| UNIPROT | P02749 |
| Иммуноген | RPA310Hu01-Recombinant Apolipoprotein H (APOH) |
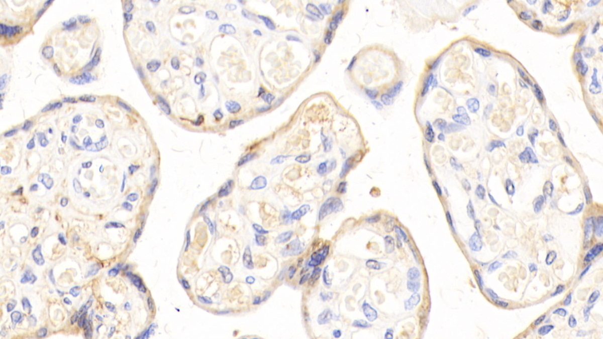
Polyclonal Antibody to Apolipoprotein H (APOH) (PAA310Hu01)
Реактивность подтвержденная:
человек
Источник (хозяин):
кролик
Валидировано для:
FCM
IHC
WB
Характеристики
Публикации
Техническое описание
| Русское название | PAA310Hu01 Поликлональное антитело к APOH (человек) <Cloud-Clone,Китай> |
| Каталожный номер | PAA310Hu01 |
| Название антигена | Apolipoprotein H (APOH) |
| UNIPROT | P02749 |
| Иммуноген | RPA310Hu01-Recombinant Apolipoprotein H (APOH) |
| Английские синонимы | Apo-H, B2G1, BG, B2-GP1, B2GP1, Previously, Beta 2 Glycoprotein 1, APC inhibitor, Activated protein C-binding protein, Anticardiolipin cofactor, Beta(2)GPI |
| Русские синонимы | Бета-2-гликопротеин I, β2-гликопротеин I |
Реактивность подтвержденная Нужна другая реактивность? |
человек |
| Реактивность предсказываемая | свинья |
| Источник (хозяин) | кролик |
| Клональность | поликлональное |
| Рекомбинантное | нет |
| Готовое к использованию | нет |
| Концентрация | 500 мкг/мл |
| Конъюгат | По запросу: HRP, biotin, PerCP, PE, Cy3, FITC, Cy7, Cy5.5, PE-Cy5, PE-Cy7, PerCp-Cy5.5, APC, Cy5, PE-Cy3, PE-Cy5.5, APC-Cy7, Biotin-APC, FITC-Biotin, TRITC, APC-Cy5, AF488, AF594, AF405, AF555, AF700, AF647, AF750 |
| Валидировано для | FCM IHC WB Проточная цитометрия; Иммуногистохимия; Вестерн-блоттинг |
| Рекомендуемые разведения | WB: 0.5-2 мкг/мл; IHC: 5-20 мкг/мл; ICC: 5-20 мкг/мл; FCM: 20 мкг/мл; Оптимальное разведение определяется конечным потребителем |
| Метод очистки | Антигенспецифическая аффинная хроматография с последующей аффинной хроматографией с белком А |
| Состав буфера | 0.01M PBS, pH7.4, 0.05% Proclin-300, 50% глицерин |
| Условия доставки | термобокс с аккумуляторами холода |
| Условия хранения | Сразу после получения аликвотировать и хранить при -20ºС до 24 месяцев. Для частого использования хранить при +4ºС не более 2 недель. Избегать повторения циклов замерзания/оттаивания |
| Срок хранения | 24 месяца |
| Производитель | Cloud-Clone Corp. |
| Ссылка на страницу товара на сайте производителя | http://www.cloud-clone.com/products/PAA310Hu01.html |
|
Артикул
|
Наименование |
Производитель
|
|---|
|
Артикул
|
Наименование |
Производитель
|
|---|
|
Артикул
|
Наименование |
Производитель
|
|---|
|
Артикул
|
Наименование |
Производитель
|
|---|
|
Артикул
|
Наименование |
Производитель
|
|---|
|
Артикул
|
Наименование |
Производитель
|
|---|
|
Артикул
|
Наименование |
Производитель
|
|---|
Акции и предложения
Популярные продукты:
Anti-Polypyrimidine Tract Binding Protein 1 (PTBP1) Polyclonal Antibody (FAC737Hu01)
Источник (хозяин): кролик
Реактивность подтвержденная: человек
Валидировано для: FCM
Реактивность подтвержденная: человек
Валидировано для: FCM
Bovine BRCA1 A complex subunit BRE(BRE) ELISA kit (E11B0841)
Организм: корова
Bovine cartilage leucine rich protein(CHAD) ELISA kit (E11C1652)
Организм: корова
Guinea Pig Heparan sulfate 6 O sulfotransferase 2(HS6ST2) ELISA kit (E05H0369)
Организм: морская свинка
Canine Methionine ELISA kit (E08M1107)
Организм: собака

