| UNIPROT | P09525 |
| Иммуноген | RPE784Hu02-Recombinant Annexin A4 (ANXA4) |
Polyclonal Antibody to Annexin A4 (ANXA4) (PAE784Hu02)
Реактивность подтвержденная:
человек
Источник (хозяин):
кролик
Валидировано для:
IHC
WB
Характеристики
Техническое описание
| Русское название | PAE784Hu02 Поликлональное антитело к ANXA4 (человек) <Cloud-Clone,Китай> |
| Каталожный номер | PAE784Hu02 |
| Название антигена | Annexin A4 (ANXA4) |
| UNIPROT | P09525 |
| Иммуноген | RPE784Hu02-Recombinant Annexin A4 (ANXA4) |
| Английские синонимы | ANX-A4, ANX4, PIG28, 35-beta calcimedin, Carbohydrate-binding protein p33/p41, Chromobindin-4, Endonexin I, Lipocortin IV, Placental anticoagulant protein II |
Реактивность подтвержденная Нужна другая реактивность? |
человек |
| Реактивность предсказываемая | мышь, крыса |
| Источник (хозяин) | кролик |
| Клональность | поликлональное |
| Рекомбинантное | нет |
| Готовое к использованию | нет |
| Концентрация | 0.5 мг/мл |
| Конъюгат | По запросу: HRP, biotin, PerCP, PE, Cy3, FITC, Cy7, Cy5.5, PE-Cy5, PE-Cy7, PerCp-Cy5.5, APC, Cy5, PE-Cy3, PE-Cy5.5, APC-Cy7, Biotin-APC, FITC-Biotin, TRITC, APC-Cy5, AF488, AF594, AF405, AF555, AF700, AF647, AF750 |
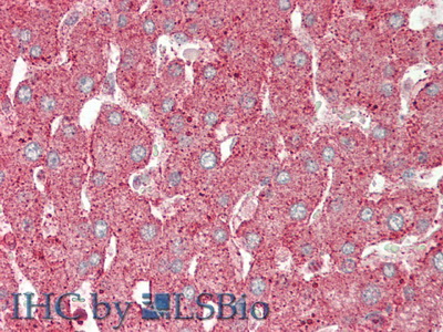
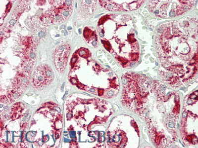
| Валидировано для | IHC WB Иммуногистохимия; Вестерн-блоттинг |
| Рекомендуемые разведения | WB: 0.5-2 мкг/мл; 1:250-1000; IHC: 5-20 мкг/мл; 1:25-100; ICC: 5-20 мкг/мл; 1:25-100; Оптимальное разведение определяется конечным потребителем |
| Метод очистки | Антигенспецифическая аффинная хроматография с последующей аффинной хроматографией с белком А |
| Состав буфера | PBS, pH7.4, 0.02% NaN3, 50% глицерин |
| Условия доставки | термобокс с аккумуляторами холода |
| Условия хранения | Сразу после получения аликвотировать и хранить при -20ºС до 24 месяцев. Для частого использования хранить при +4ºС не более 2 недель. Избегать повторения циклов замерзания/оттаивания |
| Срок хранения | 24 месяца |
| Производитель | Cloud-Clone Corp. |
| Ссылка на страницу товара на сайте производителя | http://www.cloud-clone.com/products/PAE784Hu02.html |
|
Артикул
|
Наименование |
Производитель
|
|---|
|
Артикул
|
Наименование |
Производитель
|
|---|
|
Артикул
|
Наименование |
Производитель
|
|---|
|
Артикул
|
Наименование |
Производитель
|
|---|
|
Артикул
|
Наименование |
Производитель
|
|---|
|
Артикул
|
Наименование |
Производитель
|
|---|
|
Артикул
|
Наименование |
Производитель
|
|---|
|
Артикул
|
Наименование |
Производитель
|
|---|
|
Артикул
|
Наименование |
Производитель
|
|---|
Акции и предложения
Популярные продукты:
Human Acylglycerol kinase, mitochondrial(AGK) ELISA kit (E01A1324)
Организм: человек
Guinea Pig Annexin Ⅳ(ANX Ⅳ) ELISA kit (E05A1546)
Организм: морская свинка
Chicken Annexin A10(ANXA10) ELISA kit (E12A1542)
Организм: курица
Goat Annexin A10(ANXA10) ELISA kit (E06A1542)
Организм: коза
Chicken Tubulin, gamma 1 ELISA kit (E12T0948)
Организм: курица
Sheep Glycophosphatidylinositol ELISA kit (E14G0353)
Организм: овца

