| UNIPROT | Q6Q788 |
| Иммуноген | RPB997Hu01-Recombinant Apolipoprotein A5 (APOA5) |
Polyclonal Antibody to Apolipoprotein A5 (APOA5) (PAB997Hu01)
Реактивность подтвержденная:
человек
Источник (хозяин):
кролик
Валидировано для:
IHC
WB
Характеристики
Техническое описание
| Русское название | PAB997Hu01 Поликлональное антитело к APOA5 (человек) <Cloud-Clone,Китай> |
| Каталожный номер | PAB997Hu01 |
| Название антигена | Apolipoprotein A5 (APOA5) |
| UNIPROT | Q6Q788 |
| Иммуноген | RPB997Hu01-Recombinant Apolipoprotein A5 (APOA5) |
| Английские синонимы | Apo-A5, APOA-V, APOAV, RAP3, Regeneration-associated protein 3 |
| Русские синонимы | АпоА-V |
Реактивность подтвержденная Нужна другая реактивность? |
человек |
| Реактивность предсказываемая | крыса, морская свинка |
| Источник (хозяин) | кролик |
| Клональность | поликлональное |
| Рекомбинантное | нет |
| Готовое к использованию | нет |
| Концентрация | 0.5 мг/мл |
| Конъюгат | По запросу: HRP, biotin, PerCP, PE, Cy3, FITC, Cy7, Cy5.5, PE-Cy5, PE-Cy7, PerCp-Cy5.5, APC, Cy5, PE-Cy3, PE-Cy5.5, APC-Cy7, Biotin-APC, FITC-Biotin, TRITC, APC-Cy5, AF488, AF594, AF405, AF555, AF700, AF647, AF750 |
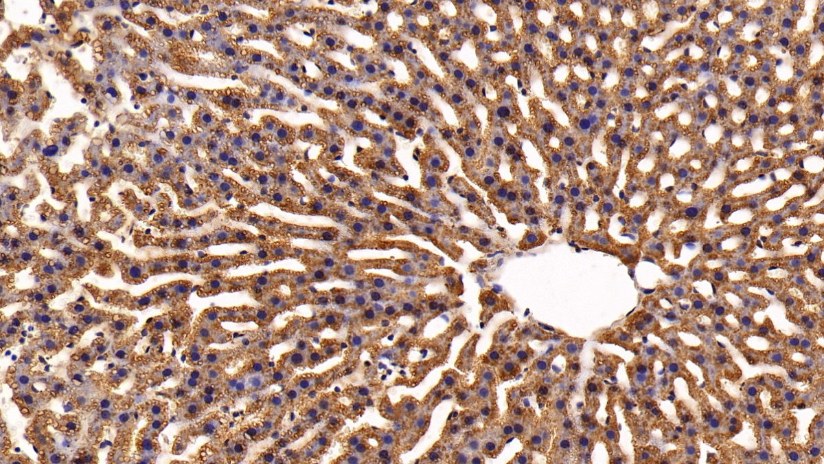
| Валидировано для | IHC WB Иммуногистохимия; Вестерн-блоттинг |
| Рекомендуемые разведения | WB: 0.01-2 мкг/мл; IHC: 5-20 мкг/мл; ICC: 5-20 мкг/мл; Оптимальное разведение определяется конечным потребителем |
| Метод очистки | Антигенспецифическая аффинная хроматография с последующей аффинной хроматографией с белком А |
| Состав буфера | PBS, pH7.4, 0.02% NaN3, 50% глицерин |
| Условия доставки | термобокс с аккумуляторами холода |
| Условия хранения | Сразу после получения аликвотировать и хранить при -20ºС до 24 месяцев. Для частого использования хранить при +4ºС не более 2 недель. Избегать повторения циклов замерзания/оттаивания |
| Срок хранения | 24 месяца |
| Производитель | Cloud-Clone Corp. |
| Ссылка на страницу товара на сайте производителя | http://www.cloud-clone.com/products/PAB997Hu01.html |
|
Артикул
|
Наименование |
Производитель
|
|---|
|
Артикул
|
Наименование |
Производитель
|
|---|
|
Артикул
|
Наименование |
Производитель
|
|---|
|
Артикул
|
Наименование |
Производитель
|
|---|
|
Артикул
|
Наименование |
Производитель
|
|---|
|
Артикул
|
Наименование |
Производитель
|
|---|
Акции и предложения
Популярные продукты:
Anti-Stanozolol/STZ Monoclonal Antibody (1A474) (MGN45604)
Источник (хозяин): мышь
Реактивность подтвержденная: для всех
Валидировано для: ELISA
Реактивность подтвержденная: для всех
Валидировано для: ELISA
Chicken Glycine N methyltransferase(GNMT) ELISA kit (E12G0435)
Организм: курица
Canine cAMP Specific Phosphodiesterase 4B ELISA kit (E08P1051)
Организм: собака
Sheep 60S ribosomal protein L8(RPL8) ELISA kit (E14R0469)
Организм: овца
Sheep Myosin VIIa(MYO7A) ELISA kit (E14M0422)
Организм: овца

