| UNIPROT | P02651 |
| Иммуноген | RPB967Ra01-Recombinant Apolipoprotein A4 (APOA4) |
Polyclonal Antibody to Apolipoprotein A4 (APOA4) (PAB967Ra01)
Реактивность подтвержденная:
крыса
Источник (хозяин):
кролик
Валидировано для:
IHC
WB
Характеристики
Техническое описание
| Русское название | PAB967Ra01 Поликлональное антитело к APOA4 (крыса) <Cloud-Clone,Китай> |
| Каталожный номер | PAB967Ra01 |
| Название антигена | Apolipoprotein A4 (APOA4) |
| UNIPROT | P02651 |
| Иммуноген | RPB967Ra01-Recombinant Apolipoprotein A4 (APOA4) |
| Английские синонимы | ApoA-IV, ApoAIV, Apo-A4 |
Реактивность подтвержденная Нужна другая реактивность? |
крыса |
| Источник (хозяин) | кролик |
| Клональность | поликлональное |
| Рекомбинантное | нет |
| Готовое к использованию | нет |
| Концентрация | 1 мг/мл |
| Конъюгат | По запросу: HRP, biotin, PerCP, PE, Cy3, FITC, Cy7, Cy5.5, PE-Cy5, PE-Cy7, PerCp-Cy5.5, APC, Cy5, PE-Cy3, PE-Cy5.5, APC-Cy7, Biotin-APC, FITC-Biotin, TRITC, APC-Cy5, AF488, AF594, AF405, AF555, AF700, AF647, AF750 |
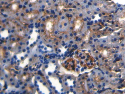
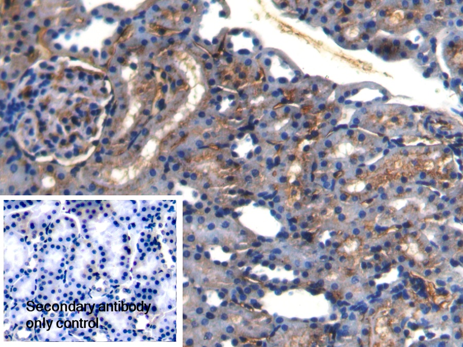
| Валидировано для | IHC WB Иммуногистохимия; Вестерн-блоттинг |
| Рекомендуемые разведения | WB: 0.5-2 мкг/мл; 1:500-2000; IHC: 5-20 мкг/мл; 1:50-200; ICC: 5-20 мкг/мл; 1:50-200; Оптимальное разведение определяется конечным потребителем |
| Метод очистки | Антигенспецифическая аффинная хроматография с последующей аффинной хроматографией с белком А |
| Состав буфера | PBS, pH7.4, 0.02% NaN3, 50% глицерин |
| Условия доставки | термобокс с аккумуляторами холода |
| Условия хранения | Сразу после получения аликвотировать и хранить при -20ºС до 24 месяцев. Для частого использования хранить при +4ºС не более 2 недель. Избегать повторения циклов замерзания/оттаивания |
| Срок хранения | 24 месяца |
| Производитель | Cloud-Clone Corp. |
| Ссылка на страницу товара на сайте производителя | http://www.cloud-clone.com/products/PAB967Ra01.html |
|
Артикул
|
Наименование |
Производитель
|
|---|
|
Артикул
|
Наименование |
Производитель
|
|---|
|
Артикул
|
Наименование |
Производитель
|
|---|
|
Артикул
|
Наименование |
Производитель
|
|---|
|
Артикул
|
Наименование |
Производитель
|
|---|
|
Артикул
|
Наименование |
Производитель
|
|---|
|
Артикул
|
Наименование |
Производитель
|
|---|
Акции и предложения
Популярные продукты:
Goat Glucosidase Alpha, Neutral C ELISA kit (E06G0582)
Организм: коза
Rat Gap Junction Protein β 1 ELISA kit (E02G0181)
Организм: крыса
Goat Ornithine Decarboxylase ELISA kit (E06O0013)
Организм: коза
Bovine Lactoperoxidase ELISA kit (E11L1211)
Организм: корова
Recombinant Human CLC Protein(GST Tag) (PDEH100645)
Источник (хозяин): E.coli
Организм: человек
Фрагмент: Ser2-Arg142
Теги: N-GST
Биоактивность: нет
Организм: человек
Фрагмент: Ser2-Arg142
Теги: N-GST
Биоактивность: нет
Recombinant Human Cytochrome b5/CYB5A Protein (His Tag) (PKSH032334)
Источник (хозяин): E.coli
Организм: человек
Фрагмент: Met 1-Asp134
Теги: N-His
Биоактивность: нет
Организм: человек
Фрагмент: Met 1-Asp134
Теги: N-His
Биоактивность: нет

