| UNIPROT | P50995 |
| Иммуноген | RPE781Hu01-Recombinant Annexin A11 (ANXA11) |
Polyclonal Antibody to Annexin A11 (ANXA11) (PAE781Hu01)
Реактивность подтвержденная:
человек
Источник (хозяин):
кролик
Валидировано для:
IHC
WB
Характеристики
Техническое описание
| Русское название | PAE781Hu01 Поликлональное антитело к ANXA11 (человек) <Cloud-Clone,Китай> |
| Каталожный номер | PAE781Hu01 |
| Название антигена | Annexin A11 (ANXA11) |
| UNIPROT | P50995 |
| Иммуноген | RPE781Hu01-Recombinant Annexin A11 (ANXA11) |
| Английские синонимы | ANX-A11, ANX11, CAP50, 56 kDa autoantigen, Calcyclin-associated annexin 50 |
Реактивность подтвержденная Нужна другая реактивность? |
человек |
| Реактивность предсказываемая | мышь, крыса |
| Источник (хозяин) | кролик |
| Клональность | поликлональное |
| Рекомбинантное | нет |
| Готовое к использованию | нет |
| Концентрация | 0.5 мг/мл |
| Конъюгат | По запросу: HRP, biotin, PerCP, PE, Cy3, FITC, Cy7, Cy5.5, PE-Cy5, PE-Cy7, PerCp-Cy5.5, APC, Cy5, PE-Cy3, PE-Cy5.5, APC-Cy7, Biotin-APC, FITC-Biotin, TRITC, APC-Cy5, AF488, AF594, AF405, AF555, AF700, AF647, AF750 |
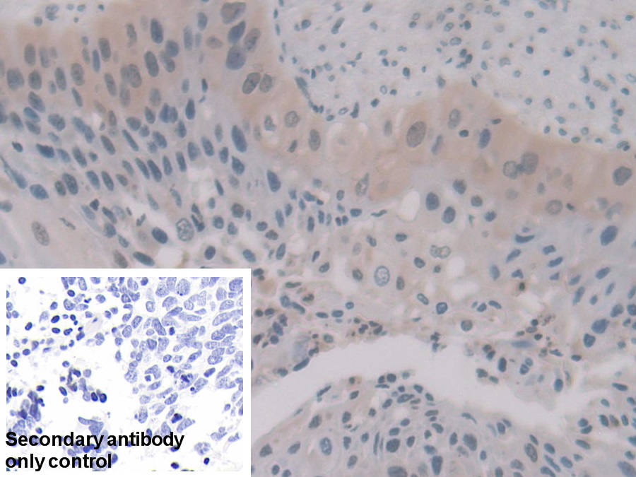
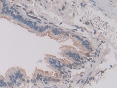
| Валидировано для | IHC WB Иммуногистохимия; Вестерн-блоттинг |
| Рекомендуемые разведения | WB: 0.5-3 мкг/мл; IHC: 5-30 мкг/мл; ICC: 5-30 мкг/мл; Оптимальное разведение определяется конечным потребителем |
| Метод очистки | Антигенспецифическая аффинная хроматография с последующей аффинной хроматографией с белком А |
| Состав буфера | 0.01M PBS, pH7.4, 0.05% Proclin-300, 50% глицерин |
| Условия доставки | термобокс с аккумуляторами холода |
| Условия хранения | Сразу после получения аликвотировать и хранить при -20ºС до 24 месяцев. Для частого использования хранить при +4ºС не более 2 недель. Избегать повторения циклов замерзания/оттаивания |
| Срок хранения | 24 месяца |
| Производитель | Cloud-Clone Corp. |
| Ссылка на страницу товара на сайте производителя | http://www.cloud-clone.com/products/PAE781Hu01.html |
|
Артикул
|
Наименование |
Производитель
|
|---|
|
Артикул
|
Наименование |
Производитель
|
|---|
Акции и предложения
Популярные продукты:
Goat Somatostatin Receptor 1 ELISA kit (E06S0196)
Организм: коза
Recombinant Mouse CCL3 Protein (His Tag) (PKSM040982)
Источник (хозяин): E.coli
Организм: мышь
Фрагмент: Ala24-Ala92
Теги: N-His
Биоактивность: да
Организм: мышь
Фрагмент: Ala24-Ala92
Теги: N-His
Биоактивность: да
Anti-Nav1.8 Na+ channel Antibody (N134/12) (RHN26901)
Источник (хозяин): мышь
Реактивность подтвержденная: для всех
Валидировано для: IHC, WB
Реактивность подтвержденная: для всех
Валидировано для: IHC, WB
PerCP/Cyanine5.5 Anti-Mouse CD106 Antibody[M/K-2.7] (E-AB-F1091J)
Источник (хозяин): крыса
Реактивность подтвержденная: мышь
Валидировано для: FCM
Реактивность подтвержденная: мышь
Валидировано для: FCM
Biotin-Linked Monoclonal Antibody to Interleukin 4 (IL4) (LAA077Ra72)
Источник (хозяин): мышь
Реактивность подтвержденная: крыса
Валидировано для: IHC, WB
Реактивность подтвержденная: крыса
Валидировано для: IHC, WB
Polyclonal Antibody to Annexin A11 (ANXA11) (PAE781Hu01)
Источник (хозяин): кролик
Реактивность подтвержденная: человек
Валидировано для: IHC, WB
Реактивность подтвержденная: человек
Валидировано для: IHC, WB

