| UNIPROT | Q92934 |
| Иммуноген | RPC337Hu01-Recombinant Bcl2 Associated Death Promoter (BAD) |
Polyclonal Antibody to Bcl2 Associated Death Promoter (BAD) (PAC337Hu01)
Реактивность подтвержденная:
человек
Источник (хозяин):
кролик
Валидировано для:
IHC
WB
Характеристики
Публикации
Техническое описание
| Русское название | PAC337Hu01 Поликлональное антитело к BAD (человек) <Cloud-Clone,Китай> |
| Каталожный номер | PAC337Hu01 |
| Название антигена | Bcl2 Associated Death Promoter (BAD) |
| UNIPROT | Q92934 |
| Иммуноген | RPC337Hu01-Recombinant Bcl2 Associated Death Promoter (BAD) |
| Английские синонимы | BBC2, BCL2L8, BCL2-Antagonist Of Cell Death, Bcl-2-binding component 6, Bcl-2-like protein 8, Bcl-xL/Bcl-2-associated death promoter, Bcl2 antagonist of cell death |
Реактивность подтвержденная Нужна другая реактивность? |
человек |
| Источник (хозяин) | кролик |
| Клональность | поликлональное |
| Рекомбинантное | нет |
| Готовое к использованию | нет |
| Концентрация | 0.28 мг/мл |
| Конъюгат | По запросу: HRP, biotin, PerCP, PE, Cy3, FITC, Cy7, Cy5.5, PE-Cy5, PE-Cy7, PerCp-Cy5.5, APC, Cy5, PE-Cy3, PE-Cy5.5, APC-Cy7, Biotin-APC, FITC-Biotin, TRITC, APC-Cy5, AF488, AF594, AF405, AF555, AF700, AF647, AF750 |
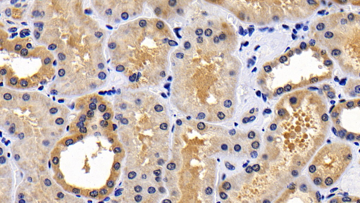
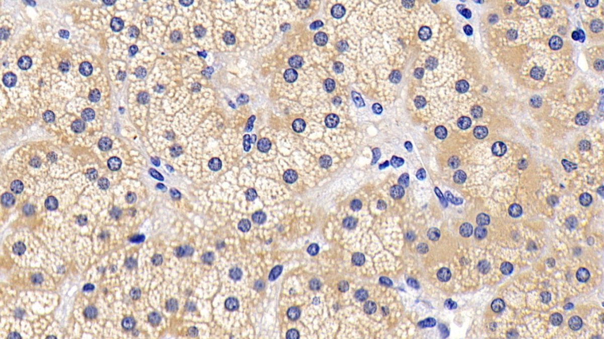
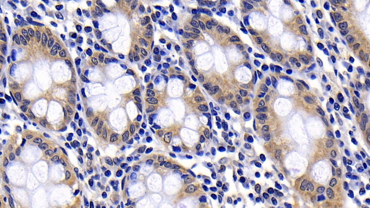
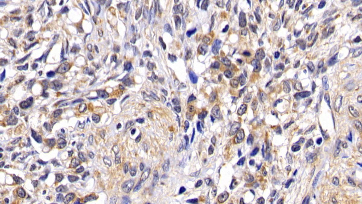
| Валидировано для | IHC WB Иммуногистохимия; Вестерн-блоттинг |
| Рекомендуемые разведения | WB: 0.01-2 мкг/мл; IHC: 5-20 мкг/мл; ICC: 5-20 мкг/мл; Оптимальное разведение определяется конечным потребителем |
| Метод очистки | Антигенспецифическая аффинная хроматография с последующей аффинной хроматографией с белком А |
| Состав буфера | PBS, pH7.4, 0.02% NaN3, 50% глицерин |
| Условия доставки | термобокс с аккумуляторами холода |
| Условия хранения | Сразу после получения аликвотировать и хранить при -20ºС до 24 месяцев. Для частого использования хранить при +4ºС не более 2 недель. Избегать повторения циклов замерзания/оттаивания |
| Срок хранения | 24 месяца |
| Производитель | Cloud-Clone Corp. |
| Ссылка на страницу товара на сайте производителя | http://www.cloud-clone.com/products/PAC337Hu01.html |
|
Артикул
|
Наименование |
Производитель
|
|---|
|
Артикул
|
Наименование |
Производитель
|
|---|
Акции и предложения
Популярные продукты:
TBC1D1 Polyclonal Antibody (E-AB-16909)
Источник (хозяин): кролик
Реактивность подтвержденная: человек
Валидировано для: IHC
Реактивность подтвержденная: человек
Валидировано для: IHC
ELISA Kit DIY Materials for Trefoil Factor 2 (TFF2) (KSA748Ra01)
Организм: крыса
Диапазон определения: 0.625-40 нг/мл
Чувствительность: 0.241 нг/мл
Диапазон определения: 0.625-40 нг/мл
Чувствительность: 0.241 нг/мл
Bovine Ectodysplasin-A ELISA kit (E11E0400)
Организм: корова
Goat Bcl2 Associated Death Promoter ELISA kit (E06B0633)
Организм: коза

