| UNIPROT | Q9JJJ3 |
| Иммуноген | RPA578Mu01-Recombinant Aquaporin 9 (AQP9) |
Polyclonal Antibody to Aquaporin 9 (AQP9) (PAA578Mu01)
Реактивность подтвержденная:
мышь
Источник (хозяин):
кролик
Валидировано для:
IHC
WB
Характеристики
Техническое описание
| Русское название | PAA578Mu01 Поликлональное антитело к AQP9 (мышь) <Cloud-Clone,Китай> |
| Каталожный номер | PAA578Mu01 |
| Название антигена | Aquaporin 9 (AQP9) |
| UNIPROT | Q9JJJ3 |
| Иммуноген | RPA578Mu01-Recombinant Aquaporin 9 (AQP9) |
| Английские синонимы | SSC1, Aquaglyceroporin-9, Small solute channel 1 |
Реактивность подтвержденная Нужна другая реактивность? |
мышь |
| Реактивность предсказываемая | человек, крыса |
| Источник (хозяин) | кролик |
| Клональность | поликлональное |
| Рекомбинантное | нет |
| Готовое к использованию | нет |
| Концентрация | 0.5 мг/мл |
| Конъюгат | По запросу: HRP, biotin, PerCP, PE, Cy3, FITC, Cy7, Cy5.5, PE-Cy5, PE-Cy7, PerCp-Cy5.5, APC, Cy5, PE-Cy3, PE-Cy5.5, APC-Cy7, Biotin-APC, FITC-Biotin, TRITC, APC-Cy5, AF488, AF594, AF405, AF555, AF700, AF647, AF750 |
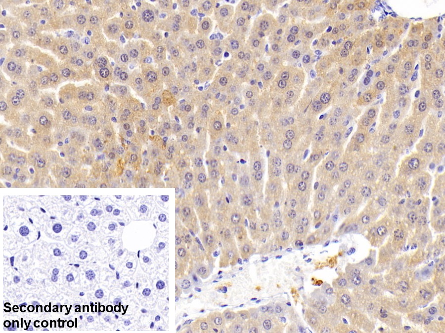
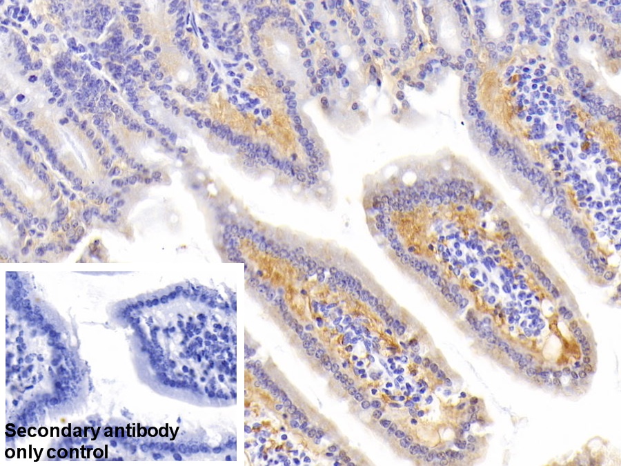
| Валидировано для | IHC WB Иммуногистохимия; Вестерн-блоттинг |
| Рекомендуемые разведения | WB: 0.01-3 мкг/мл; IHC: 5-30 мкг/мл; ICC: 5-30 мкг/мл; Оптимальное разведение определяется конечным потребителем |
| Метод очистки | Антигенспецифическая аффинная хроматография с последующей аффинной хроматографией с белком А |
| Состав буфера | 0.01M PBS, pH7.4, 0.05% Proclin-300, 50% глицерин |
| Условия доставки | термобокс с аккумуляторами холода |
| Условия хранения | Сразу после получения аликвотировать и хранить при -20ºС до 24 месяцев. Для частого использования хранить при +4ºС не более 2 недель. Избегать повторения циклов замерзания/оттаивания |
| Срок хранения | 24 месяца |
| Производитель | Cloud-Clone Corp. |
| Ссылка на страницу товара на сайте производителя | http://www.cloud-clone.com/products/PAA578Mu01.html |
|
Артикул
|
Наименование |
Производитель
|
|---|
|
Артикул
|
Наименование |
Производитель
|
|---|
Акции и предложения
Популярные продукты:
Rat cardiac troponin I, cTnI ELISA Kit (E02C2462)
Организм: крыса
Anti-ASFV EP84R Polyclonal Antibody (PVV11202)
Источник (хозяин): кролик
Реактивность подтвержденная: вирусы
Валидировано для: ELISA, IHC, WB
Реактивность подтвержденная: вирусы
Валидировано для: ELISA, IHC, WB
Bcl-2 Polyclonal Antibody (E-AB-60788)
Источник (хозяин): кролик
Реактивность подтвержденная: человек, мышь, крыса
Валидировано для: IF, WB
Реактивность подтвержденная: человек, мышь, крыса
Валидировано для: IF, WB
Monoclonal Antibody to Calponin 2 (CNN2) (MAJ410Hu23)
Источник (хозяин): мышь
Реактивность подтвержденная: человек
Валидировано для: WB
Реактивность подтвержденная: человек
Валидировано для: WB
Polyclonal Antibody to Aquaporin 9 (AQP9) (PAA578Mu01)
Источник (хозяин): кролик
Реактивность подтвержденная: мышь
Валидировано для: IHC, WB
Реактивность подтвержденная: мышь
Валидировано для: IHC, WB
Recombinant Nei Endonuclease VIII Like Protein 3 (NEIL3) (RPN291Mu01)
Источник (хозяин): E.coli
Организм: мышь
Фрагмент: Val2-Val187
Теги: N-концевой His-Tag
Биоактивность: нет
Организм: мышь
Фрагмент: Val2-Val187
Теги: N-концевой His-Tag
Биоактивность: нет

