| UNIPROT | P01008 |
| Иммуноген | RPC313Hu03-Recombinant Antithrombin (AT) |
Polyclonal Antibody to Antithrombin (AT) (PAC313Hu03)
Реактивность подтвержденная:
человек
Источник (хозяин):
кролик
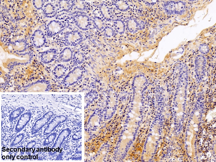
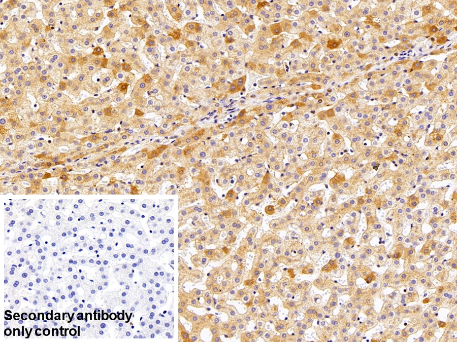
Валидировано для:
IHC
Характеристики
Техническое описание
| Русское название | PAC313Hu03 Поликлональное антитело к антитромбину (человек) <Cloud-Clone,Китай> |
| Каталожный номер | PAC313Hu03 |
| Название антигена | Antithrombin (AT) |
| UNIPROT | P01008 |
| Иммуноген | RPC313Hu03-Recombinant Antithrombin (AT) |
| Английские синонимы | AT3, ATIII, SERPINC1, Anti-Thrombin Antibodies, Serpin Peptidase Inhibitor Clade C Member 1, Coding Sequence Signal Peptide Antithrombin Part 1 |
Реактивность подтвержденная Нужна другая реактивность? |
человек |
| Источник (хозяин) | кролик |
| Клональность | поликлональное |
| Рекомбинантное | нет |
| Готовое к использованию | нет |
| Концентрация | 500 мкг/мл |
| Конъюгат | По запросу: HRP, biotin, PerCP, PE, Cy3, FITC, Cy7, Cy5.5, PE-Cy5, PE-Cy7, PerCp-Cy5.5, APC, Cy5, PE-Cy3, PE-Cy5.5, APC-Cy7, Biotin-APC, FITC-Biotin, TRITC, APC-Cy5, AF488, AF594, AF405, AF555, AF700, AF647, AF750 |
| Валидировано для | IHC Иммуногистохимия |
| Рекомендуемые разведения | WB: 0.5-2 мкг/мл; IHC: 5-20 мкг/мл; ICC: 5-20 мкг/мл; Оптимальное разведение определяется конечным потребителем |
| Метод очистки | Антигенспецифическая аффинная хроматография с последующей аффинной хроматографией с белком А |
| Состав буфера | 0.01M PBS, pH7.4, 0.05% Proclin-300, 50% глицерин |
| Условия доставки | термобокс с аккумуляторами холода |
| Условия хранения | Сразу после получения аликвотировать и хранить при -20ºС до 24 месяцев. Для частого использования хранить при +4ºС не более 2 недель. Избегать повторения циклов замерзания/оттаивания |
| Срок хранения | 24 месяца |
| Производитель | Cloud-Clone Corp. |
| Ссылка на страницу товара на сайте производителя | http://www.cloud-clone.com/products/PAC313Hu03.html |
|
Артикул
|
Наименование |
Производитель
|
|---|
|
Артикул
|
Наименование |
Производитель
|
|---|
|
Артикул
|
Наименование |
Производитель
|
|---|
|
Артикул
|
Наименование |
Производитель
|
|---|
|
Артикул
|
Наименование |
Производитель
|
|---|
Акции и предложения
Популярные продукты:
Monkey Corneodesmosin ELISA kit (E09C0406)
Организм: обезьяна
Rabbit Corneodesmosin ELISA kit (E04C0406)
Организм: кролик
Sheep Fascin ELISA kit (E14F0134)
Организм: овца
Monkey Cyclin D1 ELISA kit (E09C0483)
Организм: обезьяна
Monkey Centromere Protein H ELISA kit (E09C0649)
Организм: обезьяна

