| UNIPROT | P08133 |
| Иммуноген | RPC345Hu01-Recombinant Annexin A6 (ANXA6) |
Polyclonal Antibody to Annexin A6 (ANXA6) (PAC345Hu01)
Реактивность подтвержденная:
человек
Источник (хозяин):
кролик
Валидировано для:
IHC
WB
Характеристики
Техническое описание
| Русское название | PAC345Hu01 Поликлональное антитело к ANXA6 (человек) <Cloud-Clone,Китай> |
| Каталожный номер | PAC345Hu01 |
| Название антигена | Annexin A6 (ANXA6) |
| UNIPROT | P08133 |
| Иммуноген | RPC345Hu01-Recombinant Annexin A6 (ANXA6) |
| Английские синонимы | ANX6, ANX-A6, CBP68, CPB-II, Annexin VI, 67 kDa calelectrin, Calphobindin-II, Chromobindin-20, Lipocortin VI |
Реактивность подтвержденная Нужна другая реактивность? |
человек |
| Реактивность предсказываемая | крыса |
| Источник (хозяин) | кролик |
| Клональность | поликлональное |
| Рекомбинантное | нет |
| Готовое к использованию | нет |
| Концентрация | 0.5 мг/мл |
| Конъюгат | По запросу: HRP, biotin, PerCP, PE, Cy3, FITC, Cy7, Cy5.5, PE-Cy5, PE-Cy7, PerCp-Cy5.5, APC, Cy5, PE-Cy3, PE-Cy5.5, APC-Cy7, Biotin-APC, FITC-Biotin, TRITC, APC-Cy5, AF488, AF594, AF405, AF555, AF700, AF647, AF750 |
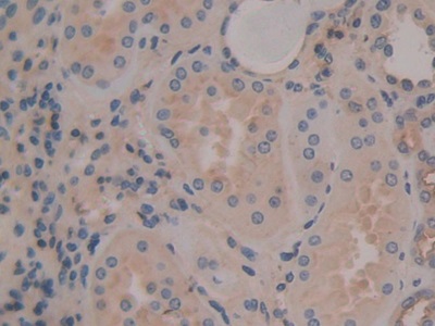
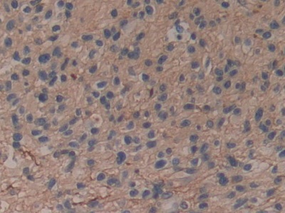
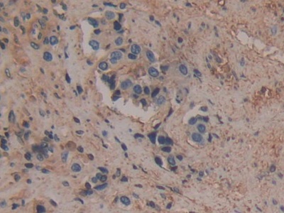
| Валидировано для | IHC WB Иммуногистохимия; Вестерн-блоттинг |
| Рекомендуемые разведения | WB: 0.5-5 мкг/мл; IHC: 5-20 мкг/мл; ICC: 5-20 мкг/мл; Оптимальное разведение определяется конечным потребителем |
| Метод очистки | Антигенспецифическая аффинная хроматография с последующей аффинной хроматографией с белком А |
| Состав буфера | 0.01M PBS, pH7.4, 0.05% Proclin-300, 50% глицерин |
| Условия доставки | термобокс с аккумуляторами холода |
| Условия хранения | Сразу после получения аликвотировать и хранить при -20ºС до 24 месяцев. Для частого использования хранить при +4ºС не более 2 недель. Избегать повторения циклов замерзания/оттаивания |
| Срок хранения | 24 месяца |
| Производитель | Cloud-Clone Corp. |
| Ссылка на страницу товара на сайте производителя | http://www.cloud-clone.com/products/PAC345Hu01.html |
|
Артикул
|
Наименование |
Производитель
|
|---|
|
Артикул
|
Наименование |
Производитель
|
|---|
|
Артикул
|
Наименование |
Производитель
|
|---|
|
Артикул
|
Наименование |
Производитель
|
|---|
Акции и предложения
Популярные продукты:
Recombinant Rhesus macaque B7-H4/VTCN1 Protein (His Tag) (PKSQ050083)
Источник (хозяин): HEK293
Организм: обезьяна
Фрагмент: Phe29-Ala258
Теги: C-His
Биоактивность: да
Организм: обезьяна
Фрагмент: Phe29-Ala258
Теги: C-His
Биоактивность: да
Mouse Cytochrome P450 26A1(CYP26A1) ELISA kit (E03C2230)
Организм: мышь
Rat Cannabinoid Receptor 1, Brain ELISA kit (E02C0374)
Организм: крыса
Диапазон определения: 1-25 нг/мл
Чувствительность: 0.1 нг/мл
Диапазон определения: 1-25 нг/мл
Чувствительность: 0.1 нг/мл
Porcine Sclerostin ELISA kit (E07S0207)
Организм: свинья
PE/Cyanine7 Anti-Mouse Ly6G Antibody[1A8] (FCE2482)
Источник (хозяин): крыса
Реактивность подтвержденная: мышь
Валидировано для: FCM
Реактивность подтвержденная: мышь
Валидировано для: FCM
Monoclonal Antibody to Interleukin 33 (IL33) (MAB980Hu25)
Источник (хозяин): мышь
Реактивность подтвержденная: человек
Валидировано для: WB
Реактивность подтвержденная: человек
Валидировано для: WB

