| UNIPROT | P27216 |
| Иммуноген | RPE783Hu01-Recombinant Annexin A13 (ANXA13) |
Polyclonal Antibody to Annexin A13 (ANXA13) (PAE783Hu01)
Реактивность подтвержденная:
человек
Источник (хозяин):
кролик
Валидировано для:
IHC
WB
Характеристики
Техническое описание
| Русское название | PAE783Hu01 Поликлональное антитело к ANXA13 (человек) <Cloud-Clone,Китай> |
| Каталожный номер | PAE783Hu01 |
| Название антигена | Annexin A13 (ANXA13) |
| UNIPROT | P27216 |
| Иммуноген | RPE783Hu01-Recombinant Annexin A13 (ANXA13) |
| Английские синонимы | ANX-A13, ANX13, ISA, Intestine-specific annexin |
Реактивность подтвержденная Нужна другая реактивность? |
человек |
| Реактивность предсказываемая | мышь, свинья |
| Источник (хозяин) | кролик |
| Клональность | поликлональное |
| Рекомбинантное | нет |
| Готовое к использованию | нет |
| Концентрация | 500 мкг/мл |
| Конъюгат | По запросу: HRP, biotin, PerCP, PE, Cy3, FITC, Cy7, Cy5.5, PE-Cy5, PE-Cy7, PerCp-Cy5.5, APC, Cy5, PE-Cy3, PE-Cy5.5, APC-Cy7, Biotin-APC, FITC-Biotin, TRITC, APC-Cy5, AF488, AF594, AF405, AF555, AF700, AF647, AF750 |
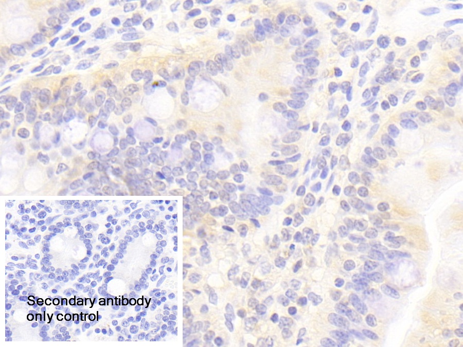
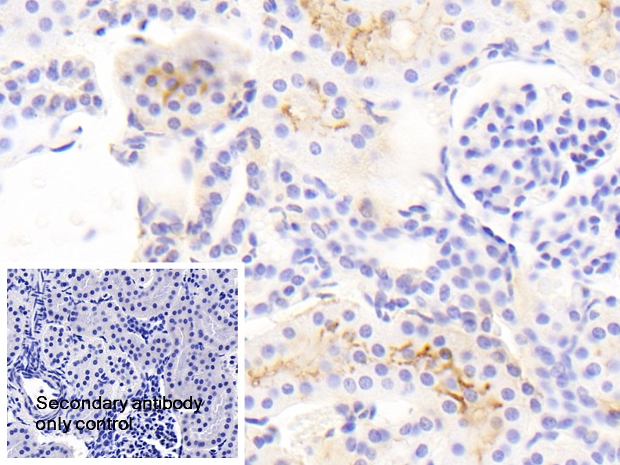
| Валидировано для | IHC WB Иммуногистохимия; Вестерн-блоттинг |
| Рекомендуемые разведения | WB: 0.5-2 мкг/мл; IHC: 5-20 мкг/мл; ICC: 5-20 мкг/мл; Оптимальное разведение определяется конечным потребителем |
| Метод очистки | Антигенспецифическая аффинная хроматография с последующей аффинной хроматографией с белком А |
| Состав буфера | 0.01M PBS, pH7.4, 0.05% Proclin-300, 50% глицерин |
| Условия доставки | термобокс с аккумуляторами холода |
| Условия хранения | Сразу после получения аликвотировать и хранить при -20ºС до 24 месяцев. Для частого использования хранить при +4ºС не более 2 недель. Избегать повторения циклов замерзания/оттаивания |
| Срок хранения | 24 месяца |
| Производитель | Cloud-Clone Corp. |
| Ссылка на страницу товара на сайте производителя | http://www.cloud-clone.com/products/PAE783Hu01.html |
|
Артикул
|
Наименование |
Производитель
|
|---|
|
Артикул
|
Наименование |
Производитель
|
|---|
Акции и предложения
Популярные продукты:
Guinea Pig Annexin A13(ANXA13) ELISA kit (E05A1544)
Организм: морская свинка
Goat Desmin(DES) ELISA kit (E06D0282)
Организм: коза
Multiplex Assay Kit for Collagen Type XII (COL12) (LMC158Mu)
Организм: мышь
Диапазон определения: 0.02-20 нг/мл
Чувствительность: 0.007 нг/мл
Диапазон определения: 0.02-20 нг/мл
Чувствительность: 0.007 нг/мл
Multiplex Assay Kit for Myelin Oligodendrocyte Glycoprotein (MOG) (LMA421Ra)
Организм: крыса
Диапазон определения: 0.01-10 нг/мл
Чувствительность: 0.003 нг/мл
Диапазон определения: 0.01-10 нг/мл
Чувствительность: 0.003 нг/мл
Anti-Plastin 3 (PLS3) Polyclonal Antibody (FAH365Hu05)
Источник (хозяин): кролик
Реактивность подтвержденная: человек
Валидировано для: FCM
Реактивность подтвержденная: человек
Валидировано для: FCM
Multiplex Assay Kit for Roundabout, Axon Guidance Receptor, Homolog 1 (ROBO1) (LMM155Hu)
Организм: человек
Диапазон определения: 0.02-20 нг/мл
Чувствительность: 0.007 нг/мл
Диапазон определения: 0.02-20 нг/мл
Чувствительность: 0.007 нг/мл

