| UNIPROT | Q01339 |
| Иммуноген | RPA310Mu01-Recombinant Apolipoprotein H (APOH) |
Polyclonal Antibody to Apolipoprotein H (APOH) (PAA310Mu01)
Реактивность подтвержденная:
мышь
Источник (хозяин):
кролик
Валидировано для:
IHC
WB
Характеристики
Техническое описание
| Русское название | PAA310Mu01 Поликлональное антитело к APOH (мышь) <Cloud-Clone,Китай> |
| Каталожный номер | PAA310Mu01 |
| Название антигена | Apolipoprotein H (APOH) |
| UNIPROT | Q01339 |
| Иммуноген | RPA310Mu01-Recombinant Apolipoprotein H (APOH) |
| Английские синонимы | Apo-H, B2G1, BG, B2-GP1, B2GP1, Previously, Beta 2 Glycoprotein 1, APC inhibitor, Activated protein C-binding protein, Anticardiolipin cofactor, Beta(2)GPI |
| Русские синонимы | Бета-2-гликопротеин I, β2-гликопротеин I |
Реактивность подтвержденная Нужна другая реактивность? |
мышь |
| Источник (хозяин) | кролик |
| Клональность | поликлональное |
| Рекомбинантное | нет |
| Готовое к использованию | нет |
| Концентрация | 0.5 мг/мл |
| Конъюгат | По запросу: HRP, biotin, PerCP, PE, Cy3, FITC, Cy7, Cy5.5, PE-Cy5, PE-Cy7, PerCp-Cy5.5, APC, Cy5, PE-Cy3, PE-Cy5.5, APC-Cy7, Biotin-APC, FITC-Biotin, TRITC, APC-Cy5, AF488, AF594, AF405, AF555, AF700, AF647, AF750 |
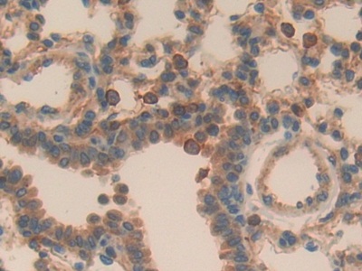
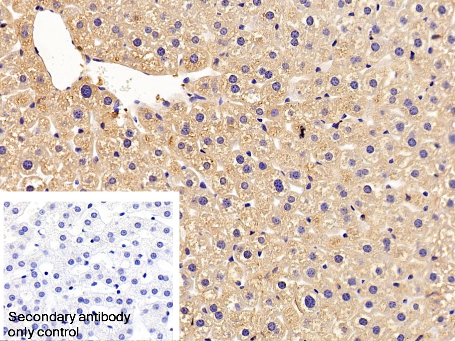
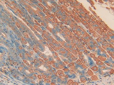
| Валидировано для | IHC WB Иммуногистохимия; Вестерн-блоттинг |
| Рекомендуемые разведения | WB: 0.5-2 мкг/мл; IHC: 5-20 мкг/мл; ICC: 5-20 мкг/мл; Оптимальное разведение определяется конечным потребителем |
| Метод очистки | Антигенспецифическая аффинная хроматография с последующей аффинной хроматографией с белком А |
| Состав буфера | PBS, pH7.4 |
| Условия доставки | термобокс с аккумуляторами холода |
| Условия хранения | Сразу после получения аликвотировать и хранить при -20ºС до 24 месяцев. Для частого использования хранить при +4ºС не более 2 недель. Избегать повторения циклов замерзания/оттаивания |
| Срок хранения | 24 месяца |
| Производитель | Cloud-Clone Corp. |
| Ссылка на страницу товара на сайте производителя | http://www.cloud-clone.com/products/PAA310Mu01.html |
|
Артикул
|
Наименование |
Производитель
|
|---|
|
Артикул
|
Наименование |
Производитель
|
|---|
|
Артикул
|
Наименование |
Производитель
|
|---|
|
Артикул
|
Наименование |
Производитель
|
|---|
|
Артикул
|
Наименование |
Производитель
|
|---|
|
Артикул
|
Наименование |
Производитель
|
|---|
|
Артикул
|
Наименование |
Производитель
|
|---|
Акции и предложения
Популярные продукты:
InVivoMAb Anti-Mouse CD8α Antibody (2.43) (VMB96002)
Источник (хозяин): крыса
Реактивность подтвержденная: мышь
Валидировано для: Depletion, ELISA, WB
Реактивность подтвержденная: мышь
Валидировано для: Depletion, ELISA, WB
ELISA Kit for CD200 Receptor 1 (CD200R1) (SEN341Hu)
Организм: человек
Диапазон определения: 0.156-10 нг/мл
Чувствительность: 0.058 нг/мл
Диапазон определения: 0.156-10 нг/мл
Чувствительность: 0.058 нг/мл
Guinea Pig Proteasome subunit β type 5 ELISA kit (E05P1263)
Организм: морская свинка
Mouse β crystallin B3(CRYBB3) ELISA kit (E03B0893)
Организм: мышь
Bovine Alkaline ceramidase 1(ACER1) ELISA kit (E11A1188)
Организм: корова
Canine Glucose Transporter 2 ELISA kit (E08G0196)
Организм: собака

