| UNIPROT | P33703 |
| Иммуноген | RPA310Ca01-Recombinant Apolipoprotein H (APOH) |
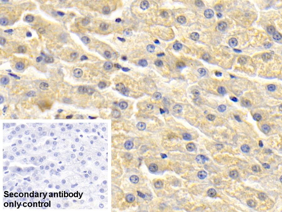
Polyclonal Antibody to Apolipoprotein H (APOH) (PAA310Ca01)
Реактивность подтвержденная:
собака
Источник (хозяин):
кролик
Валидировано для:
IHC
WB
Характеристики
Техническое описание
| Русское название | PAA310Ca01 Поликлональное антитело к APOH (собака) <Cloud-Clone,Китай> |
| Каталожный номер | PAA310Ca01 |
| Название антигена | Apolipoprotein H (APOH) |
| UNIPROT | P33703 |
| Иммуноген | RPA310Ca01-Recombinant Apolipoprotein H (APOH) |
| Английские синонимы | Apo-H, B2G1, BG, B2-GP1, B2GP1, Previously, Beta 2 Glycoprotein 1, APC inhibitor, Activated protein C-binding protein, Anticardiolipin cofactor, Beta(2)GPI |
| Русские синонимы | Бета-2-гликопротеин I, β2-гликопротеин I |
Реактивность подтвержденная Нужна другая реактивность? |
собака |
| Реактивность предсказываемая | человек |
| Источник (хозяин) | кролик |
| Клональность | поликлональное |
| Рекомбинантное | нет |
| Готовое к использованию | нет |
| Концентрация | 500 мкг/мл |
| Конъюгат | По запросу: HRP, biotin, PerCP, PE, Cy3, FITC, Cy7, Cy5.5, PE-Cy5, PE-Cy7, PerCp-Cy5.5, APC, Cy5, PE-Cy3, PE-Cy5.5, APC-Cy7, Biotin-APC, FITC-Biotin, TRITC, APC-Cy5, AF488, AF594, AF405, AF555, AF700, AF647, AF750 |
| Валидировано для | IHC WB Иммуногистохимия; Вестерн-блоттинг |
| Рекомендуемые разведения | WB: 0.5-2 мкг/мл; ICC (фиксация формалином): 5-20 мкг/мл; IHC (замороженные срезы): 5-20 мкг/мл; IHC (парафиновые срезы): 5-20 мкг/мл; ELISA: 0.05-2 мкг/мл; Оптимальное разведение определяется конечным потребителем |
| Метод очистки | Антигенспецифическая аффинная хроматография с последующей аффинной хроматографией с белком А |
| Состав буфера | PBS, pH7.4, 0.02% NaN3, 50% глицерин |
| Условия доставки | термобокс с аккумуляторами холода |
| Условия хранения | Сразу после получения аликвотировать и хранить при -20ºС до 24 месяцев. Для частого использования хранить при +4ºС не более 2 недель. Избегать повторения циклов замерзания/оттаивания |
| Срок хранения | 24 месяца |
| Производитель | Cloud-Clone Corp. |
| Ссылка на страницу товара на сайте производителя | http://www.cloud-clone.com/products/PAA310Ca01.html |
|
Артикул
|
Наименование |
Производитель
|
|---|
|
Артикул
|
Наименование |
Производитель
|
|---|
|
Артикул
|
Наименование |
Производитель
|
|---|
|
Артикул
|
Наименование |
Производитель
|
|---|
|
Артикул
|
Наименование |
Производитель
|
|---|
|
Артикул
|
Наименование |
Производитель
|
|---|
Акции и предложения
Популярные продукты:
Human Adenosine receptor A2a(ADORA2A) ELISA kit (E01A1280)
Организм: человек
Диапазон определения: 2.5-50 нг/мл
Чувствительность: 0.1 нг/мл
Диапазон определения: 2.5-50 нг/мл
Чувствительность: 0.1 нг/мл
Human Tropomyosin β chain(TPM2) ELISA kit (E01T0729)
Организм: человек
Диапазон определения: 50-1000 пг/мл
Чувствительность: 1 пг/мл
Диапазон определения: 50-1000 пг/мл
Чувствительность: 1 пг/мл
Rat Kruppel Like Factor 17 ELISA kit (E02K0031)
Организм: крыса
Rat Outer dense fiber protein 1(ODF1) ELISA kit (E02O0741)
Организм: крыса
Rabbit Doublecortin ELISA kit (E04D0148)
Организм: кролик

