| UNIPROT | P10275 |
| Иммуноген | RPB252Hu01-Recombinant Androgen Receptor (AR) |
Polyclonal Antibody to Androgen Receptor (AR) (PAB252Hu01)
Реактивность подтвержденная:
человек
Источник (хозяин):
кролик
Валидировано для:
IHC
WB
Характеристики
Техническое описание
| Русское название | PAB252Hu01 Поликлональное антитело к андрогеновому рецептору (человек) <Cloud-Clone,Китай> |
| Каталожный номер | PAB252Hu01 |
| Название антигена | Androgen Receptor (AR) |
| UNIPROT | P10275 |
| Иммуноген | RPB252Hu01-Recombinant Androgen Receptor (AR) |
| Английские синонимы | AIS, DHTR, HUMARA, KD, NR3C4, SBMA, SMAX1, TFM, Nuclear Receptor Subfamily 3,Group C,Member 4, Testicular Feminization, Kennedy Disease |
| Русские синонимы | Андрогенный рецептор |
Реактивность подтвержденная Нужна другая реактивность? |
человек |
| Реактивность предсказываемая | крыса |
| Источник (хозяин) | кролик |
| Клональность | поликлональное |
| Рекомбинантное | нет |
| Готовое к использованию | нет |
| Концентрация | 0.5 мг/мл |
| Конъюгат | По запросу: HRP, biotin, PerCP, PE, Cy3, FITC, Cy7, Cy5.5, PE-Cy5, PE-Cy7, PerCp-Cy5.5, APC, Cy5, PE-Cy3, PE-Cy5.5, APC-Cy7, Biotin-APC, FITC-Biotin, TRITC, APC-Cy5, AF488, AF594, AF405, AF555, AF700, AF647, AF750 |
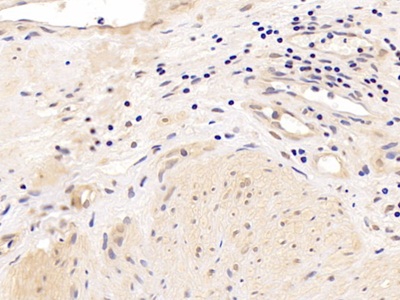
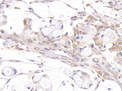
| Валидировано для | IHC WB Иммуногистохимия; Вестерн-блоттинг |
| Рекомендуемые разведения | WB: 0.01-2 мкг/мл; IHC: 5-20 мкг/мл; ICC: 5-20 мкг/мл; Оптимальное разведение определяется конечным потребителем |
| Метод очистки | Антигенспецифическая аффинная хроматография с последующей аффинной хроматографией с белком А |
| Состав буфера | PBS, pH7.4, 0.02% NaN3, 50% глицерин |
| Условия доставки | термобокс с аккумуляторами холода |
| Условия хранения | Сразу после получения аликвотировать и хранить при -20ºС до 24 месяцев. Для частого использования хранить при +4ºС не более 2 недель. Избегать повторения циклов замерзания/оттаивания |
| Срок хранения | 24 месяца |
| Производитель | Cloud-Clone Corp. |
| Ссылка на страницу товара на сайте производителя | http://www.cloud-clone.com/products/PAB252Hu01.html |
|
Артикул
|
Наименование |
Производитель
|
|---|
|
Артикул
|
Наименование |
Производитель
|
|---|
|
Артикул
|
Наименование |
Производитель
|
|---|
|
Артикул
|
Наименование |
Производитель
|
|---|
|
Артикул
|
Наименование |
Производитель
|
|---|
|
Артикул
|
Наименование |
Производитель
|
|---|
Акции и предложения
Популярные продукты:
TTF2 Polyclonal Antibody (E-AB-62278)
Источник (хозяин): кролик
Реактивность подтвержденная: человек
Валидировано для: IF, WB
Реактивность подтвержденная: человек
Валидировано для: IF, WB
ADFP Antibody (DF7603)
Источник (хозяин): кролик
Реактивность подтвержденная: человек, мышь, крыса
Валидировано для: WB
Реактивность подтвержденная: человек, мышь, крыса
Валидировано для: WB
Multiplex Assay Kit for S100 Calcium Binding Protein A8 (S100A8) (LMB792Hu)
Организм: человек
Диапазон определения: 0.98-1000 пг/мл
Чувствительность: 0.327 пг/мл
Диапазон определения: 0.98-1000 пг/мл
Чувствительность: 0.327 пг/мл
Monoclonal Antibody to Androgen Receptor (AR) (MAB252Ra23)
Источник (хозяин): мышь
Реактивность подтвержденная: крыса
Валидировано для: ICC, IHC, IP, WB
Реактивность подтвержденная: крыса
Валидировано для: ICC, IHC, IP, WB
Monoclonal Antibody to Androgen Receptor (AR) (MAB252Ra22)
Источник (хозяин): мышь
Реактивность подтвержденная: крыса
Валидировано для: IHC
Реактивность подтвержденная: крыса
Валидировано для: IHC

