| UNIPROT | P14669 |
| Иммуноген | RPE786Ra01-Recombinant Annexin A3 (ANXA3) |
Polyclonal Antibody to Annexin A3 (ANXA3) (PAE786Ra01)
Реактивность подтвержденная:
крыса
Источник (хозяин):
кролик
Валидировано для:
IHC
WB
Характеристики
Техническое описание
| Русское название | PAE786Ra01 Поликлональное антитело к ANXA3 (крыса) <Cloud-Clone,Китай> |
| Каталожный номер | PAE786Ra01 |
| Название антигена | Annexin A3 (ANXA3) |
| UNIPROT | P14669 |
| Иммуноген | RPE786Ra01-Recombinant Annexin A3 (ANXA3) |
| Английские синонимы | ANX-A3, ANX3, PAP-III, 35-alpha calcimedin, Inositol 1,2-cyclic phosphate 2-phosphohydrolase, Lipocortin III, Placental anticoagulant protein III |
Реактивность подтвержденная Нужна другая реактивность? |
крыса |
| Реактивность предсказываемая | человек |
| Источник (хозяин) | кролик |
| Клональность | поликлональное |
| Рекомбинантное | нет |
| Готовое к использованию | нет |
| Концентрация | 500 мкг/мл |
| Конъюгат | По запросу: HRP, biotin, PerCP, PE, Cy3, FITC, Cy7, Cy5.5, PE-Cy5, PE-Cy7, PerCp-Cy5.5, APC, Cy5, PE-Cy3, PE-Cy5.5, APC-Cy7, Biotin-APC, FITC-Biotin, TRITC, APC-Cy5, AF488, AF594, AF405, AF555, AF700, AF647, AF750 |
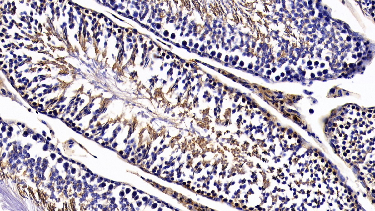
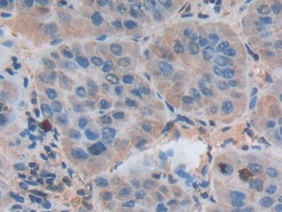
| Валидировано для | IHC WB Иммуногистохимия; Вестерн-блоттинг |
| Рекомендуемые разведения | WB: 0.2-2 мкг/мл; 1:250-2500; IHC: 5-20 мкг/мл; 1:25-100; ICC: 5-20 мкг/мл; 1:25-100; Оптимальное разведение определяется конечным потребителем |
| Метод очистки | Антигенспецифическая аффинная хроматография с последующей аффинной хроматографией с белком А |
| Состав буфера | 0.01M PBS, pH7.4, 0.05% Proclin-300, 50% глицерин |
| Условия доставки | термобокс с аккумуляторами холода |
| Условия хранения | Сразу после получения аликвотировать и хранить при -20ºС до 24 месяцев. Для частого использования хранить при +4ºС не более 2 недель. Избегать повторения циклов замерзания/оттаивания |
| Срок хранения | 24 месяца |
| Производитель | Cloud-Clone Corp. |
| Ссылка на страницу товара на сайте производителя | http://www.cloud-clone.com/products/PAE786Ra01.html |
|
Артикул
|
Наименование |
Производитель
|
|---|
|
Артикул
|
Наименование |
Производитель
|
|---|
|
Артикул
|
Наименование |
Производитель
|
|---|
|
Артикул
|
Наименование |
Производитель
|
|---|
|
Артикул
|
Наименование |
Производитель
|
|---|
Акции и предложения
Популярные продукты:
FITC-Rabbit Anti-Human IgG(H+L) (E-AB-1144)
Изотип: IgG
Источник (хозяин): кролик
Реактивность подтвержденная: человек
Валидировано для: FCM
Источник (хозяин): кролик
Реактивность подтвержденная: человек
Валидировано для: FCM
Anti-Insulin (INS) Monoclonal Antibody (FAA448Hu02)
Источник (хозяин): мышь
Реактивность подтвержденная: человек
Валидировано для: FCM
Реактивность подтвержденная: человек
Валидировано для: FCM
Sheep Argininosuccinate lyase(ASL) ELISA kit (E14A1722)
Организм: овца
Chicken Synaptic Vesicle Glycoprotein 2A ELISA kit (E12S0869)
Организм: курица
Rat Aquaporin-8(AQP8) ELISA kit (E02A1618)
Организм: крыса

