Ваш браузер устарел и не обеспечивает полноценную и безопасную работу с сайтом. Пожалуйста обновите браузер чтобы улучшить взаимодействие с сайтом.
Мы обновили сайт, попробуйте новые функции в личном кабинете!

+7 (495) 798-02-48

Polyclonal Antibody to Apolipoprotein E (APOE) (PAA704Hu01)

Реактивность подтвержденная: человек
Источник (хозяин): кролик
Валидировано для:
IHC
WB
8997
8997
Western Blot; Sample: Human Liver lysate; Primary Ab: 2μg/mL Rabbit Anti-Human APOE Antibody Second Ab: 0.2μg/mL HRP-Linked Caprine Anti-Rabbit IgG Polyclonal Antibody (Catalog: SAA544Rb19)
12911
12911
Western Blot; Sample: Human Serum; Primary Ab: 2μg/mL Rabbit Anti-Human APOE Antibody Second Ab: 0.2μg/mL HRP-Linked Caprine Anti-Rabbit IgG Polyclonal Antibody (Catalog: SAA544Rb19)
14948
14948
Western Blot; Sample: Mouse Cerebrum lysate; Primary Ab: 2μg/ml Rabbit Anti-Human APOE Antibody Second Ab: 0.2μg/mL HRP-Linked Caprine Anti-Rabbit IgG Polyclonal Antibody (Catalog: SAA544Rb19)
14949
14949
Western Blot; Sample: Mouse Lung lysate; ;Primary Ab: 2μg/ml Rabbit Anti-Human APOE Antibody ;Second Ab: 0.2μg/mL HRP-Linked Caprine Anti-Rabbit IgG Polyclonal Antibody ;(Catalog: SAA544Rb19)
14950
14950
Western Blot; Sample: Mouse Serum; Primary Ab: 2μg/ml Rabbit Anti-Human APOE Antibody Second Ab: 0.2μg/mL HRP-Linked Caprine Anti-Rabbit IgG Polyclonal Antibody (Catalog: SAA544Rb19)
21462
21462
DAB staining on IHC-P; Samples: Human Kidney Tissue; Primary Ab: 20μg/ml Rabbit Anti-Human APOE Antibody Second Ab: 2μg/mL HRP-Linked Caprine Anti-Rabbit IgG Polyclonal Antibody (Catalog: SAA544Rb19)
21463
21463
DAB staining on IHC-P; Samples: Human Cerebrum Tissue; Primary Ab: 20μg/ml Rabbit Anti-Human APOE Antibody Second Ab: 2μg/mL HRP-Linked Caprine Anti-Rabbit IgG Polyclonal Antibody (Catalog: SAA544Rb19)
29536
29536
DAB staining on IHC-P; Sample: Human Cerebrum Tissue Primary Ab: 20μg/ml Rabbit Anti-Human APOE Antibody Control: Used PBS instead of primary antibody Second Ab: 2μg/ml HRP-Linked Caprine Anti-Rabbit IgG Polyclonal Antibody (Catalog: SAA544Rb19)
29540
29540
DAB staining on IHC-P; Sample: Human Liver Tissue Primary Ab: 20μg/ml Rabbit Anti-Human APOE Antibody Control: Used PBS instead of primary antibody Second Ab: 2μg/ml HRP-Linked Caprine Anti-Rabbit IgG Polyclonal Antibody (Catalog: SAA544Rb19)
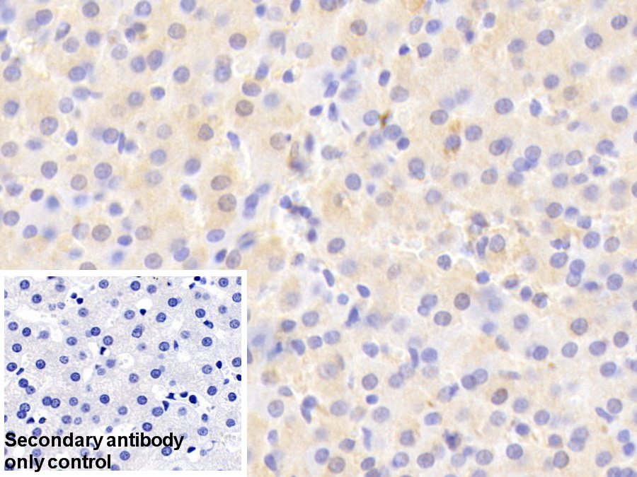
29544
29544
DAB staining on IHC-P; Sample: Human Kidney Tissue Primary Ab: 20μg/ml Rabbit Anti-Human APOE Antibody Control: Used PBS instead of primary antibody Second Ab: 2μg/ml HRP-Linked Caprine Anti-Rabbit IgG Polyclonal Antibody (Catalog: SAA544Rb19)
36090
36090
Figure. Western Blot; Sample: Recombinant APOE, Human.
8997
12911
14948
14949
14950
21462
21463
29536
29540
29544
36090
Ближайшая поставка
29.05.26
Характеристики
Техническое описание
Русское название PAA704Hu01 Поликлональное антитело к APOE (человек) <Cloud-Clone,Китай>
Каталожный номер PAA704Hu01
Название антигена Apolipoprotein E (APOE)
UNIPROT P02649
Иммуноген RPA704Hu01-Recombinant Apolipoprotein E (APOE)
Английские синонимы Apo-E, AD2, Apoprotein, Alzheimer Disease 2(E4-Associated,Late Onset
Русские синонимы АпоЕ
Реактивность подтвержденная
Нужна другая реактивность?
человек
Реактивность предсказываемая мышь, свинья
Источник (хозяин) кролик
Клональность поликлональное
Рекомбинантное нет
Готовое к использованию нет
Концентрация 0.24 мг/мл
Конъюгат По запросу: HRP, biotin, PerCP, PE, Cy3, FITC, Cy7, Cy5.5, PE-Cy5, PE-Cy7, PerCp-Cy5.5, APC, Cy5, PE-Cy3, PE-Cy5.5, APC-Cy7, Biotin-APC, FITC-Biotin, TRITC, APC-Cy5, AF488, AF594, AF405, AF555, AF700, AF647, AF750
Валидировано для
IHC
WB
Иммуногистохимия; Вестерн-блоттинг
Рекомендуемые разведения WB: 0.5-2 мкг/мл; IHC: 5-20 мкг/мл; ICC: 5-20 мкг/мл; Оптимальное разведение определяется конечным потребителем
Метод очистки Антигенспецифическая аффинная хроматография с последующей аффинной хроматографией с белком А
Состав буфера PBS, pH7.4, 0.02% NaN3, 50% глицерин
Условия доставки термобокс с аккумуляторами холода
Условия хранения Сразу после получения аликвотировать и хранить при -20ºС до 24 месяцев. Для частого использования хранить при +4ºС не более 2 недель. Избегать повторения циклов замерзания/оттаивания
Срок хранения 24 месяца
Производитель Cloud-Clone Corp.
Ссылка на страницу товара на сайте производителя http://www.cloud-clone.com/products/PAA704Hu01.html

Назначение

поликлональное антитело от производителя Cloud-Clone Corp. к Apolipoprotein E (APOE) источник — кролик предназначено для детекции целевого антигена в биологических образцах. Продукт характеризуется подтвержденной реактивностью к человек.

Преимущества

  • Высокая специфичность и аффинность
  • Концентрация: 0.24 мг/мл
  • Оптимизированный состав буфера: PBS, pH7.4, 0.02% NaN3, 50% глицерин
  • Стабильность: 24 месяца

Применение в исследованиях

Антитело валидировано для методов: IHC, WB. Подходит для научных исследований в области иммунологии, клеточной биологии и молекулярной диагностики.

Условия хранения

Срок годности: 24 месяца. Сразу после получения аликвотировать и хранить при -20ºС до 24 месяцев. Для частого использования хранить при +4ºС не более 2 недель. Избегать повторения циклов замерзания/оттаивания. Рекомендуется соблюдать температурный режим при транспортировке и хранении.
Артикул
Наименование
Производитель
Артикул
Наименование
Производитель
Артикул
Наименование
Производитель
Артикул
Наименование
Производитель
Артикул
Наименование
Производитель
Артикул
Наименование
Производитель
Артикул
Наименование
Производитель

С нами успешно сотрудничают:

Московский государственный университет им. Ломоносова
Московский государственный университет им. Ломоносова
Московский государственный университет им. Ломоносова
МФТИ
МФТИ
МФТИ
Центр вирусологии и биотехнологии „Вектор“
Центр вирусологии и биотехнологии „Вектор“
Центр вирусологии и биотехнологии „Вектор“
Институт физиологии имени Павлова
Институт физиологии имени Павлова
Институт физиологии имени Павлова
Сеченовский университет
Сеченовский университет
Сеченовский университет
Исследовательский центр им. Алмазова
Исследовательский центр им. Алмазова
Исследовательский центр им. Алмазова
BIOCAD
BIOCAD
BIOCAD
Университет Сириус
Университет Сириус
Университет Сириус
Р-Фарм
Р-Фарм
Р-Фарм
Сколтех
Сколтех
Сколтех
Курчатовский институт
Курчатовский институт
Курчатовский институт
ИБХ РАН
ИБХ РАН
ИБХ РАН
НИЦ эпидемиологии и микробиологии им. Н.Ф.Гамалеи
НИЦ эпидемиологии и микробиологии им. Н.Ф.Гамалеи
НИЦ эпидемиологии и микробиологии им. Н.Ф.Гамалеи
Томский НИМЦ
Томский НИМЦ
Томский НИМЦ
ФИЦ ВИЖ имени Л.К. Эрнста
ФИЦ ВИЖ имени Л.К. Эрнста
ФИЦ ВИЖ имени Л.К. Эрнста
Фонд "Наука - Детям"
Фонд "Наука - Детям"
Фонд "Наука - Детям"
Институт цитологии и генетики СО РАН
Институт цитологии и генетики СО РАН
Институт цитологии и генетики СО РАН
Генериум
Генериум
Генериум

Новости

0
0
0