| UNIPROT | P18648 |
| Иммуноген | RPA519Po02-Recombinant Apolipoprotein A1 (APOA1) |
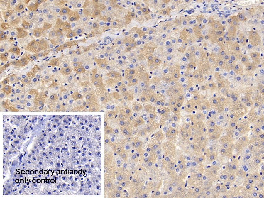
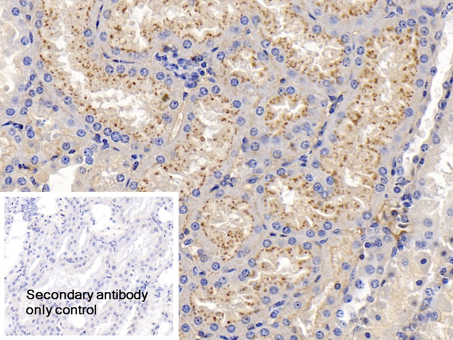
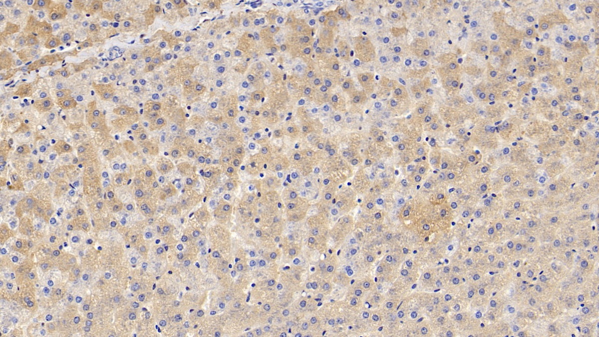
Polyclonal Antibody to Apolipoprotein A1 (APOA1) (PAA519Po02)
Реактивность подтвержденная:
свинья
Источник (хозяин):
кролик
Валидировано для:
IHC
WB
Характеристики
Техническое описание
| Русское название | PAA519Po02 Поликлональное антитело к APOA1 (свинья) <Cloud-Clone,Китай> |
| Каталожный номер | PAA519Po02 |
| Название антигена | Apolipoprotein A1 (APOA1) |
| UNIPROT | P18648 |
| Иммуноген | RPA519Po02-Recombinant Apolipoprotein A1 (APOA1) |
| Английские синонимы | Apo-A1, ApoA-1 Milano, ProapoA-I, Proapolipoprotein A-I, Truncated apolipoprotein A-I |
| Русские синонимы | Аполипопротеин A1, АпоА-I |
Реактивность подтвержденная Нужна другая реактивность? |
свинья |
| Реактивность предсказываемая | свинья |
| Источник (хозяин) | кролик |
| Клональность | поликлональное |
| Рекомбинантное | нет |
| Готовое к использованию | нет |
| Концентрация | 1 мг/мл |
| Конъюгат | По запросу: HRP, biotin, PerCP, PE, Cy3, FITC, Cy7, Cy5.5, PE-Cy5, PE-Cy7, PerCp-Cy5.5, APC, Cy5, PE-Cy3, PE-Cy5.5, APC-Cy7, Biotin-APC, FITC-Biotin, TRITC, APC-Cy5, AF488, AF594, AF405, AF555, AF700, AF647, AF750 |
| Валидировано для | IHC WB Иммуногистохимия; Вестерн-блоттинг |
| Рекомендуемые разведения | WB: 0.5-2 мкг/мл; IHC: 5-20 мкг/мл; ICC: 5-20 мкг/мл; Оптимальное разведение определяется конечным потребителем |
| Метод очистки | Антигенспецифическая аффинная хроматография с последующей аффинной хроматографией с белком А |
| Состав буфера | 0.01M PBS, pH7.4, 0.05% Proclin-300, 50% глицерин |
| Условия доставки | термобокс с аккумуляторами холода |
| Условия хранения | Сразу после получения аликвотировать и хранить при -20ºС до 24 месяцев. Для частого использования хранить при +4ºС не более 2 недель. Избегать повторения циклов замерзания/оттаивания |
| Срок хранения | 24 месяца |
| Производитель | Cloud-Clone Corp. |
| Ссылка на страницу товара на сайте производителя | http://www.cloud-clone.com/products/PAA519Po02.html |
|
Артикул
|
Наименование |
Производитель
|
|---|
|
Артикул
|
Наименование |
Производитель
|
|---|
|
Артикул
|
Наименование |
Производитель
|
|---|
|
Артикул
|
Наименование |
Производитель
|
|---|
|
Артикул
|
Наименование |
Производитель
|
|---|
|
Артикул
|
Наименование |
Производитель
|
|---|
|
Артикул
|
Наименование |
Производитель
|
|---|
|
Артикул
|
Наименование |
Производитель
|
|---|
|
Артикул
|
Наименование |
Производитель
|
|---|
|
Артикул
|
Наименование |
Производитель
|
|---|
|
Артикул
|
Наименование |
Производитель
|
|---|
|
Артикул
|
Наименование |
Производитель
|
|---|
Акции и предложения
Популярные продукты:
MBP Mouse Monoclonal Antibody (BF8010)
Источник (хозяин): мышь
Реактивность подтвержденная: мышь, крыса
Валидировано для: IHC, WB
Реактивность подтвержденная: мышь, крыса
Валидировано для: IHC, WB
Monkey Omentin ELISA kit (E09O0010)
Организм: обезьяна
Диапазон определения: 1-25 нг/мл
Чувствительность: 0.1 нг/мл
Диапазон определения: 1-25 нг/мл
Чувствительность: 0.1 нг/мл
Monkey Secreted frizzled-related protein 2(SFRP2) ELISA kit (E09S0362)
Организм: обезьяна
Mouse Bone morphogenetic protein 8B(BMP8B) ELISA kit (E03B0814)
Организм: мышь
Диапазон определения: 0.5-10 нг/мл
Чувствительность: 0.1 нг/мл
Диапазон определения: 0.5-10 нг/мл
Чувствительность: 0.1 нг/мл
Human A Disintegrin and Metalloproteinase with Thrombospondin Motifs 1(ADAMTS1) ELISA kit (E01A0928)
Организм: человек
Диапазон определения: 1-25 нг/мл
Чувствительность: 0.1 нг/мл
Диапазон определения: 1-25 нг/мл
Чувствительность: 0.1 нг/мл
Mouse TATA Box Binding Protein ELISA kit (E03T0097)
Организм: мышь

