| UNIPROT | Q00623 |
| Иммуноген | RPA519Mu01-Recombinant Apolipoprotein A1 (APOA1) |
Polyclonal Antibody to Apolipoprotein A1 (APOA1) (PAA519Mu01)
Реактивность подтвержденная:
мышь
Источник (хозяин):
кролик
Валидировано для:
IHC
WB
Характеристики
Техническое описание
| Русское название | PAA519Mu01 Поликлональное антитело к APOA1 (мышь) <Cloud-Clone,Китай> |
| Каталожный номер | PAA519Mu01 |
| Название антигена | Apolipoprotein A1 (APOA1) |
| UNIPROT | Q00623 |
| Иммуноген | RPA519Mu01-Recombinant Apolipoprotein A1 (APOA1) |
| Английские синонимы | Apo-A1, ApoA-1 Milano, ProapoA-I, Proapolipoprotein A-I, Truncated apolipoprotein A-I |
| Русские синонимы | Аполипопротеин A1, АпоА-I |
Реактивность подтвержденная Нужна другая реактивность? |
мышь |
| Источник (хозяин) | кролик |
| Клональность | поликлональное |
| Рекомбинантное | нет |
| Готовое к использованию | нет |
| Концентрация | 0.5 мг/мл |
| Конъюгат | По запросу: HRP, biotin, PerCP, PE, Cy3, FITC, Cy7, Cy5.5, PE-Cy5, PE-Cy7, PerCp-Cy5.5, APC, Cy5, PE-Cy3, PE-Cy5.5, APC-Cy7, Biotin-APC, FITC-Biotin, TRITC, APC-Cy5, AF488, AF594, AF405, AF555, AF700, AF647, AF750 |
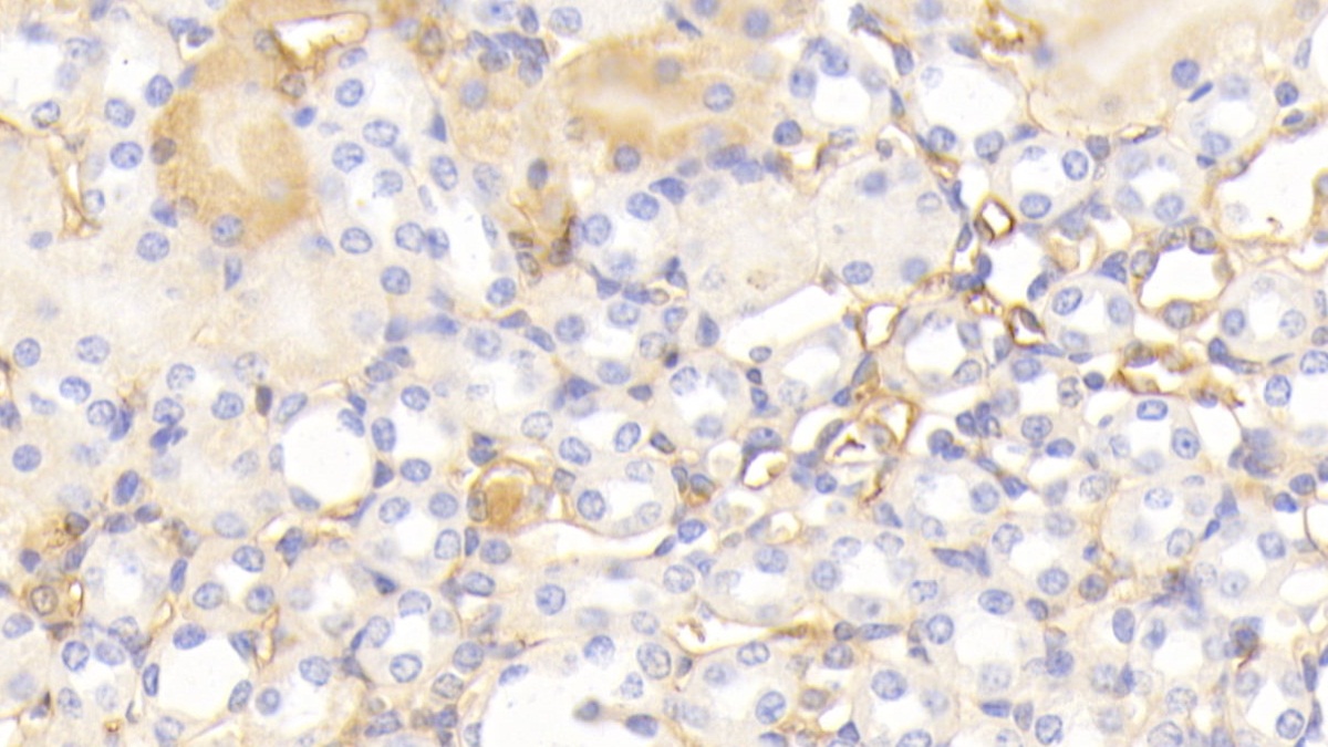
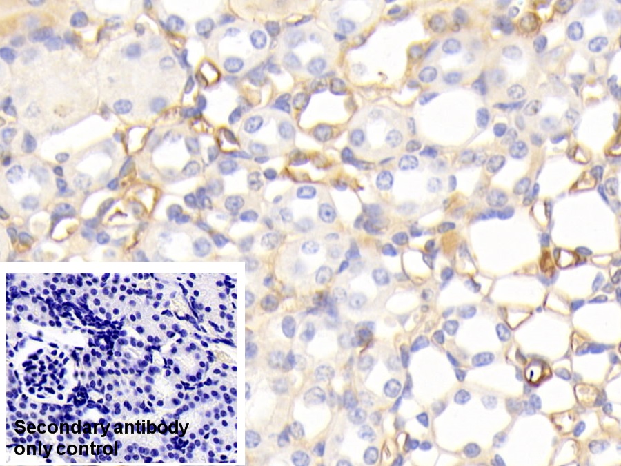
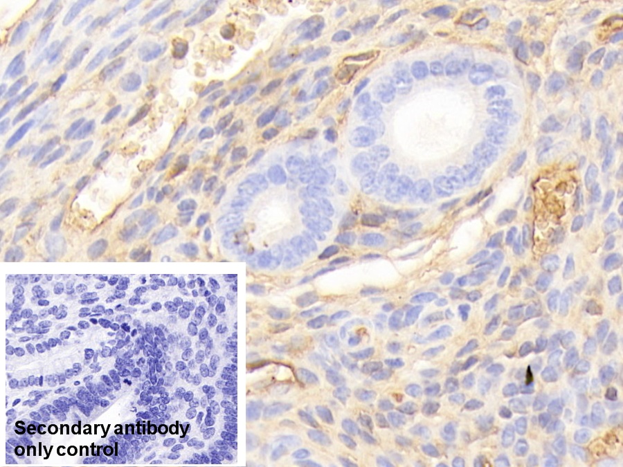
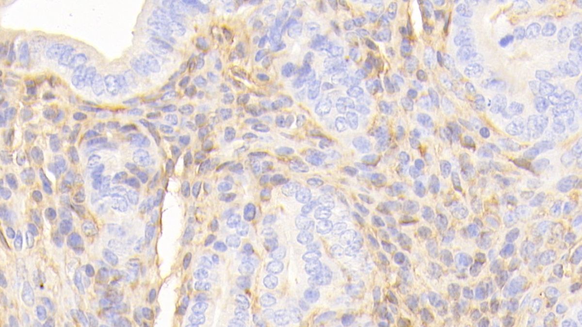
| Валидировано для | IHC WB Иммуногистохимия; Вестерн-блоттинг |
| Рекомендуемые разведения | WB: 0.01-2 мкг/мл; IHC: 5-20 мкг/мл; ICC: 5-20 мкг/мл; Оптимальное разведение определяется конечным потребителем |
| Метод очистки | Антигенспецифическая аффинная хроматография с последующей аффинной хроматографией с белком А |
| Состав буфера | 0.01M PBS, pH7.4, 0.05% Proclin-300, 50% глицерин |
| Условия доставки | термобокс с аккумуляторами холода |
| Условия хранения | Сразу после получения аликвотировать и хранить при -20ºС до 24 месяцев. Для частого использования хранить при +4ºС не более 2 недель. Избегать повторения циклов замерзания/оттаивания |
| Срок хранения | 24 месяца |
| Производитель | Cloud-Clone Corp. |
| Ссылка на страницу товара на сайте производителя | http://www.cloud-clone.com/products/PAA519Mu01.html |
|
Артикул
|
Наименование |
Производитель
|
|---|
|
Артикул
|
Наименование |
Производитель
|
|---|
|
Артикул
|
Наименование |
Производитель
|
|---|
|
Артикул
|
Наименование |
Производитель
|
|---|
|
Артикул
|
Наименование |
Производитель
|
|---|
|
Артикул
|
Наименование |
Производитель
|
|---|
|
Артикул
|
Наименование |
Производитель
|
|---|
|
Артикул
|
Наименование |
Производитель
|
|---|
|
Артикул
|
Наименование |
Производитель
|
|---|
|
Артикул
|
Наименование |
Производитель
|
|---|
|
Артикул
|
Наименование |
Производитель
|
|---|
|
Артикул
|
Наименование |
Производитель
|
|---|
Акции и предложения
Популярные продукты:
Goat Apolipoprotein A1 ELISA kit (E06A0509)
Организм: коза
Recombinant Human UPF1 Protein, N-His (YHK51501)
Источник (хозяин): E.coli
Организм: человек
Фрагмент: Val292-Gln710
Теги: N-His
Биоактивность: нет
Организм: человек
Фрагмент: Val292-Gln710
Теги: N-His
Биоактивность: нет
Phenylalanine (Phe) Colorimetric Assay Kit (E-BC-K846-M)
Организм: для всех
Диапазон определения: 4.25-500.00 мкмоль/л
Чувствительность: 4.25 мкмоль/л
Диапазон определения: 4.25-500.00 мкмоль/л
Чувствительность: 4.25 мкмоль/л
SEPHS1 Antibody (DF16108)
Источник (хозяин): кролик
Реактивность подтвержденная: человек, мышь
Валидировано для: IHC, WB
Реактивность подтвержденная: человек, мышь
Валидировано для: IHC, WB
PDLIM4 Antibody (DF16000)
Источник (хозяин): кролик
Реактивность подтвержденная: человек, мышь, крыса
Валидировано для: IHC
Реактивность подтвержденная: человек, мышь, крыса
Валидировано для: IHC
ZNF251 Antibody (DF15950)
Источник (хозяин): кролик
Реактивность подтвержденная: человек
Реактивность подтвержденная: человек

