| UNIPROT | Q9BQE5 |
| Иммуноген | RPD516Hu01-Recombinant Apolipoprotein L2 (APOL2) |
Polyclonal Antibody to Apolipoprotein L2 (APOL2) (PAD516Hu01)
Реактивность подтвержденная:
человек
Источник (хозяин):
кролик
Валидировано для:
IHC
WB
Характеристики
Техническое описание
| Русское название | PAD516Hu01 Поликлональное антитело к APOL2 (человек) <Cloud-Clone,Китай> |
| Каталожный номер | PAD516Hu01 |
| Название антигена | Apolipoprotein L2 (APOL2) |
| UNIPROT | Q9BQE5 |
| Иммуноген | RPD516Hu01-Recombinant Apolipoprotein L2 (APOL2) |
| Английские синонимы | Apo-L2, APOL-II |
| Русские синонимы | АпоL2 |
Реактивность подтвержденная Нужна другая реактивность? |
человек |
| Реактивность предсказываемая | мышь, крыса |
| Источник (хозяин) | кролик |
| Клональность | поликлональное |
| Рекомбинантное | нет |
| Готовое к использованию | нет |
| Концентрация | 500 мкг/мл |
| Конъюгат | По запросу: HRP, biotin, PerCP, PE, Cy3, FITC, Cy7, Cy5.5, PE-Cy5, PE-Cy7, PerCp-Cy5.5, APC, Cy5, PE-Cy3, PE-Cy5.5, APC-Cy7, Biotin-APC, FITC-Biotin, TRITC, APC-Cy5, AF488, AF594, AF405, AF555, AF700, AF647, AF750 |
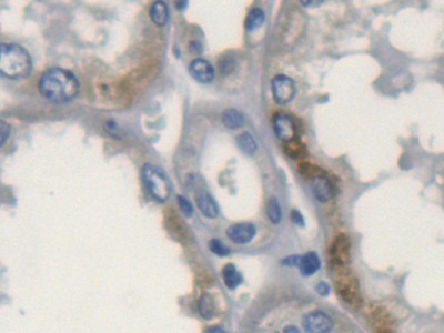
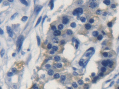
| Валидировано для | IHC WB Иммуногистохимия; Вестерн-блоттинг |
| Рекомендуемые разведения | WB: 0.5-2 мкг/мл; ICC (фиксация формалином): 5-20 мкг/мл; IHC (замороженные срезы): 5-20 мкг/мл; IHC (парафиновые срезы): 5-20 мкг/мл; ELISA: 0.05-2 мкг/мл; Оптимальное разведение определяется конечным потребителем |
| Метод очистки | Антигенспецифическая аффинная хроматография с последующей аффинной хроматографией с белком А |
| Состав буфера | 0.01M PBS, pH7.4, 0.05% Proclin-300, 50% глицерин |
| Условия доставки | термобокс с аккумуляторами холода |
| Условия хранения | Сразу после получения аликвотировать и хранить при -20ºС до 24 месяцев. Для частого использования хранить при +4ºС не более 2 недель. Избегать повторения циклов замерзания/оттаивания |
| Срок хранения | 24 месяца |
| Производитель | Cloud-Clone Corp. |
| Ссылка на страницу товара на сайте производителя | http://www.cloud-clone.com/products/PAD516Hu01.html |
|
Артикул
|
Наименование |
Производитель
|
|---|
|
Артикул
|
Наименование |
Производитель
|
|---|
Акции и предложения
Популярные продукты:
Guinea Pig Interferon stimulated gene 20 kDa protein(ISG20) ELISA kit (E05I0441)
Организм: морская свинка
Guinea Pig Proteasome activator complex subunit 2(PSME2) ELISA kit (E05P0875)
Организм: морская свинка
Monkey Mitofusin 2 ELISA Kit (E09M0701)
Организм: обезьяна
Guinea Pig Mitofusin 2 ELISA Kit (E05M0701)
Организм: морская свинка
Rabbit Anti Glutamate Receptor 1 Antibody ELISA kit (E04A0633)
Организм: кролик

