| UNIPROT | C1KBZ5 |
| Иммуноген | RPB997Po02-Recombinant Apolipoprotein A5 (APOA5) |
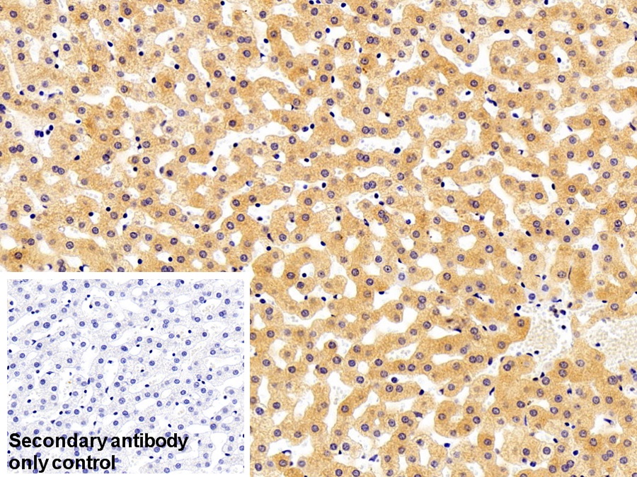
Polyclonal Antibody to Apolipoprotein A5 (APOA5) (PAB997Po02)
Реактивность подтвержденная:
свинья
Источник (хозяин):
кролик
Валидировано для:
IHC
Характеристики
Техническое описание
| Русское название | PAB997Po02 Поликлональное антитело к APOA5 (свинья) <Cloud-Clone,Китай> |
| Каталожный номер | PAB997Po02 |
| Название антигена | Apolipoprotein A5 (APOA5) |
| UNIPROT | C1KBZ5 |
| Иммуноген | RPB997Po02-Recombinant Apolipoprotein A5 (APOA5) |
| Английские синонимы | Apo-A5, APOA-V, APOAV, RAP3, Regeneration-associated protein 3 |
| Русские синонимы | АпоА-V |
Реактивность подтвержденная Нужна другая реактивность? |
свинья |
| Источник (хозяин) | кролик |
| Клональность | поликлональное |
| Рекомбинантное | нет |
| Готовое к использованию | нет |
| Концентрация | 500 мкг/мл |
| Конъюгат | По запросу: HRP, biotin, PerCP, PE, Cy3, FITC, Cy7, Cy5.5, PE-Cy5, PE-Cy7, PerCp-Cy5.5, APC, Cy5, PE-Cy3, PE-Cy5.5, APC-Cy7, Biotin-APC, FITC-Biotin, TRITC, APC-Cy5, AF488, AF594, AF405, AF555, AF700, AF647, AF750 |
| Валидировано для | IHC Иммуногистохимия |
| Рекомендуемые разведения | WB: 0.2-2 мкг/мл; 1:250-2500; IHC: 5-20 мкг/мл; 1:25-100; ICC: 5-20 мкг/мл; 1:25-100; Оптимальное разведение определяется конечным потребителем |
| Метод очистки | Антигенспецифическая аффинная хроматография с последующей аффинной хроматографией с белком А |
| Состав буфера | PBS, pH7.4, 0.02% NaN3, 50% глицерин |
| Условия доставки | термобокс с аккумуляторами холода |
| Условия хранения | Сразу после получения аликвотировать и хранить при -20ºС до 24 месяцев. Для частого использования хранить при +4ºС не более 2 недель. Избегать повторения циклов замерзания/оттаивания |
| Срок хранения | 24 месяца |
| Производитель | Cloud-Clone Corp. |
| Ссылка на страницу товара на сайте производителя | http://www.cloud-clone.com/products/PAB997Po02.html |
|
Артикул
|
Наименование |
Производитель
|
|---|
|
Артикул
|
Наименование |
Производитель
|
|---|
|
Артикул
|
Наименование |
Производитель
|
|---|
|
Артикул
|
Наименование |
Производитель
|
|---|
|
Артикул
|
Наименование |
Производитель
|
|---|
|
Артикул
|
Наименование |
Производитель
|
|---|
Акции и предложения
Популярные продукты:
Recombinant Nodal Homolog (NODAL) (RPK310Mu01)
Источник (хозяин): E.coli
Организм: мышь
Фрагмент: His245-Leu354
Теги: N-концевой His-Tag
Биоактивность: нет
Организм: мышь
Фрагмент: His245-Leu354
Теги: N-концевой His-Tag
Биоактивность: нет
Anti-Human Hepcidin Antibody (SAb2363) (RHF71902)
Источник (хозяин): мышь
Реактивность подтвержденная: человек
Валидировано для: ELISA
Реактивность подтвержденная: человек
Валидировано для: ELISA
Human Zinc finger protein GLI1(GLI1) ELISA kit (E01Z0009)
Организм: человек
Диапазон определения: 0.5-10 нг/мл
Чувствительность: 0.1 нг/мл
Диапазон определения: 0.5-10 нг/мл
Чувствительность: 0.1 нг/мл
Chicken cAMP Specific Phosphodiesterase 4B ELISA kit (E12P1051)
Организм: курица
Bovine cAMP Specific Phosphodiesterase 4B ELISA kit (E11P1051)
Организм: корова

