Ваш браузер устарел и не обеспечивает полноценную и безопасную работу с сайтом. Пожалуйста обновите браузер чтобы улучшить взаимодействие с сайтом.
Мы обновили сайт, попробуйте новые функции в личном кабинете!

+7 (495) 798-02-48

Polyclonal Antibody to Azurocidin (AZU) (PAB461Hu01)

Реактивность подтвержденная: человек
Источник (хозяин): кролик
Валидировано для:
IHC
WB
9977
9977
Western Blot; Sample: Lane1: Human Leukocyte lysate; Lane2: Human PBMC lysate ;Primary Ab: 0.01μg/ml Rabbit Anti-Human AZU Antibody ;Second Ab: 0.2μg/mL HRP-Linked Caprine Anti-Rabbit IgG Polyclonal Antibody ;(Catalog: SAA544Rb19) Selected
11702
11702
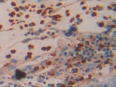
DAB staining on IHC-P; Samples: Human Lung Tissue; Primary Ab: 10μg/ml Rabbit Anti-Human AZU1 Antibody Second Ab: 2μg/mL HRP-Linked Caprine Anti-Rabbit IgG Polyclonal Antibody (Catalog: SAA544Rb19)
12134
12134
Knockout Varification: Lane 1: Wild-type 293T cell lysate; Lane 2: AZU1 knockout 293T cell lysate; Predicted MW: 27kd Observed MW: 27kd Primary Ab: 1μg/ml Rabbit Anti-Human AZU1 Antibody Second Ab: 0.2μg/mL HRP-Linked Caprine Anti-Rabbit IgG Polyclonal Antibody (Catalog: SAA544Rb19)
13554
13554
Western Blot; Sample: Human Liver lysate; ;Primary Ab: 1μg/ml Rabbit Anti-Human AZU1 Antibody ;Second Ab: 0.2μg/mL HRP-Linked Caprine Anti-Rabbit IgG Polyclonal Antibody ;(Catalog: SAA544Rb19) Selected
15638
15638
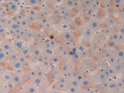
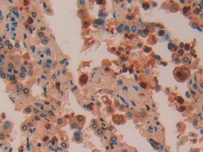
DAB staining on IHC-P; Samples: Human Liver Tissue; Primary Ab: 10μg/ml Rabbit Anti-Human AZU1 Antibody Second Ab: 2μg/mL HRP-Linked Caprine Anti-Rabbit IgG Polyclonal Antibody (Catalog: SAA544Rb19)
15639
15639
DAB staining on IHC-P; Samples: Human Stomach Tissue; Primary Ab: 10μg/ml Rabbit Anti-Human AZU1 Antibody Second Ab: 2μg/mL HRP-Linked Caprine Anti-Rabbit IgG Polyclonal Antibody (Catalog: SAA544Rb19)
15640
15640
DAB staining on IHC-P; Samples: Human Stomach cancer Tissue; Primary Ab: 10μg/ml Rabbit Anti-Human AZU1 Antibody Second Ab: 2μg/mL HRP-Linked Caprine Anti-Rabbit IgG Polyclonal Antibody (Catalog: SAA544Rb19)
15641
15641
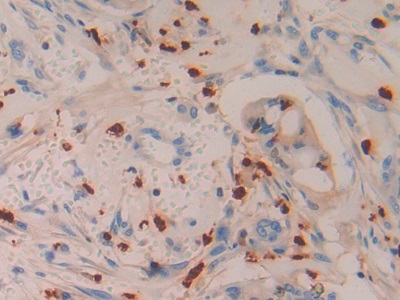
DAB staining on IHC-P; Samples: Human Bile duct cancer Tissue; Primary Ab: 10μg/ml Rabbit Anti-Human AZU1 Antibody Second Ab: 2μg/mL HRP-Linked Caprine Anti-Rabbit IgG Polyclonal Antibody (Catalog: SAA544Rb19)
22092
22092
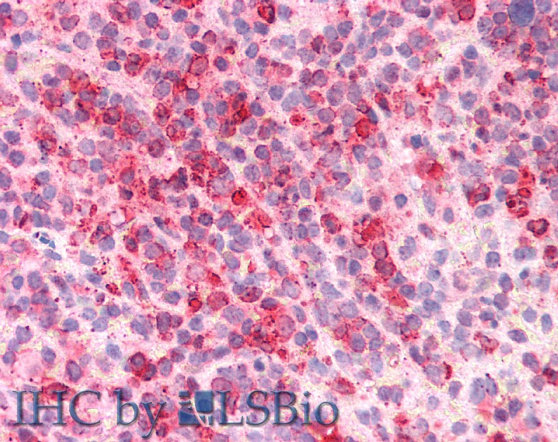
Vector Red staining on IHC-P; Samples: Human Spleen Tissue; Primary Ab: 5μg/ml Rabbit Anti-Human AZU1 Antibody Second Ab: 2μg/mL HRP-Linked Caprine Anti-Rabbit IgG Polyclonal Antibody
40356
40356
Figure. Western Blot; Sample: Recombinant AZU1, Human.
9977
11702
12134
13554
15638
15639
15640
15641
22092
40356
Ближайшая поставка
29.05.26
Характеристики
Техническое описание
Русское название PAB461Hu01 Поликлональное антитело к AZU (человек) <Cloud-Clone,Китай>
Каталожный номер PAB461Hu01
Название антигена Azurocidin 1 (AZU1)
UNIPROT P20160
Иммуноген RPB461Hu01-Recombinant Azurocidin (AZU)
Английские синонимы AZAMP, AZU, HBP, HUMAZUR, NAZC, CAP37, Cationic Antimicrobial Protein 37, Heparin-Binding Protein, Neutrophil Azurocidin
Реактивность подтвержденная
Нужна другая реактивность?
человек
Источник (хозяин) кролик
Клональность поликлональное
Рекомбинантное нет
Готовое к использованию нет
Концентрация 0.5 мг/мл
Конъюгат По запросу: HRP, biotin, PerCP, PE, Cy3, FITC, Cy7, Cy5.5, PE-Cy5, PE-Cy7, PerCp-Cy5.5, APC, Cy5, PE-Cy3, PE-Cy5.5, APC-Cy7, Biotin-APC, FITC-Biotin, TRITC, APC-Cy5, AF488, AF594, AF405, AF555, AF700, AF647, AF750
Валидировано для
IHC
WB
Иммуногистохимия; Вестерн-блоттинг
Рекомендуемые разведения WB: 0.01-2 мкг/мл; IHC: 5-20 мкг/мл; Оптимальное разведение определяется конечным потребителем
Метод очистки Антигенспецифическая аффинная хроматография с последующей аффинной хроматографией с белком А
Состав буфера 0.01M PBS, pH7.4, 0.05% Proclin-300, 50% глицерин
Условия доставки термобокс с аккумуляторами холода
Условия хранения Сразу после получения аликвотировать и хранить при -20ºС до 24 месяцев. Для частого использования хранить при +4ºС не более 2 недель. Избегать повторения циклов замерзания/оттаивания
Срок хранения 24 месяца
Производитель Cloud-Clone Corp.
Ссылка на страницу товара на сайте производителя http://www.cloud-clone.com/products/PAB461Hu01.html

Назначение

поликлональное антитело от производителя Cloud-Clone Corp. к Azurocidin 1 (AZU1) источник — кролик предназначено для детекции целевого антигена в биологических образцах. Продукт характеризуется подтвержденной реактивностью к человек.

Преимущества

  • Высокая специфичность и аффинность
  • Концентрация: 0.5 мг/мл
  • Оптимизированный состав буфера: 0.01M PBS, pH7.4, 0.05% Proclin-300, 50% глицерин
  • Стабильность: 24 месяца

Применение в исследованиях

Антитело валидировано для методов: IHC, WB. Подходит для научных исследований в области иммунологии, клеточной биологии и молекулярной диагностики.

Условия хранения

Срок годности: 24 месяца. Сразу после получения аликвотировать и хранить при -20ºС до 24 месяцев. Для частого использования хранить при +4ºС не более 2 недель. Избегать повторения циклов замерзания/оттаивания. Рекомендуется соблюдать температурный режим при транспортировке и хранении.
Артикул
Наименование
Производитель
Артикул
Наименование
Производитель

С нами успешно сотрудничают:

Московский государственный университет им. Ломоносова
Московский государственный университет им. Ломоносова
Московский государственный университет им. Ломоносова
МФТИ
МФТИ
МФТИ
Центр вирусологии и биотехнологии „Вектор“
Центр вирусологии и биотехнологии „Вектор“
Центр вирусологии и биотехнологии „Вектор“
Институт физиологии имени Павлова
Институт физиологии имени Павлова
Институт физиологии имени Павлова
Сеченовский университет
Сеченовский университет
Сеченовский университет
Исследовательский центр им. Алмазова
Исследовательский центр им. Алмазова
Исследовательский центр им. Алмазова
BIOCAD
BIOCAD
BIOCAD
Университет Сириус
Университет Сириус
Университет Сириус
Р-Фарм
Р-Фарм
Р-Фарм
Сколтех
Сколтех
Сколтех
Курчатовский институт
Курчатовский институт
Курчатовский институт
ИБХ РАН
ИБХ РАН
ИБХ РАН
НИЦ эпидемиологии и микробиологии им. Н.Ф.Гамалеи
НИЦ эпидемиологии и микробиологии им. Н.Ф.Гамалеи
НИЦ эпидемиологии и микробиологии им. Н.Ф.Гамалеи
Томский НИМЦ
Томский НИМЦ
Томский НИМЦ
ФИЦ ВИЖ имени Л.К. Эрнста
ФИЦ ВИЖ имени Л.К. Эрнста
ФИЦ ВИЖ имени Л.К. Эрнста
Фонд "Наука - Детям"
Фонд "Наука - Детям"
Фонд "Наука - Детям"
Институт цитологии и генетики СО РАН
Институт цитологии и генетики СО РАН
Институт цитологии и генетики СО РАН
Генериум
Генериум
Генериум

Новости

0
0
0