| UNIPROT | P02730 |
| Иммуноген | RPB681Hu01-Recombinant Band 3 (BND3) |
Polyclonal Antibody to Band 3 (BND3) (PAB681Hu01)
Реактивность подтвержденная:
человек
Источник (хозяин):
кролик
Валидировано для:
IHC
WB
Характеристики
Техническое описание
| Русское название | PAB681Hu01 Поликлональное антитело к BND3 (человек) <Cloud-Clone,Китай> |
| Каталожный номер | PAB681Hu01 |
| Название антигена | Anion Exchange Protein 1 (AE1) |
| UNIPROT | P02730 |
| Иммуноген | RPB681Hu01-Recombinant Band 3 (BND3) |
| Английские синонимы | CD233, CD 233, CD-233, SLC4A1, SLC4-A1, WD, BND3, DI, EMPB3, EPB3, FR, RTA1A, SW, WD1, WR, Solute Carrier Family 4,Anion Exchanger,Member 1, Erythrocyte Membrane Protein Band 3 |
Реактивность подтвержденная Нужна другая реактивность? |
человек |
| Источник (хозяин) | кролик |
| Клональность | поликлональное |
| Рекомбинантное | нет |
| Готовое к использованию | нет |
| Концентрация | 0.5 мг/мл |
| Конъюгат | По запросу: HRP, biotin, PerCP, PE, Cy3, FITC, Cy7, Cy5.5, PE-Cy5, PE-Cy7, PerCp-Cy5.5, APC, Cy5, PE-Cy3, PE-Cy5.5, APC-Cy7, Biotin-APC, FITC-Biotin, TRITC, APC-Cy5, AF488, AF594, AF405, AF555, AF700, AF647, AF750 |
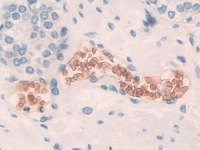
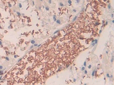
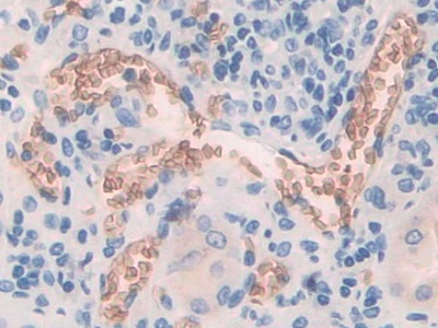
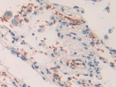
| Валидировано для | IHC WB Иммуногистохимия; Вестерн-блоттинг |
| Рекомендуемые разведения | WB: 0.01-2 мкг/мл; IHC: 5-20 мкг/мл; ICC: 5-20 мкг/мл; Оптимальное разведение определяется конечным потребителем |
| Метод очистки | Антигенспецифическая аффинная хроматография с последующей аффинной хроматографией с белком А |
| Состав буфера | PBS, pH7.4, 0.02% NaN3, 50% глицерин |
| Условия доставки | термобокс с аккумуляторами холода |
| Условия хранения | Сразу после получения аликвотировать и хранить при -20ºС до 24 месяцев. Для частого использования хранить при +4ºС не более 2 недель. Избегать повторения циклов замерзания/оттаивания |
| Срок хранения | 24 месяца |
| Производитель | Cloud-Clone Corp. |
| Ссылка на страницу товара на сайте производителя | http://www.cloud-clone.com/products/PAB681Hu01.html |
|
Артикул
|
Наименование |
Производитель
|
|---|
|
Артикул
|
Наименование |
Производитель
|
|---|
|
Артикул
|
Наименование |
Производитель
|
|---|
|
Артикул
|
Наименование |
Производитель
|
|---|
Акции и предложения
Популярные продукты:
Rat ATP dependent RNA helicase DHX8(DHX8) ELISA kit (E02A1842)
Организм: крыса
Chicken Prefoldin subunit 5(PFDN5) ELISA kit (E12P0766)
Организм: курица
Goat Prefoldin subunit 5(PFDN5) ELISA kit (E06P0766)
Организм: коза
Mouse Prefoldin subunit 5(PFDN5) ELISA kit (E03P0766)
Организм: мышь
Диапазон определения: 0.5-10 нг/мл
Чувствительность: 0.1 нг/мл
Диапазон определения: 0.5-10 нг/мл
Чувствительность: 0.1 нг/мл
Rat Prefoldin subunit 5(PFDN5) ELISA kit (E02P0766)
Организм: крыса
Human Prefoldin subunit 5(PFDN5) ELISA kit (E01P0766)
Организм: человек
Диапазон определения: 0.5-10 нг/мл
Чувствительность: 0.1 нг/мл
Диапазон определения: 0.5-10 нг/мл
Чувствительность: 0.1 нг/мл

