| UNIPROT | P54136 |
| Иммуноген | RPC997Hu01-Recombinant Arginyl tRNA Synthetase (RARS) |
Polyclonal Antibody to Arginyl tRNA Synthetase (RARS) (PAC997Hu01)
Реактивность подтвержденная:
человек
Источник (хозяин):
кролик
Валидировано для:
IHC
WB
Характеристики
Техническое описание
| Русское название | PAC997Hu01 Поликлональное антитело к RARS (человек) <Cloud-Clone,Китай> |
| Каталожный номер | PAC997Hu01 |
| Название антигена | Arginyl tRNA Synthetase (RARS) |
| UNIPROT | P54136 |
| Иммуноген | RPC997Hu01-Recombinant Arginyl tRNA Synthetase (RARS) |
| Английские синонимы | ArgRS, DALRD1, Arginine tRNA Ligase 1,Cytoplasmic |
Реактивность подтвержденная Нужна другая реактивность? |
человек |
| Источник (хозяин) | кролик |
| Клональность | поликлональное |
| Рекомбинантное | нет |
| Готовое к использованию | нет |
| Концентрация | 0.5 мг/мл |
| Конъюгат | По запросу: HRP, biotin, PerCP, PE, Cy3, FITC, Cy7, Cy5.5, PE-Cy5, PE-Cy7, PerCp-Cy5.5, APC, Cy5, PE-Cy3, PE-Cy5.5, APC-Cy7, Biotin-APC, FITC-Biotin, TRITC, APC-Cy5, AF488, AF594, AF405, AF555, AF700, AF647, AF750 |
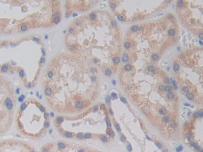
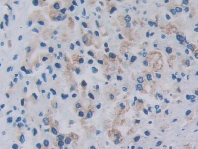
| Валидировано для | IHC WB Иммуногистохимия; Вестерн-блоттинг |
| Рекомендуемые разведения | WB: 0.5-2 мкг/мл; IHC: 5-20 мкг/мл; ICC: 5-20 мкг/мл; Оптимальное разведение определяется конечным потребителем |
| Метод очистки | Антигенспецифическая аффинная хроматография с последующей аффинной хроматографией с белком А |
| Состав буфера | PBS, pH7.4, 0.02% NaN3, 50% глицерин |
| Условия доставки | термобокс с аккумуляторами холода |
| Условия хранения | Сразу после получения аликвотировать и хранить при -20ºС до 24 месяцев. Для частого использования хранить при +4ºС не более 2 недель. Избегать повторения циклов замерзания/оттаивания |
| Срок хранения | 24 месяца |
| Производитель | Cloud-Clone Corp. |
| Ссылка на страницу товара на сайте производителя | http://www.cloud-clone.com/products/PAC997Hu01.html |
|
Артикул
|
Наименование |
Производитель
|
|---|
|
Артикул
|
Наименование |
Производитель
|
|---|
Акции и предложения
Популярные продукты:
ELISA Kit DIY Materials for Fibroblast Growth Factor 23 (FGF23) (KSA746Hu01)
Организм: человек
Диапазон определения: 15.6-1000 пг/мл
Чувствительность: 6.2 пг/мл
Диапазон определения: 15.6-1000 пг/мл
Чувствительность: 6.2 пг/мл
Rabbit Gentamicin (GTM) ELISA kit (E04G0015)
Организм: кролик
Rabbit Myogenic factor 6(MYF6) ELISA kit (E04M0412)
Организм: кролик
Monkey Paired Box Gene 5 ELISA kit (E09P1023)
Организм: обезьяна
Rabbit Paired Box Gene 5 ELISA kit (E04P1023)
Организм: кролик

