| UNIPROT | Q9UDR5 |
| Иммуноген | RPC855Hu01-Recombinant Aminoadipate Semialdehyde Synthase (AASS) |
Polyclonal Antibody to Aminoadipate Semialdehyde Synthase (AASS) (PAC855Hu01)
Реактивность подтвержденная:
человек
Источник (хозяин):
кролик
Валидировано для:
IHC
WB
Характеристики
Техническое описание
| Русское название | PAC855Hu01 Поликлональное антитело к AASS (человек) <Cloud-Clone,Китай> |
| Каталожный номер | PAC855Hu01 |
| Название антигена | Aminoadipate Semialdehyde Synthase (AASS) |
| UNIPROT | Q9UDR5 |
| Иммуноген | RPC855Hu01-Recombinant Aminoadipate Semialdehyde Synthase (AASS) |
| Английские синонимы | LKR/SDH, LKRSDH, LORSDH, Saccharopine dehydrogenase, Alpha-Aminoadipic Semialdehyde Synthase,Mitochondrial, Lysine ketoglutarate reductase |
Реактивность подтвержденная Нужна другая реактивность? |
человек |
| Реактивность предсказываемая | мышь, крыса, свинья |
| Источник (хозяин) | кролик |
| Клональность | поликлональное |
| Рекомбинантное | нет |
| Готовое к использованию | нет |
| Концентрация | 0.5 мг/мл |
| Конъюгат | По запросу: HRP, biotin, PerCP, PE, Cy3, FITC, Cy7, Cy5.5, PE-Cy5, PE-Cy7, PerCp-Cy5.5, APC, Cy5, PE-Cy3, PE-Cy5.5, APC-Cy7, Biotin-APC, FITC-Biotin, TRITC, APC-Cy5, AF488, AF594, AF405, AF555, AF700, AF647, AF750 |
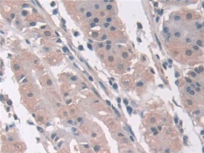
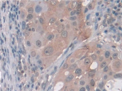
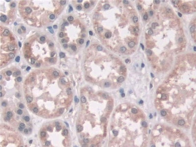
| Валидировано для | IHC WB Иммуногистохимия; Вестерн-блоттинг |
| Рекомендуемые разведения | WB: 0.01-2 мкг/мл; IHC: 5-20 мкг/мл; Оптимальное разведение определяется конечным потребителем |
| Метод очистки | Антигенспецифическая аффинная хроматография с последующей аффинной хроматографией с белком А |
| Состав буфера | PBS, pH7.4, 0.02% NaN3, 50% глицерин |
| Условия доставки | термобокс с аккумуляторами холода |
| Условия хранения | Сразу после получения аликвотировать и хранить при -20ºС до 24 месяцев. Для частого использования хранить при +4ºС не более 2 недель. Избегать повторения циклов замерзания/оттаивания |
| Срок хранения | 24 месяца |
| Производитель | Cloud-Clone Corp. |
| Ссылка на страницу товара на сайте производителя | http://www.cloud-clone.com/products/PAC855Hu01.html |
|
Артикул
|
Наименование |
Производитель
|
|---|
|
Артикул
|
Наименование |
Производитель
|
|---|
|
Артикул
|
Наименование |
Производитель
|
|---|
Акции и предложения
Популярные продукты:
Elab Fluor® 647-Streptavidin (E-AB-1199)
Валидировано для: FCM
Multiplex Assay Kit for Claudin 8 (CLDN8) (LMF298Hu)
Организм: человек
Диапазон определения: 0.01-10 нг/мл
Чувствительность: 0.003 нг/мл
Диапазон определения: 0.01-10 нг/мл
Чувствительность: 0.003 нг/мл

