| UNIPROT | Q6ZMQ8 |
| Иммуноген | RPA429Hu01-Recombinant Apoptosis Associated Tyrosine Kinase (AATK) |
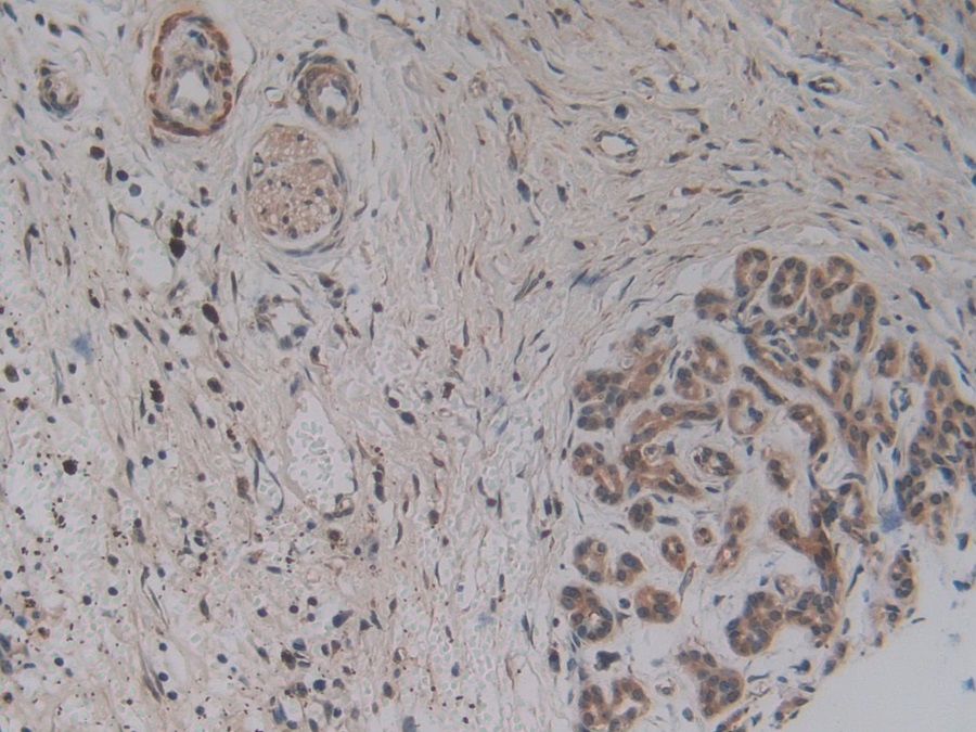
Polyclonal Antibody to Apoptosis Associated Tyrosine Kinase (AATK) (PAA429Hu01)
Реактивность подтвержденная:
человек
Источник (хозяин):
кролик
Валидировано для:
IHC
Характеристики
Техническое описание
| Русское название | PAA429Hu01 Поликлональное антитело к AATK (человек) <Cloud-Clone,Китай> |
| Каталожный номер | PAA429Hu01 |
| Название антигена | Apoptosis Associated Tyrosine Kinase (AATK) |
| UNIPROT | Q6ZMQ8 |
| Иммуноген | RPA429Hu01-Recombinant Apoptosis Associated Tyrosine Kinase (AATK) |
| Английские синонимы | AATYK, LMR1, p35BP, Serine/Threonine-Protein Kinase LMTK1, Lemur Tyrosine Kinase 1, Brain apoptosis-associated tyrosine kinase, CDK5-binding protein, p35-binding protein |
Реактивность подтвержденная Нужна другая реактивность? |
человек |
| Источник (хозяин) | кролик |
| Клональность | поликлональное |
| Рекомбинантное | нет |
| Готовое к использованию | нет |
| Концентрация | 0.5 мг/мл |
| Конъюгат | По запросу: HRP, biotin, PerCP, PE, Cy3, FITC, Cy7, Cy5.5, PE-Cy5, PE-Cy7, PerCp-Cy5.5, APC, Cy5, PE-Cy3, PE-Cy5.5, APC-Cy7, Biotin-APC, FITC-Biotin, TRITC, APC-Cy5, AF488, AF594, AF405, AF555, AF700, AF647, AF750 |
| Валидировано для | IHC Иммуногистохимия |
| Рекомендуемые разведения | WB: 0.01-2 мкг/мл; IHC: 5-20 мкг/мл; ICC: 5-20 мкг/мл; Оптимальное разведение определяется конечным потребителем |
| Метод очистки | Антигенспецифическая аффинная хроматография с последующей аффинной хроматографией с белком А |
| Состав буфера | PBS, pH7.4, 0.02% NaN3, 50% глицерин |
| Условия доставки | термобокс с аккумуляторами холода |
| Условия хранения | Сразу после получения аликвотировать и хранить при -20ºС до 24 месяцев. Для частого использования хранить при +4ºС не более 2 недель. Избегать повторения циклов замерзания/оттаивания |
| Срок хранения | 24 месяца |
| Производитель | Cloud-Clone Corp. |
| Ссылка на страницу товара на сайте производителя | http://www.cloud-clone.com/products/PAA429Hu01.html |
|
Артикул
|
Наименование |
Производитель
|
|---|
|
Артикул
|
Наименование |
Производитель
|
|---|
Акции и предложения
Популярные продукты:
Anti-Betamethasone/BET Monoclonal Antibody (1A484) (MGK61203)
Источник (хозяин): мышь
Реактивность подтвержденная: для всех
Валидировано для: ELISA
Реактивность подтвержденная: для всех
Валидировано для: ELISA
Anti-Cystatin 6 (CST6) Monoclonal Antibody (FAJ326Hu02)
Источник (хозяин): мышь
Реактивность подтвержденная: человек
Валидировано для: FCM
Реактивность подтвержденная: человек
Валидировано для: FCM
Porcine Anti Glycolipid AutoAntibody ELISA kit (E07A0441)
Организм: свинья
Guinea Pig Anti Glycolipid AutoAntibody ELISA kit (E05A0441)
Организм: морская свинка

