| UNIPROT | Q5M7T5 |
| Иммуноген | RPC313Ra02-Recombinant Antithrombin (AT) |
Polyclonal Antibody to Antithrombin (AT) (PAC313Ra02)
Реактивность подтвержденная:
крыса
Источник (хозяин):
кролик
Валидировано для:
IHC
WB
Характеристики
Техническое описание
| Русское название | PAC313Ra02 Поликлональное антитело к антитромбину (крыса) <Cloud-Clone,Китай> |
| Каталожный номер | PAC313Ra02 |
| Название антигена | Antithrombin (AT) |
| UNIPROT | Q5M7T5 |
| Иммуноген | RPC313Ra02-Recombinant Antithrombin (AT) |
| Английские синонимы | AT3, ATIII, SERPINC1, Anti-Thrombin Antibodies, Serpin Peptidase Inhibitor Clade C Member 1, Coding Sequence Signal Peptide Antithrombin Part 1 |
Реактивность подтвержденная Нужна другая реактивность? |
крыса |
| Источник (хозяин) | кролик |
| Клональность | поликлональное |
| Рекомбинантное | нет |
| Готовое к использованию | нет |
| Концентрация | 1 мг/мл |
| Конъюгат | По запросу: HRP, biotin, PerCP, PE, Cy3, FITC, Cy7, Cy5.5, PE-Cy5, PE-Cy7, PerCp-Cy5.5, APC, Cy5, PE-Cy3, PE-Cy5.5, APC-Cy7, Biotin-APC, FITC-Biotin, TRITC, APC-Cy5, AF488, AF594, AF405, AF555, AF700, AF647, AF750 |
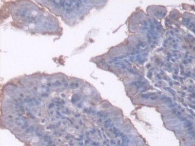
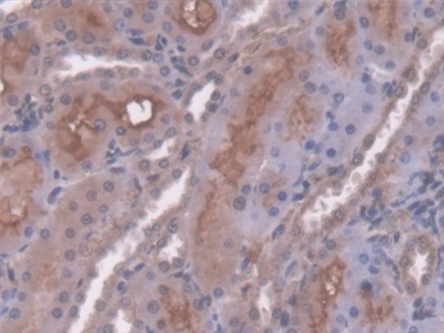
| Валидировано для | IHC WB Иммуногистохимия; Вестерн-блоттинг |
| Рекомендуемые разведения | WB: 0.5-2 мкг/мл; IHC: 5-20 мкг/мл; ICC: 5-20 мкг/мл; Оптимальное разведение определяется конечным потребителем |
| Метод очистки | Антигенспецифическая аффинная хроматография с последующей аффинной хроматографией с белком А |
| Состав буфера | PBS, pH7.4, 0.02% NaN3, 50% глицерин |
| Условия доставки | термобокс с аккумуляторами холода |
| Условия хранения | Сразу после получения аликвотировать и хранить при -20ºС до 24 месяцев. Для частого использования хранить при +4ºС не более 2 недель. Избегать повторения циклов замерзания/оттаивания |
| Срок хранения | 24 месяца |
| Производитель | Cloud-Clone Corp. |
| Ссылка на страницу товара на сайте производителя | http://www.cloud-clone.com/products/PAC313Ra02.html |
|
Артикул
|
Наименование |
Производитель
|
|---|
|
Артикул
|
Наименование |
Производитель
|
|---|
|
Артикул
|
Наименование |
Производитель
|
|---|
|
Артикул
|
Наименование |
Производитель
|
|---|
|
Артикул
|
Наименование |
Производитель
|
|---|
Акции и предложения
Популярные продукты:
Anti-Mouse Lambda chain Antibody (SAb2427) (RMK15302)
Источник (хозяин): кролик
Реактивность подтвержденная: мышь
Валидировано для: ELISA
Реактивность подтвержденная: мышь
Валидировано для: ELISA
Anti-Borreliella burgdorferi ospB Antibody (SAb2296) (RXX26001)
Источник (хозяин): человек
Реактивность подтвержденная: бактерии
Валидировано для: ELISA, WB
Реактивность подтвержденная: бактерии
Валидировано для: ELISA, WB
Sheep Alpha tectorin(TECTA) ELISA kit (E14A2006)
Организм: овца
Mouse Alpha tectorin(TECTA) ELISA kit (E03A2006)
Организм: мышь
Human Alpha tectorin(TECTA) ELISA kit (E01A2006)
Организм: человек
Диапазон определения: 100-2500 пг/мл
Чувствительность: 1 пг/мл
Диапазон определения: 100-2500 пг/мл
Чувствительность: 1 пг/мл

