| UNIPROT | Q7TQF7 |
| Иммуноген | RPC205Mu01-Recombinant Amphiphysin (AMPH) |
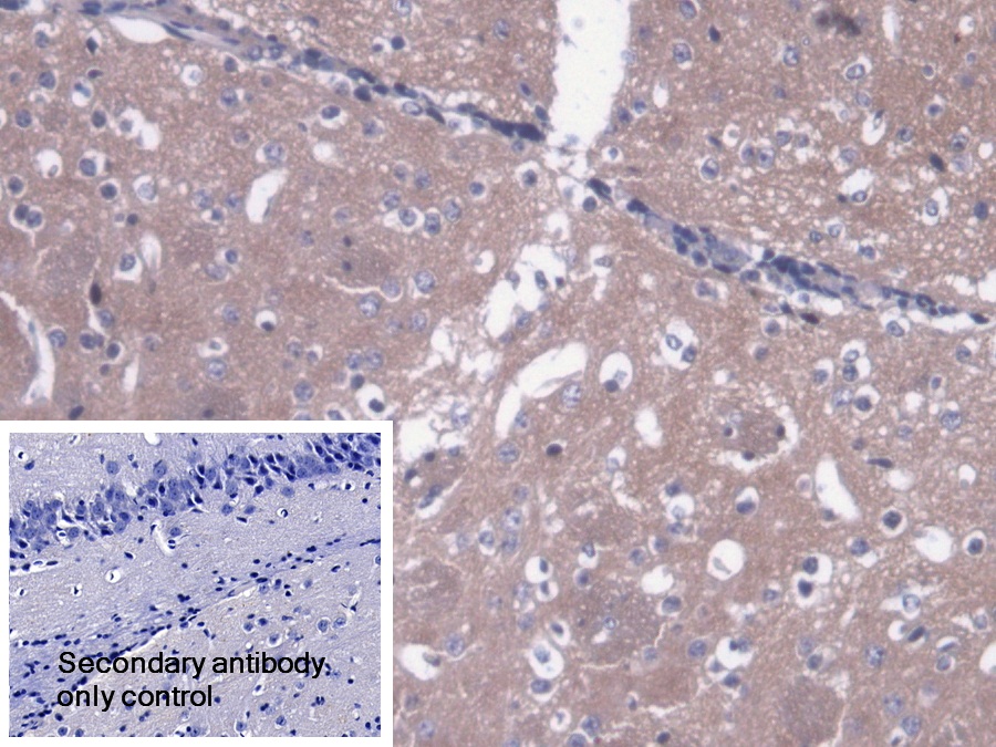
Polyclonal Antibody to Amphiphysin (AMPH) (PAC205Mu01)
Реактивность подтвержденная:
мышь
Источник (хозяин):
кролик
Валидировано для:
IHC
WB
Характеристики
Техническое описание
| Русское название | PAC205Mu01 Поликлональное антитело к AMPH (мышь) <Cloud-Clone,Китай> |
| Каталожный номер | PAC205Mu01 |
| Название антигена | Amphiphysin (AMPH) |
| UNIPROT | Q7TQF7 |
| Иммуноген | RPC205Mu01-Recombinant Amphiphysin (AMPH) |
| Английские синонимы | AMPH1, Stiff-Man Syndrome With Breast Cancer 128kDa Autoantigen |
Реактивность подтвержденная Нужна другая реактивность? |
мышь |
| Реактивность предсказываемая | крыса |
| Источник (хозяин) | кролик |
| Клональность | поликлональное |
| Рекомбинантное | нет |
| Готовое к использованию | нет |
| Концентрация | 0.25 мг/мл |
| Конъюгат | По запросу: HRP, biotin, PerCP, PE, Cy3, FITC, Cy7, Cy5.5, PE-Cy5, PE-Cy7, PerCp-Cy5.5, APC, Cy5, PE-Cy3, PE-Cy5.5, APC-Cy7, Biotin-APC, FITC-Biotin, TRITC, APC-Cy5, AF488, AF594, AF405, AF555, AF700, AF647, AF750 |
| Валидировано для | IHC WB Иммуногистохимия; Вестерн-блоттинг |
| Рекомендуемые разведения | WB: 0.5-2 мкг/мл; 1:120-500; IHC: 5-20 мкг/мл; 1:12-50; ICC: 5-20 мкг/мл; 1:12-50; Оптимальное разведение определяется конечным потребителем |
| Метод очистки | Антигенспецифическая аффинная хроматография с последующей аффинной хроматографией с белком А |
| Состав буфера | 0.01M PBS, pH7.4, 0.05% Proclin-300, 50% глицерин |
| Условия доставки | термобокс с аккумуляторами холода |
| Условия хранения | Сразу после получения аликвотировать и хранить при -20ºС до 24 месяцев. Для частого использования хранить при +4ºС не более 2 недель. Избегать повторения циклов замерзания/оттаивания |
| Срок хранения | 24 месяца |
| Производитель | Cloud-Clone Corp. |
| Ссылка на страницу товара на сайте производителя | http://www.cloud-clone.com/products/PAC205Mu01.html |
|
Артикул
|
Наименование |
Производитель
|
|---|
|
Артикул
|
Наименование |
Производитель
|
|---|
|
Артикул
|
Наименование |
Производитель
|
|---|
|
Артикул
|
Наименование |
Производитель
|
|---|
Акции и предложения
Популярные продукты:
Clonidine/CLD ELISA Kit (KSN56513)
Организм: для всех
Диапазон определения: 1.56 - 100 нг/мл
Чувствительность: 0.5 нг/мл
Диапазон определения: 1.56 - 100 нг/мл
Чувствительность: 0.5 нг/мл
ELISA Kit DIY Materials for Interleukin 12B (IL12B) (KSA058Hu01)
Организм: человек
Диапазон определения: 78-5000 пг/мл
Чувствительность: 33 пг/мл
Диапазон определения: 78-5000 пг/мл
Чувствительность: 33 пг/мл
Polyclonal Antibody to Small Ubiquitin Related Modifier Protein 3 (SUMO3) (PAG153Hu01)
Источник (хозяин): кролик
Реактивность подтвержденная: человек
Валидировано для: WB
Реактивность подтвержденная: человек
Валидировано для: WB
Chicken Astrotactin 1(ASTN1) ELISA kit (E12A1733)
Организм: курица
Monkey Mitochondrial fission 1 protein ELISA kit (E09F0458)
Организм: обезьяна
Guinea Pig AP2 associated protein kinase 1(AAK1) ELISA kit (E05A1119)
Организм: морская свинка

