| UNIPROT | P13716 |
| Иммуноген | RPC292Hu01-Recombinant Aminolevulinate Delta Dehydratase (ALAD) |
Polyclonal Antibody to Aminolevulinate Delta Dehydratase (ALAD) (PAC292Hu01)
Реактивность подтвержденная:
человек
Источник (хозяин):
кролик
Валидировано для:
IHC
WB
Характеристики
Техническое описание
| Русское название | PAC292Hu01 Поликлональное антитело к ALAD (человек) <Cloud-Clone,Китай> |
| Каталожный номер | PAC292Hu01 |
| Название антигена | Aminolevulinate Delta Dehydratase (ALAD) |
| UNIPROT | P13716 |
| Иммуноген | RPC292Hu01-Recombinant Aminolevulinate Delta Dehydratase (ALAD) |
| Английские синонимы | ALADH, PBGS, Delta-Aminolevulinic Acid Dehydratase, Porphobilinogen Synthase |
Реактивность подтвержденная Нужна другая реактивность? |
человек |
| Реактивность предсказываемая | мышь, крыса, свинья |
| Источник (хозяин) | кролик |
| Клональность | поликлональное |
| Рекомбинантное | нет |
| Готовое к использованию | нет |
| Концентрация | 0.5 мг/мл |
| Конъюгат | По запросу: HRP, biotin, PerCP, PE, Cy3, FITC, Cy7, Cy5.5, PE-Cy5, PE-Cy7, PerCp-Cy5.5, APC, Cy5, PE-Cy3, PE-Cy5.5, APC-Cy7, Biotin-APC, FITC-Biotin, TRITC, APC-Cy5, AF488, AF594, AF405, AF555, AF700, AF647, AF750 |
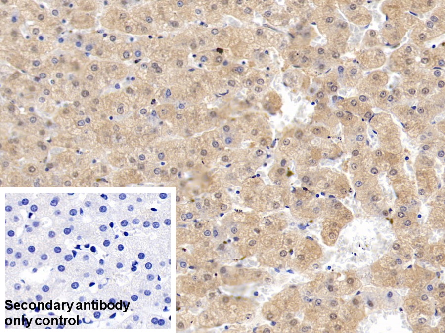
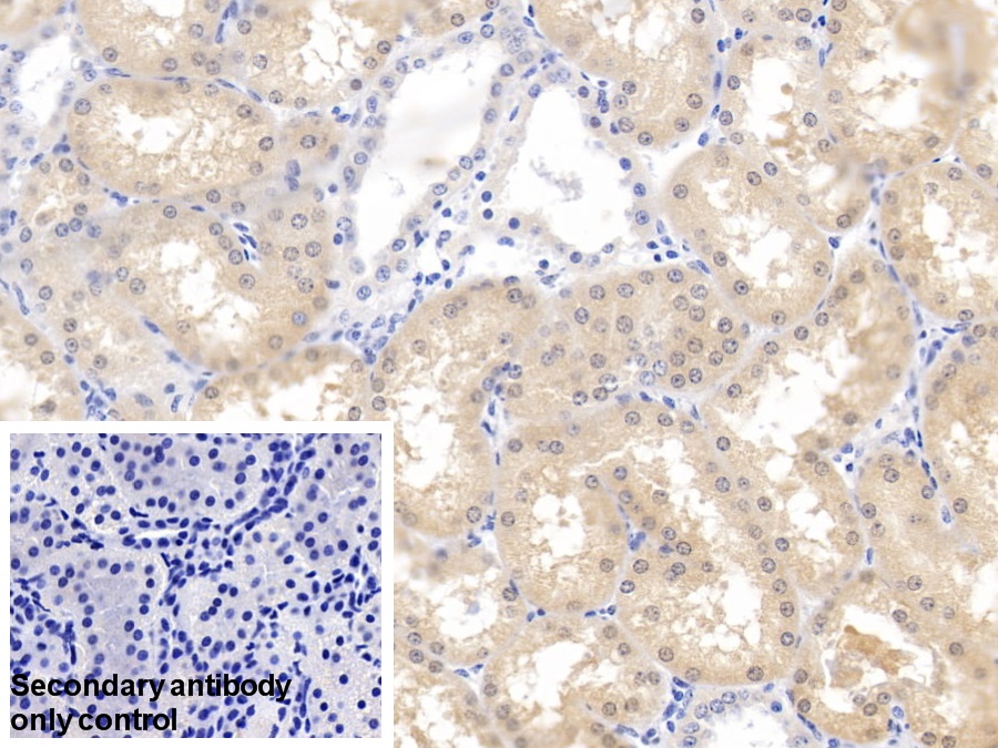
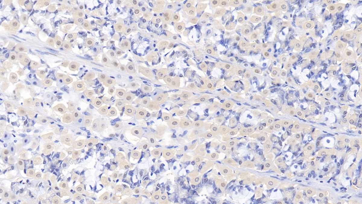
| Валидировано для | IHC WB Иммуногистохимия; Вестерн-блоттинг |
| Рекомендуемые разведения | WB: 0.01-2 мкг/мл; IHC: 5-30 мкг/мл; ICC: 5-20 мкг/мл; Оптимальное разведение определяется конечным потребителем |
| Метод очистки | Антигенспецифическая аффинная хроматография с последующей аффинной хроматографией с белком А |
| Состав буфера | 0.01M PBS, pH7.4, 0.05% Proclin-300, 50% глицерин |
| Условия доставки | термобокс с аккумуляторами холода |
| Условия хранения | Сразу после получения аликвотировать и хранить при -20ºС до 24 месяцев. Для частого использования хранить при +4ºС не более 2 недель. Избегать повторения циклов замерзания/оттаивания |
| Срок хранения | 24 месяца |
| Производитель | Cloud-Clone Corp. |
| Ссылка на страницу товара на сайте производителя | http://www.cloud-clone.com/products/PAC292Hu01.html |
|
Артикул
|
Наименование |
Производитель
|
|---|
|
Артикул
|
Наименование |
Производитель
|
|---|
|
Артикул
|
Наименование |
Производитель
|
|---|
|
Артикул
|
Наименование |
Производитель
|
|---|
Акции и предложения
Популярные продукты:
Anti-Human IL18/IL1F4 Antibody (Fs0368) (RHG70703)
Источник (хозяин): мышь
Реактивность подтвержденная: человек
Валидировано для: BLOCK, ELISA, FCM
Реактивность подтвержденная: человек
Валидировано для: BLOCK, ELISA, FCM
Anti-Human CLDN18.2 Nanobody (SAb2325) (RHF19802)
Источник (хозяин): альпака
Реактивность подтвержденная: человек
Валидировано для: ELISA
Реактивность подтвержденная: человек
Валидировано для: ELISA
Anti-Betamethasone/BET Monoclonal Antibody (1A484) (MGK61203)
Источник (хозяин): мышь
Реактивность подтвержденная: для всех
Валидировано для: ELISA
Реактивность подтвержденная: для всех
Валидировано для: ELISA
Anti-Cystatin 6 (CST6) Monoclonal Antibody (FAJ326Hu02)
Источник (хозяин): мышь
Реактивность подтвержденная: человек
Валидировано для: FCM
Реактивность подтвержденная: человек
Валидировано для: FCM
ELISA Kit DIY Materials for Nuclear Factor I/X (NFIX) (KSF665Ra01)
Организм: крыса
Диапазон определения: 0.156-10 нг/мл
Чувствительность: 0.057 нг/мл
Диапазон определения: 0.156-10 нг/мл
Чувствительность: 0.057 нг/мл

