| UNIPROT | Q9UBB4 |
| Иммуноген | RPD248Hu01-Recombinant Ataxin 10 (ATXN10) |
Polyclonal Antibody to Ataxin 10 (ATXN10) (PAD248Hu01)
Реактивность подтвержденная:
человек
Источник (хозяин):
кролик
Валидировано для:
FCM
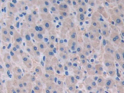
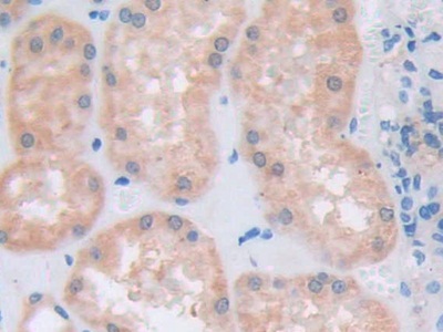
IHC
WB
Характеристики
Техническое описание
| Русское название | PAD248Hu01 Поликлональное антитело к ATXN10 (человек) <Cloud-Clone,Китай> |
| Каталожный номер | PAD248Hu01 |
| Название антигена | Ataxin 10 (ATXN10) |
| UNIPROT | Q9UBB4 |
| Иммуноген | RPD248Hu01-Recombinant Ataxin 10 (ATXN10) |
| Английские синонимы | E46L, SCA10, Spinocerebellar Ataxia 10, Brain protein E46 homolog |
Реактивность подтвержденная Нужна другая реактивность? |
человек |
| Реактивность предсказываемая | свинья |
| Источник (хозяин) | кролик |
| Клональность | поликлональное |
| Рекомбинантное | нет |
| Готовое к использованию | нет |
| Концентрация | 500 мкг/мл |
| Конъюгат | По запросу: HRP, biotin, PerCP, PE, Cy3, FITC, Cy7, Cy5.5, PE-Cy5, PE-Cy7, PerCp-Cy5.5, APC, Cy5, PE-Cy3, PE-Cy5.5, APC-Cy7, Biotin-APC, FITC-Biotin, TRITC, APC-Cy5, AF488, AF594, AF405, AF555, AF700, AF647, AF750 |
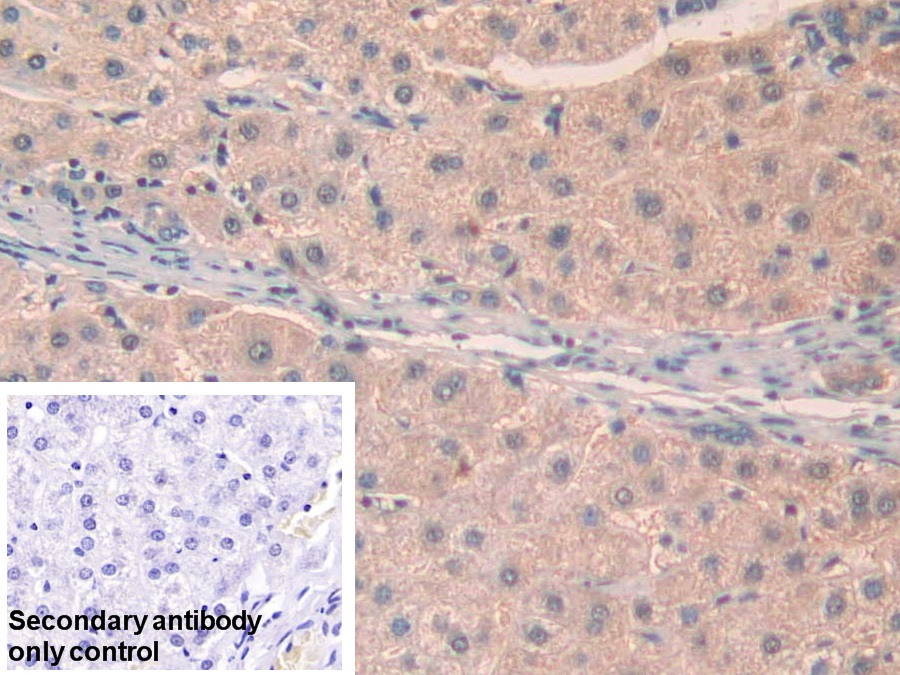
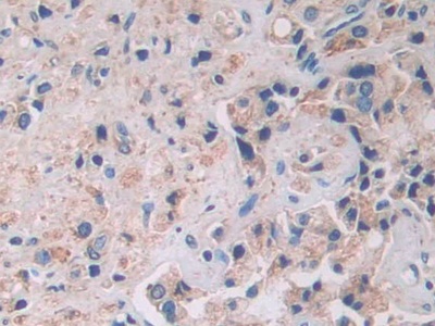
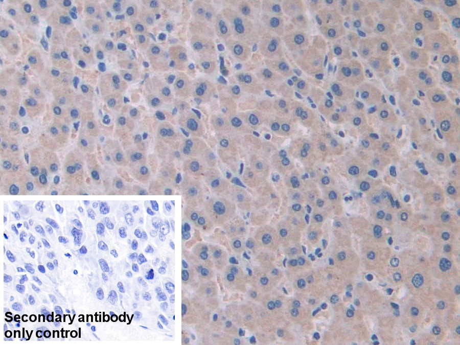
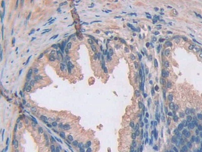
| Валидировано для | FCM IHC WB Проточная цитометрия; Иммуногистохимия; Вестерн-блоттинг |
| Рекомендуемые разведения | WB: 0.5-2 мкг/мл; ICC (фиксация формалином): 5-20 мкг/мл; IHC (замороженные срезы): 5-20 мкг/мл; IHC (парафиновые срезы): 5-20 мкг/мл; ELISA: 0.05-2 мкг/мл; FCM: 20 мкг/мл; Оптимальное разведение определяется конечным потребителем |
| Метод очистки | Антигенспецифическая аффинная хроматография с последующей аффинной хроматографией с белком А |
| Состав буфера | 0.01M PBS, pH7.4, 0.05% Proclin-300, 50% глицерин |
| Условия доставки | термобокс с аккумуляторами холода |
| Условия хранения | Сразу после получения аликвотировать и хранить при -20ºС до 24 месяцев. Для частого использования хранить при +4ºС не более 2 недель. Избегать повторения циклов замерзания/оттаивания |
| Срок хранения | 24 месяца |
| Производитель | Cloud-Clone Corp. |
| Ссылка на страницу товара на сайте производителя | http://www.cloud-clone.com/products/PAD248Hu01.html |
|
Артикул
|
Наименование |
Производитель
|
|---|
|
Артикул
|
Наименование |
Производитель
|
|---|
|
Артикул
|
Наименование |
Производитель
|
|---|
Акции и предложения
Популярные продукты:
Recombinant Mouse Chitinase 3-like 1 Protein(Fc Tag) (PDMM100152)
Источник (хозяин): клетки млекопитающих
Организм: мышь
Фрагмент: Tyr30-Ala389
Теги: C-Fc
Биоактивность: нет
Организм: мышь
Фрагмент: Tyr30-Ala389
Теги: C-Fc
Биоактивность: нет
Bovine Carbohyde sulfotransferase 7(CHST7) ELISA kit (E11C1714)
Организм: корова
Canine Guanylate kinase(GUK1) ELISA kit (E08G0445)
Организм: собака
Porcine Arylsulfatase K(ARSK) ELISA kit (E07A1692)
Организм: свинья
Sheep Aquaporin-6(AQP6) ELISA kit (E14A1616)
Организм: овца
Guinea Pig Ataxin 10(ATXN10) ELISA kit (E05A1767)
Организм: морская свинка

