| UNIPROT | P19091 |
| Иммуноген | RPB252Mu01-Recombinant Androgen Receptor (AR) |
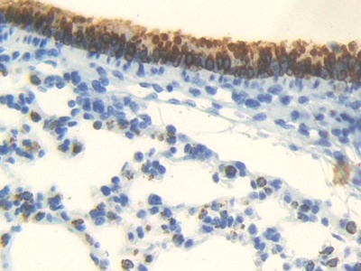
Polyclonal Antibody to Androgen Receptor (AR) (PAB252Mu01)
Реактивность подтвержденная:
мышь
Источник (хозяин):
кролик
Валидировано для:
IHC
Характеристики
Техническое описание
| Русское название | PAB252Mu01 Поликлональное антитело к андрогеновому рецептору (мышь) <Cloud-Clone,Китай> |
| Каталожный номер | PAB252Mu01 |
| Название антигена | Androgen Receptor (AR) |
| UNIPROT | P19091 |
| Иммуноген | RPB252Mu01-Recombinant Androgen Receptor (AR) |
| Английские синонимы | AIS, DHTR, HUMARA, KD, NR3C4, SBMA, SMAX1, TFM, Nuclear Receptor Subfamily 3,Group C,Member 4, Testicular Feminization, Kennedy Disease |
| Русские синонимы | Андрогенный рецептор |
Реактивность подтвержденная Нужна другая реактивность? |
мышь |
| Реактивность предсказываемая | крыса |
| Источник (хозяин) | кролик |
| Клональность | поликлональное |
| Рекомбинантное | нет |
| Готовое к использованию | нет |
| Концентрация | 0.5 мг/мл |
| Конъюгат | По запросу: HRP, biotin, PerCP, PE, Cy3, FITC, Cy7, Cy5.5, PE-Cy5, PE-Cy7, PerCp-Cy5.5, APC, Cy5, PE-Cy3, PE-Cy5.5, APC-Cy7, Biotin-APC, FITC-Biotin, TRITC, APC-Cy5, AF488, AF594, AF405, AF555, AF700, AF647, AF750 |
| Валидировано для | IHC Иммуногистохимия |
| Рекомендуемые разведения | WB: 0.01-2 мкг/мл; IHC: 5-20 мкг/мл; ICC: 5-20 мкг/мл; Оптимальное разведение определяется конечным потребителем |
| Метод очистки | Антигенспецифическая аффинная хроматография с последующей аффинной хроматографией с белком А |
| Состав буфера | PBS, pH7.4, 0.02% NaN3, 50% глицерин |
| Условия доставки | термобокс с аккумуляторами холода |
| Условия хранения | Сразу после получения аликвотировать и хранить при -20ºС до 24 месяцев. Для частого использования хранить при +4ºС не более 2 недель. Избегать повторения циклов замерзания/оттаивания |
| Срок хранения | 24 месяца |
| Производитель | Cloud-Clone Corp. |
| Ссылка на страницу товара на сайте производителя | http://www.cloud-clone.com/products/PAB252Mu01.html |
|
Артикул
|
Наименование |
Производитель
|
|---|
|
Артикул
|
Наименование |
Производитель
|
|---|
|
Артикул
|
Наименование |
Производитель
|
|---|
|
Артикул
|
Наименование |
Производитель
|
|---|
|
Артикул
|
Наименование |
Производитель
|
|---|
|
Артикул
|
Наименование |
Производитель
|
|---|
Акции и предложения
Популярные продукты:
Polyclonal Antibody to C Reactive Protein (CRP) (PAA821Mu01)
Источник (хозяин): кролик
Реактивность подтвержденная: мышь
Валидировано для: WB
Реактивность подтвержденная: мышь
Валидировано для: WB
Sheep LIM/homeobox protein Lhx3(LHX3) ELISA kit (E14L0102)
Организм: овца
Guinea Pig Centrosome and spindle pole associated protein 1(CSPP1) ELISA kit (E05C2112)
Организм: морская свинка
Mouse Glyceraldehyde 3 Phosphate Dehydrogenase ELISA kit (E03G0305)
Организм: мышь
Диапазон определения: 25-500 пг/мл
Чувствительность: 1 пг/мл
Диапазон определения: 25-500 пг/мл
Чувствительность: 1 пг/мл
Human Carnitine Acylcarnitine Translocase ELISA kit (E01C2512)
Организм: человек
Диапазон определения: 100-2500 пг/мл
Чувствительность: 1 пг/мл
Диапазон определения: 100-2500 пг/мл
Чувствительность: 1 пг/мл

