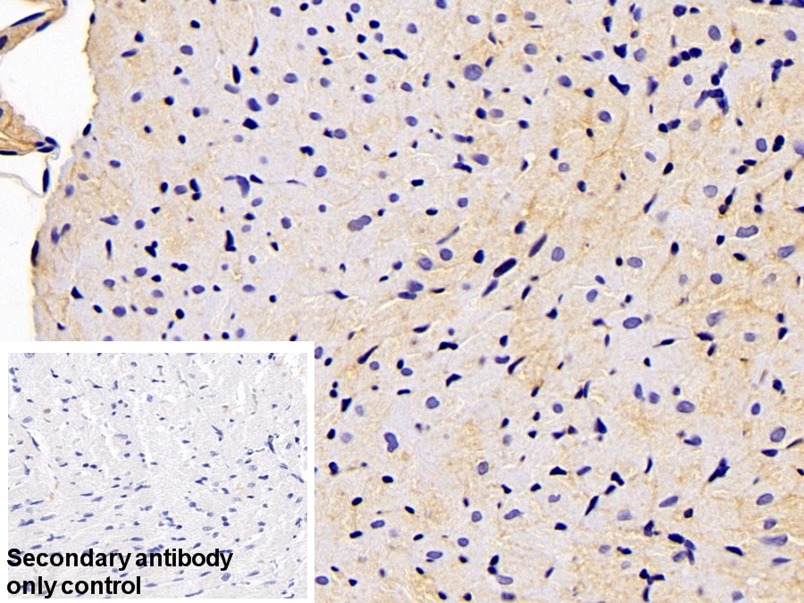
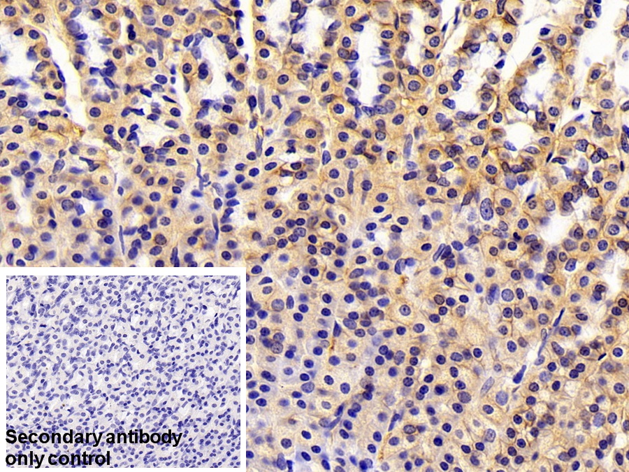
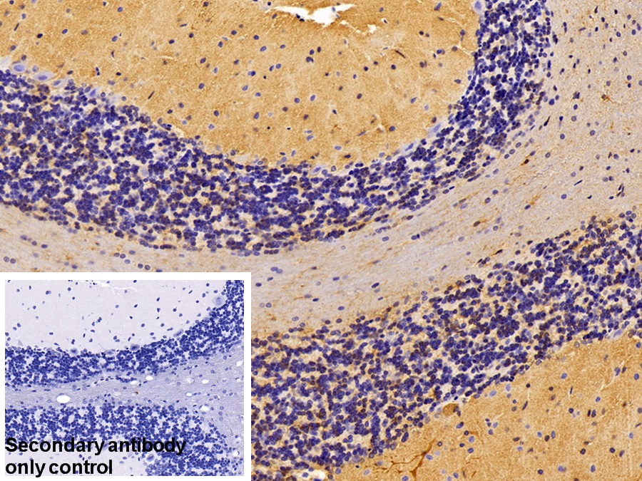
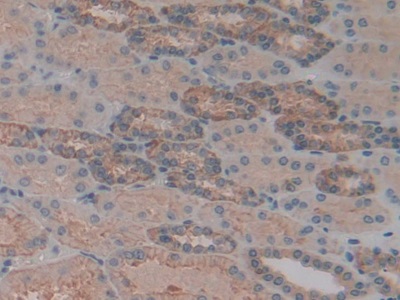
| Валидировано для | IHC WB Иммуногистохимия; Вестерн-блоттинг |
| Рекомендуемые разведения | WB: 0.01-5 мкг/мл; IHC: 5-20 мкг/мл; ICC: 5-20 мкг/мл; Оптимальное разведение определяется конечным потребителем |
| Метод очистки | Антигенспецифическая аффинная хроматография с последующей аффинной хроматографией с белком А |
| Состав буфера | PBS, pH7.4, 0.02% NaN3, 50% глицерин |
| Условия доставки | термобокс с аккумуляторами холода |
| Условия хранения | Сразу после получения аликвотировать и хранить при -20ºС до 24 месяцев. Для частого использования хранить при +4ºС не более 2 недель. Избегать повторения циклов замерзания/оттаивания |
| Срок хранения | 24 месяца |
| Производитель | Cloud-Clone Corp. |
| Ссылка на страницу товара на сайте производителя | http://www.cloud-clone.com/products/PAA292Hu01.html |
|
Артикул
|
Наименование |
Производитель
|
|---|
|
Артикул
|
Наименование |
Производитель
|
|---|
|
Артикул
|
Наименование |
Производитель
|
|---|
|
Артикул
|
Наименование |
Производитель
|
|---|
|
Артикул
|
Наименование |
Производитель
|
|---|
Акции и предложения
Популярные продукты:
Porcine Caskin 1(CASKIN1) ELISA kit (E07C1389)
Организм: свинья
Bovine Cytochrome b5(CYB5A) ELISA kit (E11C2206)
Организм: корова
Monkey Hepatocyte growth factor receptor ELISA kit (E09H0206)
Организм: обезьяна
Rabbit Hepatocyte growth factor receptor ELISA kit (E04H0206)
Организм: кролик
Canine Glucose Transporter 4 ELISA kit (E08G0201)
Организм: собака
Chicken Oncoprotein Induced Transcript 3 ELISA kit (E12O0014)
Организм: курица

