| UNIPROT | P29972 |
| Иммуноген | RPA579Hu01-Recombinant Aquaporin 1 (AQP1) |
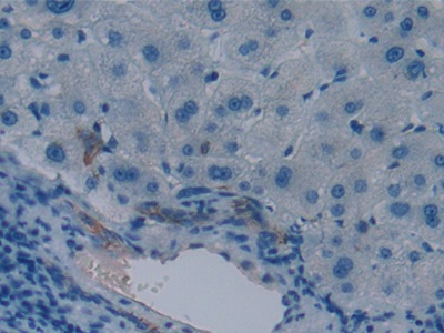
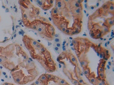
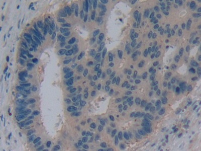
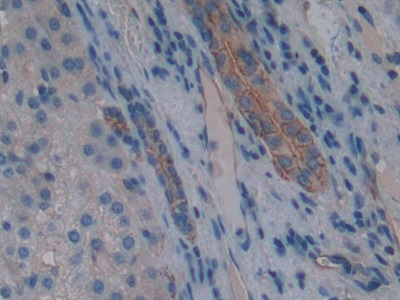
Polyclonal Antibody to Aquaporin 1 (AQP1) (PAA579Hu01)
Реактивность подтвержденная:
человек
Источник (хозяин):
кролик
Валидировано для:
IHC
WB
Характеристики
Техническое описание
| Русское название | PAA579Hu01 Поликлональное антитело к AQP1 (человек) <Cloud-Clone,Китай> |
| Каталожный номер | PAA579Hu01 |
| Название антигена | Aquaporin 1, Colton Blood Group (AQP1) |
| UNIPROT | P29972 |
| Иммуноген | RPA579Hu01-Recombinant Aquaporin 1 (AQP1) |
| Английские синонимы | AQP-CHIP, CHIP28, CO, Channel-Forming Integral Protein,28kDa, Aquaporin-CHIP, Urine water channel, Water channel protein for red blood cells and kidney proximal tubule |
Реактивность подтвержденная Нужна другая реактивность? |
человек |
| Реактивность предсказываемая | мышь, свинья |
| Источник (хозяин) | кролик |
| Клональность | поликлональное |
| Рекомбинантное | нет |
| Готовое к использованию | нет |
| Концентрация | 0.5 мг/мл |
| Конъюгат | По запросу: HRP, biotin, PerCP, PE, Cy3, FITC, Cy7, Cy5.5, PE-Cy5, PE-Cy7, PerCp-Cy5.5, APC, Cy5, PE-Cy3, PE-Cy5.5, APC-Cy7, Biotin-APC, FITC-Biotin, TRITC, APC-Cy5, AF488, AF594, AF405, AF555, AF700, AF647, AF750 |
| Валидировано для | IHC WB Иммуногистохимия; Вестерн-блоттинг |
| Рекомендуемые разведения | WB: 0.01-2 мкг/мл; IHC: 5-20 мкг/мл; ICC: 5-20 мкг/мл; Оптимальное разведение определяется конечным потребителем |
| Метод очистки | Антигенспецифическая аффинная хроматография с последующей аффинной хроматографией с белком А |
| Состав буфера | PBS, pH7.4, 0.02% NaN3, 50% глицерин |
| Условия доставки | термобокс с аккумуляторами холода |
| Условия хранения | Сразу после получения аликвотировать и хранить при -20ºС до 24 месяцев. Для частого использования хранить при +4ºС не более 2 недель. Избегать повторения циклов замерзания/оттаивания |
| Срок хранения | 24 месяца |
| Производитель | Cloud-Clone Corp. |
| Ссылка на страницу товара на сайте производителя | http://www.cloud-clone.com/products/PAA579Hu01.html |
|
Артикул
|
Наименование |
Производитель
|
|---|
|
Артикул
|
Наименование |
Производитель
|
|---|
|
Артикул
|
Наименование |
Производитель
|
|---|
|
Артикул
|
Наименование |
Производитель
|
|---|
|
Артикул
|
Наименование |
Производитель
|
|---|
Акции и предложения
Популярные продукты:
ELISA Kit DIY Materials for Intercellular Adhesion Molecule 1 (ICAM1) (KSA548Rb01)
Организм: кролик
Диапазон определения: 6.25-400 пг/мл
Чувствительность: 2.99 пг/мл
Диапазон определения: 6.25-400 пг/мл
Чувствительность: 2.99 пг/мл
Sheep Protein BTG3(BTG3) ELISA kit (E14P0800)
Организм: овца
Bovine Lecithin Cholesterol Acyltransferase ELISA kit (E11L0303)
Организм: корова
Canine Lecithin Cholesterol Acyltransferase ELISA kit (E08L0303)
Организм: собака
Porcine Lecithin Cholesterol Acyltransferase ELISA kit (E07L0303)
Организм: свинья

