| UNIPROT | P02654 |
| Иммуноген | RPA252Hu01-Recombinant Apolipoprotein C1 (APOC1) |
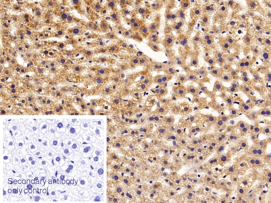
Polyclonal Antibody to Apolipoprotein C1 (APOC1) (PAA252Hu01)
Реактивность подтвержденная:
человек
Источник (хозяин):
кролик
Валидировано для:
FCM
IHC
WB
Характеристики
Техническое описание
| Русское название | PAA252Hu01 Поликлональное антитело к APOC1 (человек) <Cloud-Clone,Китай> |
| Каталожный номер | PAA252Hu01 |
| Название антигена | Apolipoprotein C1 (APOC1) |
| UNIPROT | P02654 |
| Иммуноген | RPA252Hu01-Recombinant Apolipoprotein C1 (APOC1) |
| Английские синонимы | Apo-C1, Truncated apolipoprotein C-I |
| Русские синонимы | АпоС-I, апоC1 |
Реактивность подтвержденная Нужна другая реактивность? |
человек |
| Реактивность предсказываемая | мышь |
| Источник (хозяин) | кролик |
| Клональность | поликлональное |
| Рекомбинантное | нет |
| Готовое к использованию | нет |
| Концентрация | 0.5 мг/мл |
| Конъюгат | По запросу: HRP, biotin, PerCP, PE, Cy3, FITC, Cy7, Cy5.5, PE-Cy5, PE-Cy7, PerCp-Cy5.5, APC, Cy5, PE-Cy3, PE-Cy5.5, APC-Cy7, Biotin-APC, FITC-Biotin, TRITC, APC-Cy5, AF488, AF594, AF405, AF555, AF700, AF647, AF750 |
| Валидировано для | FCM IHC WB Проточная цитометрия; Иммуногистохимия; Вестерн-блоттинг |
| Рекомендуемые разведения | WB: 0.01-3 мкг/мл; IHC: 5-30 мкг/мл; ICC: 5-30 мкг/мл; Оптимальное разведение определяется конечным потребителем |
| Метод очистки | Антигенспецифическая аффинная хроматография с последующей аффинной хроматографией с белком А |
| Состав буфера | 0.01M PBS, pH7.4, 0.05% Proclin-300, 50% глицерин |
| Условия доставки | термобокс с аккумуляторами холода |
| Условия хранения | Сразу после получения аликвотировать и хранить при -20ºС до 24 месяцев. Для частого использования хранить при +4ºС не более 2 недель. Избегать повторения циклов замерзания/оттаивания |
| Срок хранения | 24 месяца |
| Производитель | Cloud-Clone Corp. |
| Ссылка на страницу товара на сайте производителя | http://www.cloud-clone.com/products/PAA252Hu01.html |
|
Артикул
|
Наименование |
Производитель
|
|---|
|
Артикул
|
Наименование |
Производитель
|
|---|
|
Артикул
|
Наименование |
Производитель
|
|---|
|
Артикул
|
Наименование |
Производитель
|
|---|
|
Артикул
|
Наименование |
Производитель
|
|---|
|
Артикул
|
Наименование |
Производитель
|
|---|
|
Артикул
|
Наименование |
Производитель
|
|---|
Акции и предложения
Популярные продукты:
ELISA Kit DIY Materials for Microphthalmia Associated Transcription Factor (MITF) (KSH645Hu01)
Организм: человек
Диапазон определения: 0.156-10 нг/мл
Чувствительность: 0.063 нг/мл
Диапазон определения: 0.156-10 нг/мл
Чувствительность: 0.063 нг/мл
Mouse Cystatin SN(CST1) ELISA kit (E03C2119)
Организм: мышь
Rabbit Mesothelin ELISA kit (E04M0519)
Организм: кролик
Chicken Osteocrin ELISA kit (E12O0021)
Организм: курица
Goat Osteocrin ELISA kit (E06O0021)
Организм: коза
Sheep Arylsulfatase E(ARSE) ELISA kit (E14A1686)
Организм: овца

