| UNIPROT | P81287 |
| Иммуноген | RPA259Bo01-Recombinant Annexin V (ANXA5) |
Polyclonal Antibody to Annexin V (ANXA5) (PAA259Bo01)
Реактивность подтвержденная:
корова
Источник (хозяин):
кролик
Валидировано для:
IHC
WB
Характеристики
Техническое описание
| Русское название | PAA259Bo01 Поликлональное антитело к ANXA5 (корова) <Cloud-Clone,Китай> |
| Каталожный номер | PAA259Bo01 |
| Название антигена | Annexin A5 (ANXA5) |
| UNIPROT | P81287 |
| Иммуноген | RPA259Bo01-Recombinant Annexin V (ANXA5) |
| Английские синонимы | ANX5, ENX2, PP4, PAP-I, CBP-I, Anchorin CII, Calphobindin I, Endonexin II, Lipocortin V, Placental anticoagulant protein 4, Thromboplastin inhibitor, Vascular anticoagulant-alpha |
Реактивность подтвержденная Нужна другая реактивность? |
корова |
| Реактивность предсказываемая | человек, мышь, крыса, свинья |
| Источник (хозяин) | кролик |
| Клональность | поликлональное |
| Рекомбинантное | нет |
| Готовое к использованию | нет |
| Концентрация | 500 мкг/мл |
| Конъюгат | По запросу: HRP, biotin, PerCP, PE, Cy3, FITC, Cy7, Cy5.5, PE-Cy5, PE-Cy7, PerCp-Cy5.5, APC, Cy5, PE-Cy3, PE-Cy5.5, APC-Cy7, Biotin-APC, FITC-Biotin, TRITC, APC-Cy5, AF488, AF594, AF405, AF555, AF700, AF647, AF750 |
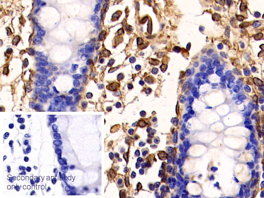
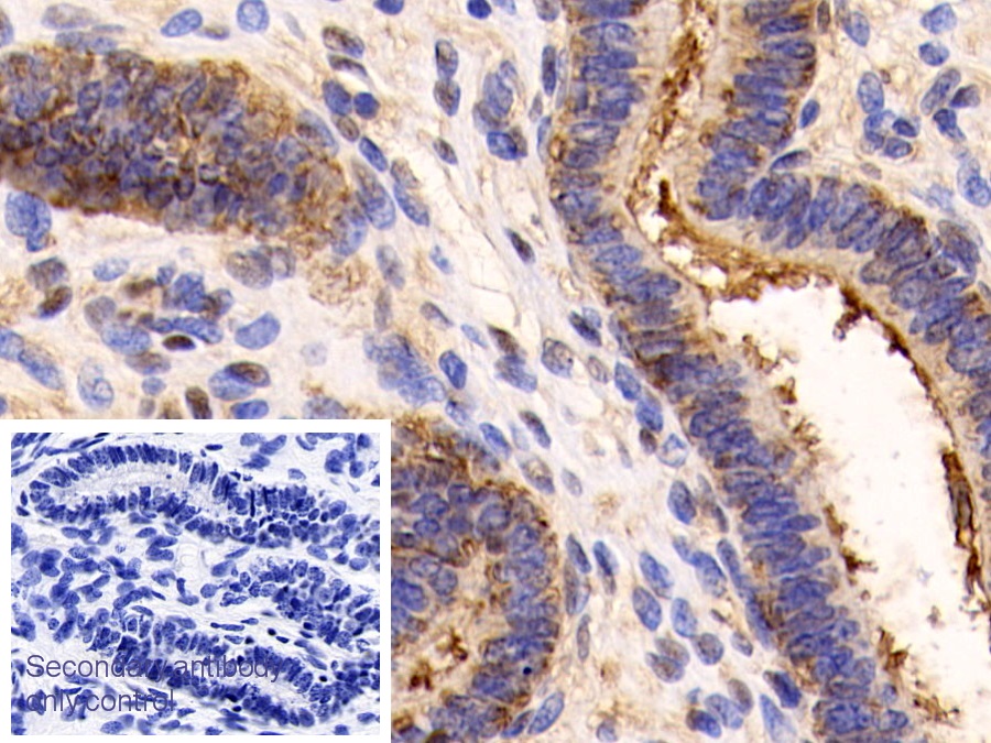
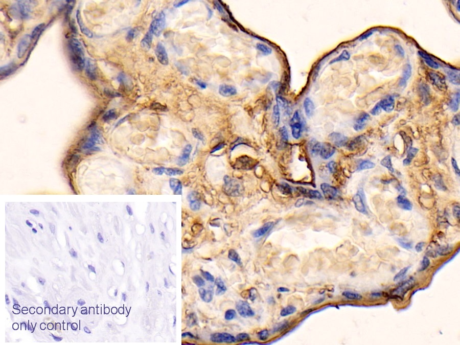
| Валидировано для | IHC WB Иммуногистохимия; Вестерн-блоттинг |
| Рекомендуемые разведения | WB: 0.5-2 мкг/мл; IHC: 5-20 мкг/мл; ICC: 5-20 мкг/мл; Оптимальное разведение определяется конечным потребителем |
| Метод очистки | Антигенспецифическая аффинная хроматография с последующей аффинной хроматографией с белком А |
| Состав буфера | PBS, pH7.4, 0.02% NaN3, 50% глицерин |
| Условия доставки | термобокс с аккумуляторами холода |
| Условия хранения | Сразу после получения аликвотировать и хранить при -20ºС до 24 месяцев. Для частого использования хранить при +4ºС не более 2 недель. Избегать повторения циклов замерзания/оттаивания |
| Срок хранения | 24 месяца |
| Производитель | Cloud-Clone Corp. |
| Ссылка на страницу товара на сайте производителя | http://www.cloud-clone.com/products/PAA259Bo01.html |
|
Артикул
|
Наименование |
Производитель
|
|---|
|
Артикул
|
Наименование |
Производитель
|
|---|
|
Артикул
|
Наименование |
Производитель
|
|---|
|
Артикул
|
Наименование |
Производитель
|
|---|
|
Артикул
|
Наименование |
Производитель
|
|---|
|
Артикул
|
Наименование |
Производитель
|
|---|
|
Артикул
|
Наименование |
Производитель
|
|---|
|
Артикул
|
Наименование |
Производитель
|
|---|
|
Артикул
|
Наименование |
Производитель
|
|---|
Акции и предложения
Популярные продукты:
Goat Protein dachsous homolog 2 ELISA kit (E06D0585)
Организм: коза
Mouse Protein dachsous homolog 2 ELISA kit (E03D0585)
Организм: мышь
Human Protein dachsous homolog 2 ELISA kit (E01D0585)
Организм: человек
Диапазон определения: 25 нг/мл
Диапазон определения: 25 нг/мл
Sheep Acetoacetyl CoA synthetase ELISA kit (E14A0083)
Организм: овца
Mouse Acetoacetyl CoA synthetase ELISA kit (E03A0083)
Организм: мышь
Chicken Acetoacetyl CoA synthetase ELISA kit (E12A0083)
Организм: курица

