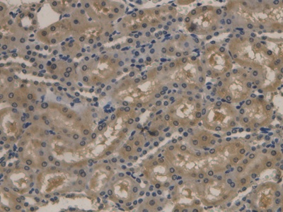
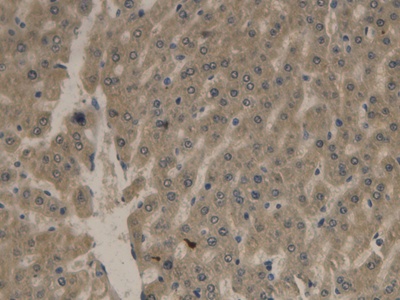
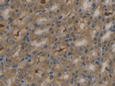
Polyclonal Antibody to Apolipoprotein B (APOB) (PAC003Ra01)
Реактивность подтвержденная:
крыса
Источник (хозяин):
кролик
Валидировано для:
IHC
WB
Характеристики
Техническое описание
| Русское название | PAC003Ra01 Поликлональное антитело к APOB (крыса) <Cloud-Clone,Китай> |
| Каталожный номер | PAC003Ra01 |
| Название антигена | Apolipoprotein B (APOB) |
| Иммуноген | RPC003Ra01-Recombinant Apolipoprotein B (APOB) |
| Английские синонимы | Apo-B, FLDB, Apo B-100, Apo B-48 |
| Русские синонимы | АпоB |
Реактивность подтвержденная Нужна другая реактивность? |
крыса |
| Реактивность предсказываемая | человек |
| Источник (хозяин) | кролик |
| Клональность | поликлональное |
| Рекомбинантное | нет |
| Готовое к использованию | нет |
| Концентрация | 0.5 мг/мл |
| Конъюгат | По запросу: HRP, biotin, PerCP, PE, Cy3, FITC, Cy7, Cy5.5, PE-Cy5, PE-Cy7, PerCp-Cy5.5, APC, Cy5, PE-Cy3, PE-Cy5.5, APC-Cy7, Biotin-APC, FITC-Biotin, TRITC, APC-Cy5, AF488, AF594, AF405, AF555, AF700, AF647, AF750 |
| Валидировано для | IHC WB Иммуногистохимия; Вестерн-блоттинг |
| Рекомендуемые разведения | WB: 0.01-3 мкг/мл; IHC: 5-30 мкг/мл; Оптимальное разведение определяется конечным потребителем |
| Метод очистки | Антигенспецифическая аффинная хроматография с последующей аффинной хроматографией с белком А |
| Состав буфера | 0.01M PBS, pH7.4, 0.05% Proclin-300, 50% глицерин |
| Условия доставки | термобокс с аккумуляторами холода |
| Условия хранения | Сразу после получения аликвотировать и хранить при -20ºС до 24 месяцев. Для частого использования хранить при +4ºС не более 2 недель. Избегать повторения циклов замерзания/оттаивания |
| Срок хранения | 24 месяца |
| Производитель | Cloud-Clone Corp. |
| Ссылка на страницу товара на сайте производителя | http://www.cloud-clone.com/products/PAC003Ra01.html |
|
Артикул
|
Наименование |
Производитель
|
|---|
|
Артикул
|
Наименование |
Производитель
|
|---|
|
Артикул
|
Наименование |
Производитель
|
|---|
|
Артикул
|
Наименование |
Производитель
|
|---|
|
Артикул
|
Наименование |
Производитель
|
|---|
Акции и предложения
Популярные продукты:
Anti-HLA-A02:01-peptide (EBV-LMP2A: CLGGLLTMV) Complex Antibody (MAB243) (RHM02505)
Источник (хозяин): мышь
Реактивность подтвержденная: человек
Валидировано для: ELISA, FCM, ICC, IF, IHC, WB
Реактивность подтвержденная: человек
Валидировано для: ELISA, FCM, ICC, IF, IHC, WB
Sheep Alstrom syndrome protein 1(ALMS1) ELISA kit (E14A1397)
Организм: овца
Mouse Sarcalumenin(SRL) ELISA kit (E03S0402)
Организм: мышь
Bovine Cohesin subunit SA 2(STAG2) ELISA kit (E11C2451)
Организм: корова
Chicken Stathmin 3(STMN3) ELISA kit (E12S0415)
Организм: курица
Rabbit Anoctamin 5(ANO5) ELISA kit (E04A1531)
Организм: кролик

