| UNIPROT | A9UMW3 |
| Иммуноген | RPA412Ra01-Recombinant Alpha-Hemoglobin Stabilizing Protein (aHSP) |
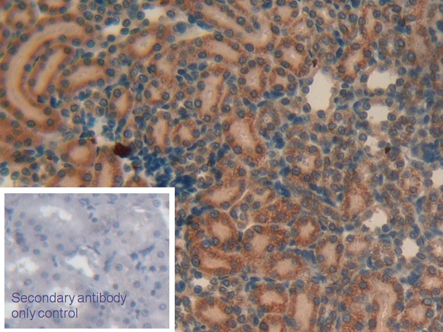
Polyclonal Antibody to Alpha-Hemoglobin Stabilizing Protein (aHSP) (PAA412Ra01)
Реактивность подтвержденная:
крыса
Источник (хозяин):
кролик
Валидировано для:
IHC
WB
Характеристики
Техническое описание
| Русское название | PAA412Ra01 Поликлональное антитело к aHSP (крыса) <Cloud-Clone,Китай> |
| Каталожный номер | PAA412Ra01 |
| Название антигена | Alpha-Hemoglobin Stabilizing Protein (aHSP) |
| UNIPROT | A9UMW3 |
| Иммуноген | RPA412Ra01-Recombinant Alpha-Hemoglobin Stabilizing Protein (aHSP) |
| Английские синонимы | A-HSP, ERAF, EDRF, Erythroid Associated Factor, Erythroid differentiation-related factor |
Реактивность подтвержденная Нужна другая реактивность? |
крыса |
| Реактивность предсказываемая | мышь |
| Источник (хозяин) | кролик |
| Клональность | поликлональное |
| Рекомбинантное | нет |
| Готовое к использованию | нет |
| Концентрация | 0.5 мг/мл |
| Конъюгат | По запросу: HRP, biotin, PerCP, PE, Cy3, FITC, Cy7, Cy5.5, PE-Cy5, PE-Cy7, PerCp-Cy5.5, APC, Cy5, PE-Cy3, PE-Cy5.5, APC-Cy7, Biotin-APC, FITC-Biotin, TRITC, APC-Cy5, AF488, AF594, AF405, AF555, AF700, AF647, AF750 |
| Валидировано для | IHC WB Иммуногистохимия; Вестерн-блоттинг |
| Рекомендуемые разведения | WB: 0.5-5 мкг/мл; IHC: 5-20 мкг/мл; ICC: 5-20 мкг/мл; Оптимальное разведение определяется конечным потребителем |
| Метод очистки | Антигенспецифическая аффинная хроматография с последующей аффинной хроматографией с белком А |
| Состав буфера | 0.01M PBS, pH7.4, 0.05% Proclin-300, 50% глицерин |
| Условия доставки | термобокс с аккумуляторами холода |
| Условия хранения | Сразу после получения аликвотировать и хранить при -20ºС до 24 месяцев. Для частого использования хранить при +4ºС не более 2 недель. Избегать повторения циклов замерзания/оттаивания |
| Срок хранения | 24 месяца |
| Производитель | Cloud-Clone Corp. |
| Ссылка на страницу товара на сайте производителя | http://www.cloud-clone.com/products/PAA412Ra01.html |
|
Артикул
|
Наименование |
Производитель
|
|---|
|
Артикул
|
Наименование |
Производитель
|
|---|
Акции и предложения
Популярные продукты:
Recombinant Human RPS8 Protein, N-His (YHF48801)
Источник (хозяин): E.coli
Организм: человек
Фрагмент: Arg41-Lys208
Теги: N-His
Биоактивность: нет
Организм: человек
Фрагмент: Arg41-Lys208
Теги: N-His
Биоактивность: нет
ELISA Kit DIY Materials for Urocortin (UCN) (KSA231Mu01)
Организм: мышь
Диапазон определения: 12.35-1000 пг/мл
Чувствительность: 4.84 пг/мл
Диапазон определения: 12.35-1000 пг/мл
Чувствительность: 4.84 пг/мл
ELISA Kit DIY Materials for Dystrophin (DMD) (KSB503Hu01)
Организм: человек
Диапазон определения: 0.156-10 нг/мл
Чувствительность: 0.059 нг/мл
Диапазон определения: 0.156-10 нг/мл
Чувствительность: 0.059 нг/мл
Monoclonal Antibody to Acetylcholinesterase (ACHE) (MAB447Hu26)
Источник (хозяин): мышь
Реактивность подтвержденная: человек
Валидировано для: ICC, IF
Реактивность подтвержденная: человек
Валидировано для: ICC, IF
Bovine Calreticulin 3(CALR3) ELISA kit (E11C1330)
Организм: корова

