| UNIPROT | P05202 |
| Иммуноген | RPD853Mu01-Recombinant Aspartate Aminotransferase 2 (AST2) |
Polyclonal Antibody to Aspartate Aminotransferase 2 (AST2) (PAD853Mu01)
Реактивность подтвержденная:
мышь
Источник (хозяин):
кролик
Валидировано для:
IHC
WB
Характеристики
Публикации
Техническое описание
| Русское название | PAD853Mu01 Поликлональное антитело к AST2 (мышь) <Cloud-Clone,Китай> |
| Каталожный номер | PAD853Mu01 |
| Название антигена | Aspartate Aminotransferase 2 (AST2) |
| UNIPROT | P05202 |
| Иммуноген | RPD853Mu01-Recombinant Aspartate Aminotransferase 2 (AST2) |
| Английские синонимы | GOT2, MitAAT, KATIV, KAT4, FABP-1, Plasma membrane-associated fatty acid-binding protein, Glutamic-Oxaloacetic Transaminase 2,Mitochondrial, Kynurenine Aminotransferase IV |
Реактивность подтвержденная Нужна другая реактивность? |
мышь |
| Реактивность предсказываемая | человек, крыса |
| Источник (хозяин) | кролик |
| Клональность | поликлональное |
| Рекомбинантное | нет |
| Готовое к использованию | нет |
| Концентрация | 500 мкг/мл |
| Конъюгат | По запросу: HRP, biotin, PerCP, PE, Cy3, FITC, Cy7, Cy5.5, PE-Cy5, PE-Cy7, PerCp-Cy5.5, APC, Cy5, PE-Cy3, PE-Cy5.5, APC-Cy7, Biotin-APC, FITC-Biotin, TRITC, APC-Cy5, AF488, AF594, AF405, AF555, AF700, AF647, AF750 |
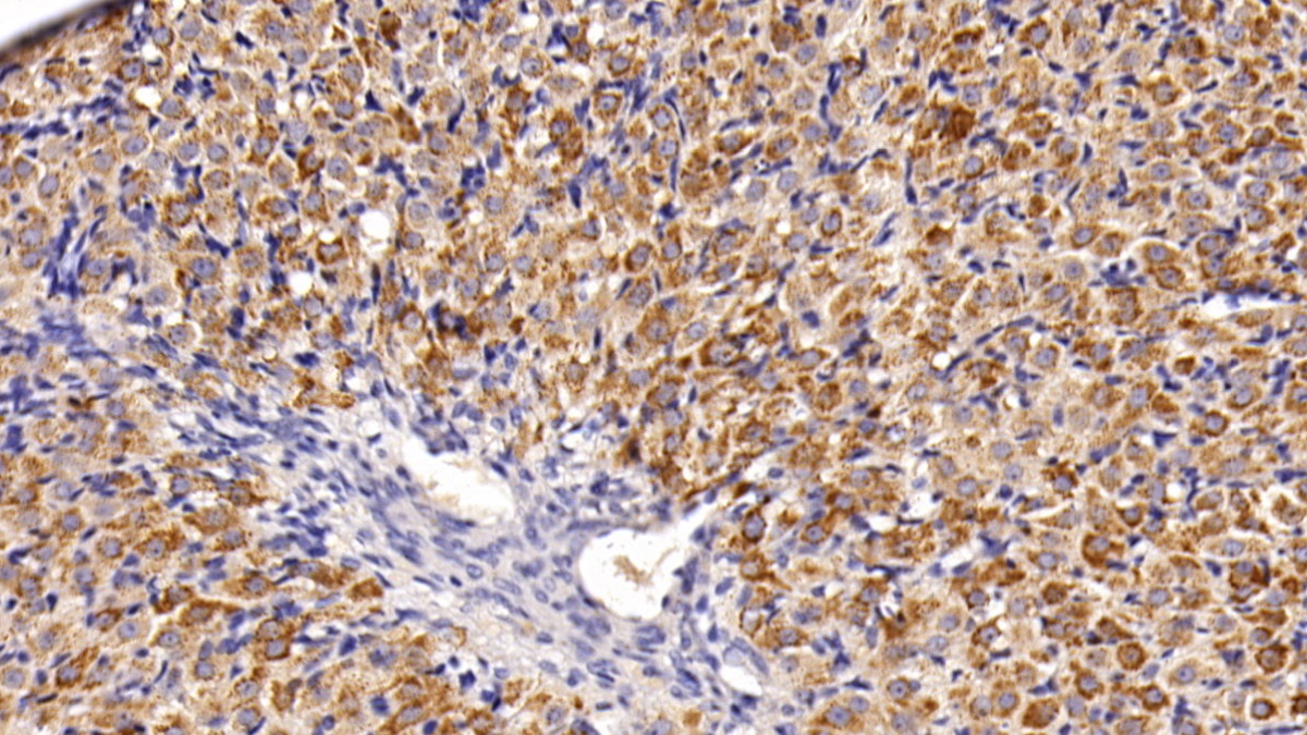
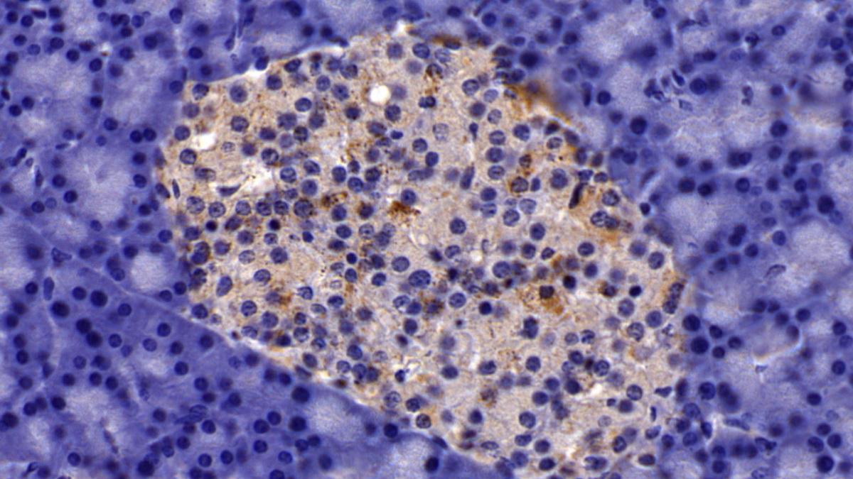
| Валидировано для | IHC WB Иммуногистохимия; Вестерн-блоттинг |
| Рекомендуемые разведения | WB: 0.5-2 мкг/мл; IHC: 5-20 мкг/мл; ICC: 5-20 мкг/мл; Оптимальное разведение определяется конечным потребителем |
| Метод очистки | Антигенспецифическая аффинная хроматография с последующей аффинной хроматографией с белком А |
| Состав буфера | 0.01M PBS, pH7.4, 0.05% Proclin-300, 50% глицерин |
| Условия доставки | термобокс с аккумуляторами холода |
| Условия хранения | Сразу после получения аликвотировать и хранить при -20ºС до 24 месяцев. Для частого использования хранить при +4ºС не более 2 недель. Избегать повторения циклов замерзания/оттаивания |
| Срок хранения | 24 месяца |
| Производитель | Cloud-Clone Corp. |
| Ссылка на страницу товара на сайте производителя | http://www.cloud-clone.com/products/PAD853Mu01.html |
|
Артикул
|
Наименование |
Производитель
|
|---|
|
Артикул
|
Наименование |
Производитель
|
|---|
|
Артикул
|
Наименование |
Производитель
|
|---|
|
Артикул
|
Наименование |
Производитель
|
|---|
Акции и предложения
Популярные продукты:
Anti-ARHGDIA Antibody (R3M82) (RHE92303)
Источник (хозяин): мышь
Реактивность подтвержденная: человек, мышь, обезьяна
Валидировано для: ELISA, FCM, IF, WB
Реактивность подтвержденная: человек, мышь, обезьяна
Валидировано для: ELISA, FCM, IF, WB
Biotin-Linked Polyclonal Antibody to Olfactory Receptor 1J2 (OR1J2) (LAS975Hu71)
Источник (хозяин): кролик
Реактивность подтвержденная: человек
Валидировано для: ICC, IHC, WB
Реактивность подтвержденная: человек
Валидировано для: ICC, IHC, WB
Monoclonal Antibody to Cluster Of Differentiation 7 (CD7) (MAB784Hu25)
Источник (хозяин): мышь
Реактивность подтвержденная: человек
Валидировано для: WB
Реактивность подтвержденная: человек
Валидировано для: WB
Monoclonal Antibody to Cluster Of Differentiation 4 (CD4) (MAB167Mu31)
Источник (хозяин): крыса
Реактивность подтвержденная: мышь
Валидировано для: ICC, IHC, WB
Реактивность подтвержденная: мышь
Валидировано для: ICC, IHC, WB
Monoclonal Antibody to Ribonuclease A3 (RNASE3) (MAB758Ra21)
Источник (хозяин): мышь
Реактивность подтвержденная: крыса
Валидировано для: WB
Реактивность подтвержденная: крыса
Валидировано для: WB

