| UNIPROT | O76027 |
| Иммуноген | RPE779Hu01-Recombinant Annexin A9 (ANXA9) |
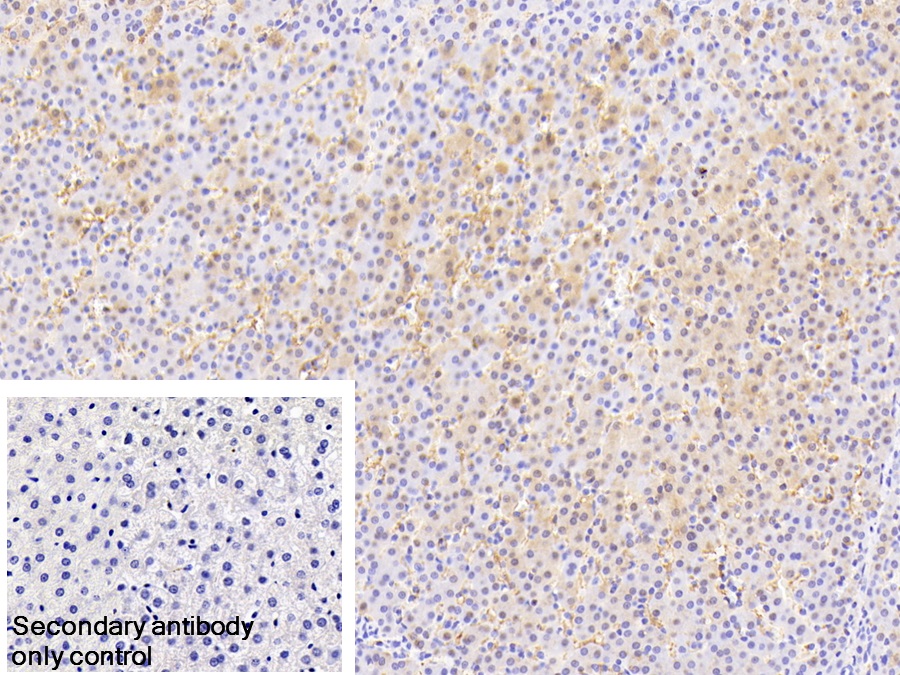
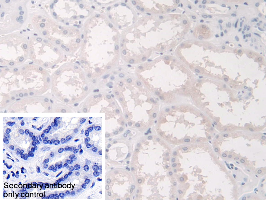
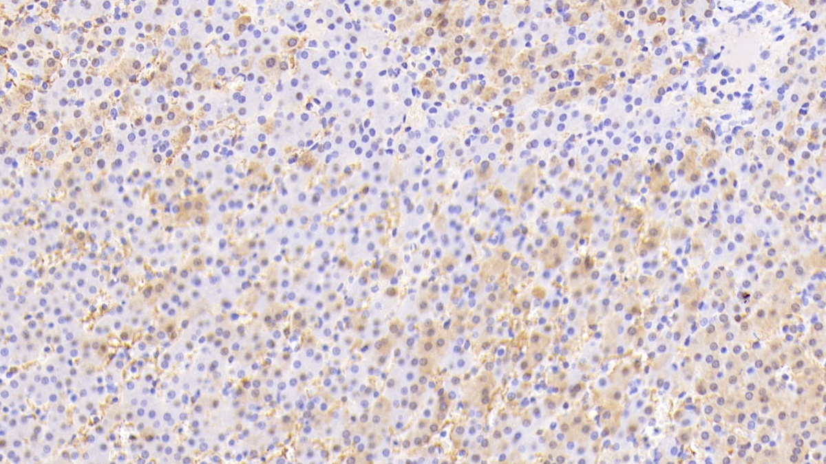
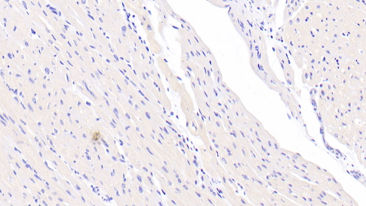
Polyclonal Antibody to Annexin A9 (ANXA9) (PAE779Hu01)
Реактивность подтвержденная:
человек
Источник (хозяин):
кролик
Валидировано для:
IHC
WB
Характеристики
Техническое описание
| Русское название | PAE779Hu01 Поликлональное антитело к ANXA9 (человек) <Cloud-Clone,Китай> |
| Каталожный номер | PAE779Hu01 |
| Название антигена | Annexin A9 (ANXA9) |
| UNIPROT | O76027 |
| Иммуноген | RPE779Hu01-Recombinant Annexin A9 (ANXA9) |
| Английские синонимы | ANX-A9, ANX31, Annexin-31, Pemphaxin |
Реактивность подтвержденная Нужна другая реактивность? |
человек |
| Источник (хозяин) | кролик |
| Клональность | поликлональное |
| Рекомбинантное | нет |
| Готовое к использованию | нет |
| Концентрация | 0.5 мг/мл |
| Конъюгат | По запросу: HRP, biotin, PerCP, PE, Cy3, FITC, Cy7, Cy5.5, PE-Cy5, PE-Cy7, PerCp-Cy5.5, APC, Cy5, PE-Cy3, PE-Cy5.5, APC-Cy7, Biotin-APC, FITC-Biotin, TRITC, APC-Cy5, AF488, AF594, AF405, AF555, AF700, AF647, AF750 |
| Валидировано для | IHC WB Иммуногистохимия; Вестерн-блоттинг |
| Рекомендуемые разведения | WB: 0.01-2 мкг/мл; IHC: 5-20 мкг/мл; Оптимальное разведение определяется конечным потребителем |
| Метод очистки | Антигенспецифическая аффинная хроматография с последующей аффинной хроматографией с белком А |
| Состав буфера | 0.01M PBS, pH7.4, 0.05% Proclin-300, 50% глицерин |
| Условия доставки | термобокс с аккумуляторами холода |
| Условия хранения | Сразу после получения аликвотировать и хранить при -20ºС до 24 месяцев. Для частого использования хранить при +4ºС не более 2 недель. Избегать повторения циклов замерзания/оттаивания |
| Срок хранения | 24 месяца |
| Производитель | Cloud-Clone Corp. |
| Ссылка на страницу товара на сайте производителя | http://www.cloud-clone.com/products/PAE779Hu01.html |
|
Артикул
|
Наименование |
Производитель
|
|---|
|
Артикул
|
Наименование |
Производитель
|
|---|
Акции и предложения
Популярные продукты:
ELISA Kit DIY Materials for Galectin 3 (GAL3) (KSA303Mu01)
Организм: мышь
Диапазон определения: 15.6-1000 пг/мл
Чувствительность: 6.3 пг/мл
Диапазон определения: 15.6-1000 пг/мл
Чувствительность: 6.3 пг/мл
Guinea Pig Annexin A9(ANXA9) ELISA kit (E05A1551)
Организм: морская свинка
Anti-CASP1/Caspase-1 Antibody (R1T74) (RHD84103)
Источник (хозяин): кролик
Реактивность подтвержденная: человек, мышь, крыса
Валидировано для: IP, WB
Реактивность подтвержденная: человек, мышь, крыса
Валидировано для: IP, WB
ERCC2 Antibody (DF9076)
Источник (хозяин): кролик
Реактивность подтвержденная: человек, мышь
Валидировано для: WB
Реактивность подтвержденная: человек, мышь
Валидировано для: WB
Multiplex Assay Kit for Hepatocyte Growth Factor Activator (HGFAC) (LMH911Hu)
Организм: человек
Диапазон определения: 0.98-1000 пг/мл
Чувствительность: 0.327 пг/мл
Диапазон определения: 0.98-1000 пг/мл
Чувствительность: 0.327 пг/мл
Polyclonal Antibody to Annexin A9 (ANXA9) (PAE779Hu01)
Источник (хозяин): кролик
Реактивность подтвержденная: человек
Валидировано для: IHC, WB
Реактивность подтвержденная: человек
Валидировано для: IHC, WB

