| UNIPROT | O70239 |
| Иммуноген | RPC191Ra01-Recombinant Axis Inhibition Protein (AXIN) |
Polyclonal Antibody to Axis Inhibition Protein (AXIN) (PAC191Ra01)
Реактивность подтвержденная:
крыса
Источник (хозяин):
кролик
Валидировано для:
IHC
Характеристики
Техническое описание
| Русское название | PAC191Ra01 Поликлональное антитело к AXIN (крыса) <Cloud-Clone,Китай> |
| Каталожный номер | PAC191Ra01 |
| Название антигена | Axis Inhibition Protein (AXIN) |
| UNIPROT | O70239 |
| Иммуноген | RPC191Ra01-Recombinant Axis Inhibition Protein (AXIN) |
| Английские синонимы | AXIN1 |
Реактивность подтвержденная Нужна другая реактивность? |
крыса |
| Источник (хозяин) | кролик |
| Клональность | поликлональное |
| Рекомбинантное | нет |
| Готовое к использованию | нет |
| Концентрация | 500 мкг/мл |
| Конъюгат | По запросу: HRP, biotin, PerCP, PE, Cy3, FITC, Cy7, Cy5.5, PE-Cy5, PE-Cy7, PerCp-Cy5.5, APC, Cy5, PE-Cy3, PE-Cy5.5, APC-Cy7, Biotin-APC, FITC-Biotin, TRITC, APC-Cy5, AF488, AF594, AF405, AF555, AF700, AF647, AF750 |
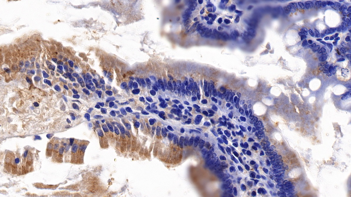
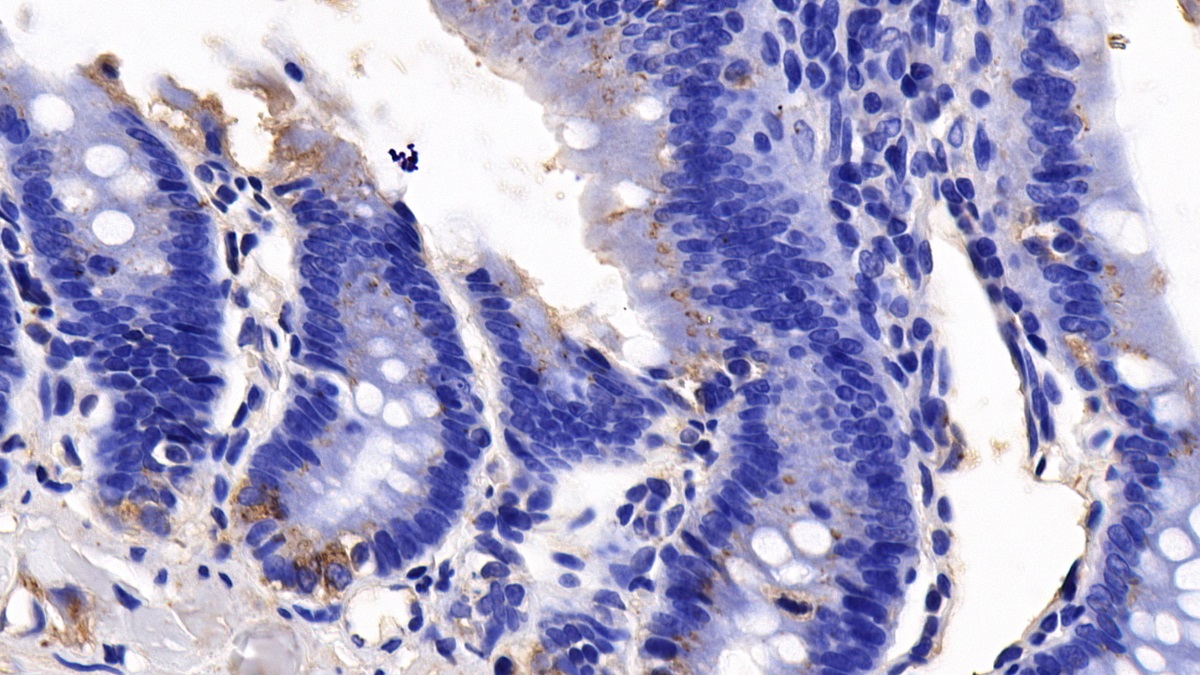
| Валидировано для | IHC Иммуногистохимия |
| Рекомендуемые разведения | WB: 0.5-2 мкг/мл; IHC: 5-20 мкг/мл; ICC: 5-20 мкг/мл; Оптимальное разведение определяется конечным потребителем |
| Метод очистки | Антигенспецифическая аффинная хроматография с последующей аффинной хроматографией с белком А |
| Состав буфера | PBS, pH7.4, 0.02% NaN3, 50% глицерин |
| Условия доставки | термобокс с аккумуляторами холода |
| Условия хранения | Сразу после получения аликвотировать и хранить при -20ºС до 24 месяцев. Для частого использования хранить при +4ºС не более 2 недель. Избегать повторения циклов замерзания/оттаивания |
| Срок хранения | 24 месяца |
| Производитель | Cloud-Clone Corp. |
| Ссылка на страницу товара на сайте производителя | http://www.cloud-clone.com/products/PAC191Ra01.html |
|
Артикул
|
Наименование |
Производитель
|
|---|
|
Артикул
|
Наименование |
Производитель
|
|---|
|
Артикул
|
Наименование |
Производитель
|
|---|
Акции и предложения
Популярные продукты:
Rat Cerebellin 4(CBLN4) ELISA kit (E02C1410)
Организм: крыса
Chicken lamin A/C (LMNA) ELISA kit (E12L0333)
Организм: курица
Sheep ankyrin B,Ank-B ELISA Kit (E14A1449)
Организм: овца
Chicken ankyrin B,Ank-B ELISA Kit (E12A1449)
Организм: курица
Monkey ankyrin B,Ank-B ELISA Kit (E09A1449)
Организм: обезьяна
Goat ankyrin B,Ank-B ELISA Kit (E06A1449)
Организм: коза

