| UNIPROT | P14868 |
| Иммуноген | RPD006Hu01-Recombinant Aspartyl tRNA Synthetase (DARS) |
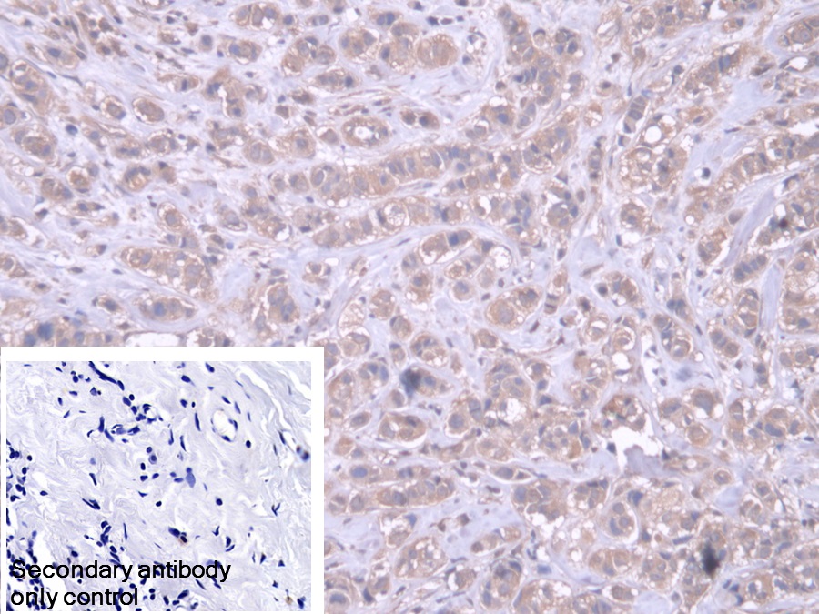
Polyclonal Antibody to Aspartyl tRNA Synthetase (DARS) (PAD006Hu01)
Реактивность подтвержденная:
человек
Источник (хозяин):
кролик
Валидировано для:
IHC
WB
Характеристики
Техническое описание
| Русское название | PAD006Hu01 Поликлональное антитело к DARS (человек) <Cloud-Clone,Китай> |
| Каталожный номер | PAD006Hu01 |
| Название антигена | Aspartyl tRNA Synthetase (DARS) |
| UNIPROT | P14868 |
| Иммуноген | RPD006Hu01-Recombinant Aspartyl tRNA Synthetase (DARS) |
| Английские синонимы | AspRS, PIG40, Aspartate tRNA Ligase 1,Cytoplasmic, Cell proliferation-inducing gene 40 protein |
Реактивность подтвержденная Нужна другая реактивность? |
человек |
| Источник (хозяин) | кролик |
| Клональность | поликлональное |
| Рекомбинантное | нет |
| Готовое к использованию | нет |
| Концентрация | 0.5 мг/мл |
| Конъюгат | По запросу: HRP, biotin, PerCP, PE, Cy3, FITC, Cy7, Cy5.5, PE-Cy5, PE-Cy7, PerCp-Cy5.5, APC, Cy5, PE-Cy3, PE-Cy5.5, APC-Cy7, Biotin-APC, FITC-Biotin, TRITC, APC-Cy5, AF488, AF594, AF405, AF555, AF700, AF647, AF750 |
| Валидировано для | IHC WB Иммуногистохимия; Вестерн-блоттинг |
| Рекомендуемые разведения | WB: 0.01-2 мкг/мл; IHC: 5-20 мкг/мл; ICC: 5-20 мкг/мл; Оптимальное разведение определяется конечным потребителем |
| Метод очистки | Антигенспецифическая аффинная хроматография с последующей аффинной хроматографией с белком А |
| Состав буфера | 0.01M PBS, pH7.4, 0.05% Proclin-300, 50% глицерин |
| Условия доставки | термобокс с аккумуляторами холода |
| Условия хранения | Сразу после получения аликвотировать и хранить при -20ºС до 24 месяцев. Для частого использования хранить при +4ºС не более 2 недель. Избегать повторения циклов замерзания/оттаивания |
| Срок хранения | 24 месяца |
| Производитель | Cloud-Clone Corp. |
| Ссылка на страницу товара на сайте производителя | http://www.cloud-clone.com/products/PAD006Hu01.html |
|
Артикул
|
Наименование |
Производитель
|
|---|
|
Артикул
|
Наименование |
Производитель
|
|---|
Акции и предложения
Популярные продукты:
Rabbit Myogenic factor 5 ELISA kit (E04M1089)
Организм: кролик
AER61 Recombinant Rabbit mAb (ARM2009)
Источник (хозяин): кролик
Реактивность подтвержденная: человек, мышь, крыса
Валидировано для: WB
Реактивность подтвержденная: человек, мышь, крыса
Валидировано для: WB
Monoclonal Antibody to Biliverdin Reductase A (BLVRA) (MAJ551Ra21)
Источник (хозяин): мышь
Реактивность подтвержденная: крыса
Валидировано для: ICC, IHC, IP, WB
Реактивность подтвержденная: крыса
Валидировано для: ICC, IHC, IP, WB
Polyclonal Antibody to Heat Shock Protein 70 (HSP70) (PAA873Hu01)
Источник (хозяин): кролик
Реактивность подтвержденная: человек
Валидировано для: WB
Реактивность подтвержденная: человек
Валидировано для: WB
Anti-Human MCUB Polyclonal Antibody (PHP31801)
Источник (хозяин): кролик
Реактивность подтвержденная: человек
Валидировано для: ELISA, IHC, WB
Реактивность подтвержденная: человек
Валидировано для: ELISA, IHC, WB

