| UNIPROT | P04114 |
| Иммуноген | RPB883Hu02-Recombinant Apolipoprotein B48 (APOB48) |
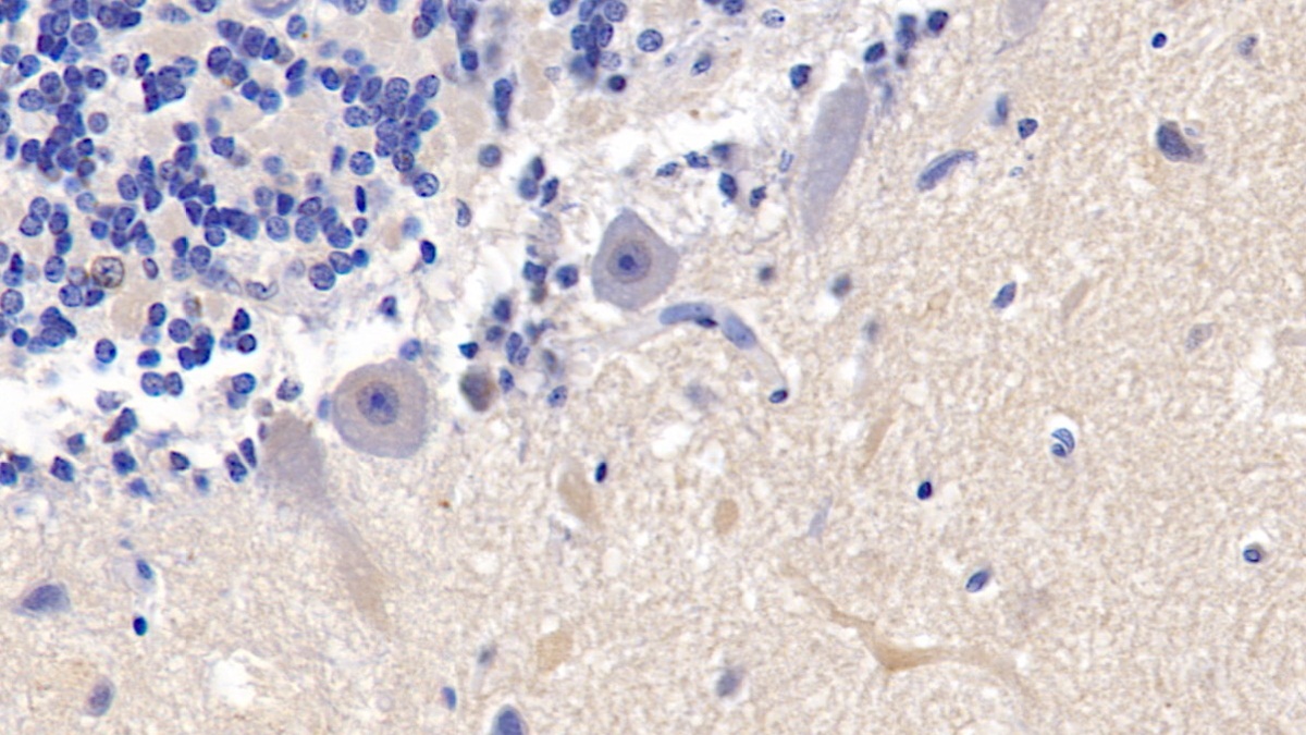
Polyclonal Antibody to Apolipoprotein B48 (APOB48) (PAB883Hu01)
Реактивность подтвержденная:
человек
Источник (хозяин):
кролик
Валидировано для:
IHC
WB
Характеристики
Техническое описание
| Русское название | PAB883Hu01 Поликлональное антитело к APOB48 (человек) <Cloud-Clone,Китай> |
| Каталожный номер | PAB883Hu01 |
| Название антигена | Apolipoprotein B48 (APOB48) |
| UNIPROT | P04114 |
| Иммуноген | RPB883Hu02-Recombinant Apolipoprotein B48 (APOB48) |
| Английские синонимы | Apo-B48 |
| Русские синонимы | АпоB-48 |
Реактивность подтвержденная Нужна другая реактивность? |
человек |
| Реактивность предсказываемая | свинья |
| Источник (хозяин) | кролик |
| Клональность | поликлональное |
| Рекомбинантное | нет |
| Готовое к использованию | нет |
| Концентрация | 500 мкг/мл |
| Конъюгат | По запросу: HRP, biotin, PerCP, PE, Cy3, FITC, Cy7, Cy5.5, PE-Cy5, PE-Cy7, PerCp-Cy5.5, APC, Cy5, PE-Cy3, PE-Cy5.5, APC-Cy7, Biotin-APC, FITC-Biotin, TRITC, APC-Cy5, AF488, AF594, AF405, AF555, AF700, AF647, AF750 |
| Валидировано для | IHC WB Иммуногистохимия; Вестерн-блоттинг |
| Рекомендуемые разведения | WB: 0.5-3 мкг/мл; IHC: 5-30 мкг/мл; ICC: 5-30 мкг/мл; Оптимальное разведение определяется конечным потребителем |
| Метод очистки | Антигенспецифическая аффинная хроматография с последующей аффинной хроматографией с белком А |
| Состав буфера | 0.01M PBS, pH7.4, 0.05% Proclin-300, 50% глицерин |
| Условия доставки | термобокс с аккумуляторами холода |
| Условия хранения | Сразу после получения аликвотировать и хранить при -20ºС до 24 месяцев. Для частого использования хранить при +4ºС не более 2 недель. Избегать повторения циклов замерзания/оттаивания |
| Срок хранения | 24 месяца |
| Производитель | Cloud-Clone Corp. |
| Ссылка на страницу товара на сайте производителя | http://www.cloud-clone.com/products/PAB883Hu01.html |
|
Артикул
|
Наименование |
Производитель
|
|---|
Акции и предложения
Популярные продукты:
ELISA Kit DIY Materials for Apolipoprotein B48 (APOB48) (KSB883Hu01)
Организм: человек
Диапазон определения: 2.4-150 нг/мл
Чувствительность: 1.1 нг/мл
Диапазон определения: 2.4-150 нг/мл
Чувствительность: 1.1 нг/мл
Rat Stromelysin-2 ELISA kit (E02S0299)
Организм: крыса
Anti-Human C5 Nanobody (SAA1365) (RHB90002)
Источник (хозяин): альпака
Реактивность подтвержденная: человек
Валидировано для: BIF, ELISA
Реактивность подтвержденная: человек
Валидировано для: BIF, ELISA
Anti-Plasminogen (Plg) Polyclonal Antibody (FAB236Hu01)
Источник (хозяин): кролик
Реактивность подтвержденная: человек
Валидировано для: FCM
Реактивность подтвержденная: человек
Валидировано для: FCM
ELISA Kit DIY Materials for Myosin Heavy Chain 4, Skeletal Muscle (MYH4) (KSD416Hu01)
Организм: человек
Диапазон определения: 0.312-20 нг/мл
Чувствительность: 0.118 нг/мл
Диапазон определения: 0.312-20 нг/мл
Чувствительность: 0.118 нг/мл
ELISA Kit DIY Materials for Beta-1,3-Glucuronyltransferase 1 (b3GAT1) (KSB334Hu01)
Организм: человек
Диапазон определения: 0.156-10 нг/мл
Чувствительность: 0.057 нг/мл
Диапазон определения: 0.156-10 нг/мл
Чувствительность: 0.057 нг/мл

