| UNIPROT | P16050 |
| Иммуноген | RPA891Hu01-Recombinant Arachidonate-15-Lipoxygenase (ALOX15) |
Polyclonal Antibody to Arachidonate-15-Lipoxygenase (ALOX15) (PAA891Hu01)
Реактивность подтвержденная:
человек
Источник (хозяин):
кролик
Валидировано для:
IHC
Характеристики
Техническое описание
| Русское название | PAA891Hu01 Поликлональное антитело к ALOX15 (человек) <Cloud-Clone,Китай> |
| Каталожный номер | PAA891Hu01 |
| Название антигена | Arachidonate-15-Lipoxygenase (ALOX15) |
| UNIPROT | P16050 |
| Иммуноген | RPA891Hu01-Recombinant Arachidonate-15-Lipoxygenase (ALOX15) |
| Английские синонимы | LOX15, 15-LOX2, 15-LOX1, 15-LOX, 12-LOX, ALOX15, 15-LO, 15-LPG, LOG15, Lipoxygenase 15, Arachidonate 12-lipoxygenase, leukocyte-type, Arachidonate omega-6 lipoxygenase |
Реактивность подтвержденная Нужна другая реактивность? |
человек |
| Реактивность предсказываемая | крыса |
| Источник (хозяин) | кролик |
| Клональность | поликлональное |
| Рекомбинантное | нет |
| Готовое к использованию | нет |
| Концентрация | 1 мг/мл |
| Конъюгат | По запросу: HRP, biotin, PerCP, PE, Cy3, FITC, Cy7, Cy5.5, PE-Cy5, PE-Cy7, PerCp-Cy5.5, APC, Cy5, PE-Cy3, PE-Cy5.5, APC-Cy7, Biotin-APC, FITC-Biotin, TRITC, APC-Cy5, AF488, AF594, AF405, AF555, AF700, AF647, AF750 |
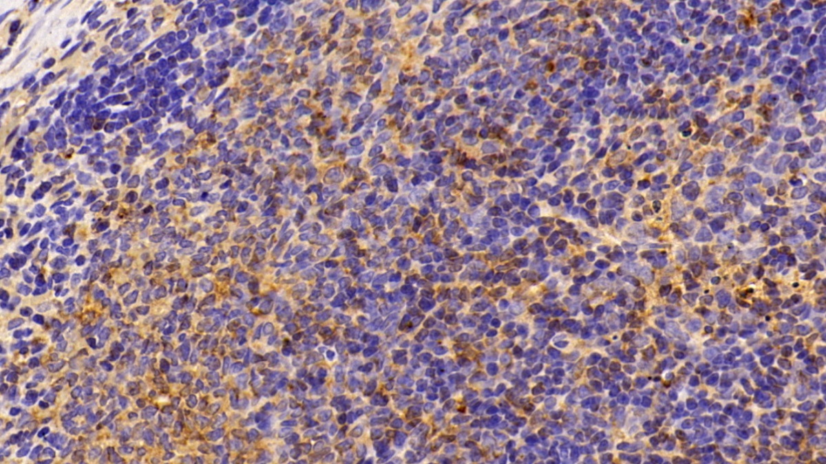
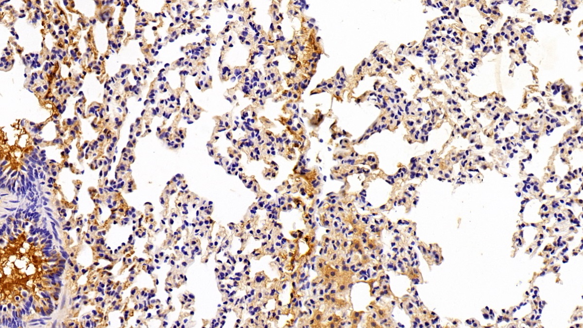
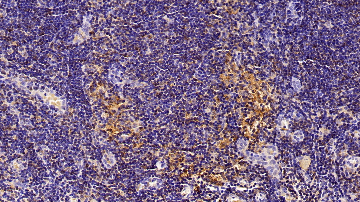
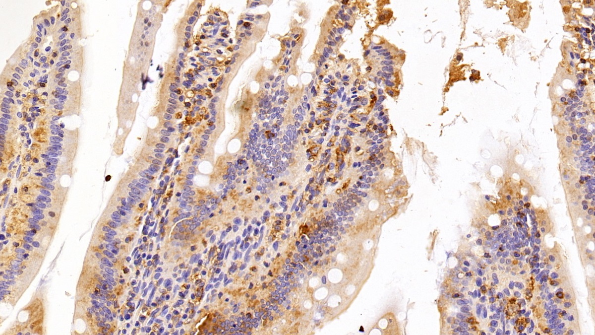
| Валидировано для | IHC Иммуногистохимия |
| Рекомендуемые разведения | WB: 0.5-2 мкг/мл; IHC: 5-20 мкг/мл; ICC: 5-20 мкг/мл; Оптимальное разведение определяется конечным потребителем |
| Метод очистки | Антигенспецифическая аффинная хроматография с последующей аффинной хроматографией с белком А |
| Состав буфера | 0.01M PBS, pH7.4, 0.05% Proclin-300, 50% глицерин |
| Условия доставки | термобокс с аккумуляторами холода |
| Условия хранения | Сразу после получения аликвотировать и хранить при -20ºС до 24 месяцев. Для частого использования хранить при +4ºС не более 2 недель. Избегать повторения циклов замерзания/оттаивания |
| Срок хранения | 24 месяца |
| Производитель | Cloud-Clone Corp. |
| Ссылка на страницу товара на сайте производителя | http://www.cloud-clone.com/products/PAA891Hu01.html |
|
Артикул
|
Наименование |
Производитель
|
|---|
|
Артикул
|
Наименование |
Производитель
|
|---|
|
Артикул
|
Наименование |
Производитель
|
|---|
Акции и предложения
Популярные продукты:
PD-L1/CD274 Polyclonal Antibody (E-AB-92367)
Источник (хозяин): кролик
Реактивность подтвержденная: человек, мышь
Валидировано для: IHC, WB
Реактивность подтвержденная: человек, мышь
Валидировано для: IHC, WB
Chicken 5-Hydroxytryptophan ELISA kit (E12H1454)
Организм: курица
Porcine Adenylosuccinate lyase(ADSL) ELISA kit (E07A1290)
Организм: свинья
Guinea Pig Aminomethyltransferase, mitochondrial(AMT) ELISA kit (E05A1432)
Организм: морская свинка
Canine Dual oxidase 1(DUOX1) ELISA kit (E08D0296)
Организм: собака
Porcine Nucleoporin 85kDa ELISA kit (E07N0060)
Организм: свинья

