| UNIPROT | Q07812 |
| Иммуноген | CPB343Hu21-OVA Conjugated Bcl2 Associated X Protein (Bax) |
Polyclonal Antibody to Bcl2 Associated X Protein (Bax) (PAB343Hu01)
Реактивность подтвержденная:
человек
Источник (хозяин):
кролик
Валидировано для:
IHC
WB
Характеристики
Публикации
Техническое описание
| Русское название | PAB343Hu01 Поликлональное антитело к Bax (человек) <Cloud-Clone,Китай> |
| Каталожный номер | PAB343Hu01 |
| Название антигена | Bcl2 Associated X Protein (Bax) |
| UNIPROT | Q07812 |
| Иммуноген | CPB343Hu21-OVA Conjugated Bcl2 Associated X Protein (Bax) |
| Английские синонимы | BCL2L4, Bax Zeta, Apoptosis regulator BAX, Bcl-2-like protein 4 |
Реактивность подтвержденная Нужна другая реактивность? |
человек |
| Реактивность предсказываемая | мышь, крыса, свинья |
| Источник (хозяин) | кролик |
| Клональность | поликлональное |
| Рекомбинантное | нет |
| Готовое к использованию | нет |
| Концентрация | 0.5 мг/мл |
| Конъюгат | По запросу: HRP, biotin, PerCP, PE, Cy3, FITC, Cy7, Cy5.5, PE-Cy5, PE-Cy7, PerCp-Cy5.5, APC, Cy5, PE-Cy3, PE-Cy5.5, APC-Cy7, Biotin-APC, FITC-Biotin, TRITC, APC-Cy5, AF488, AF594, AF405, AF555, AF700, AF647, AF750 |
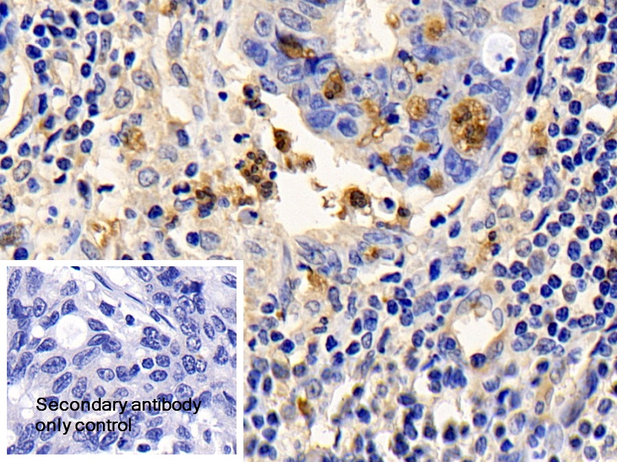
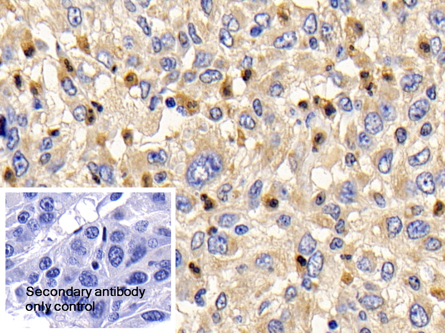
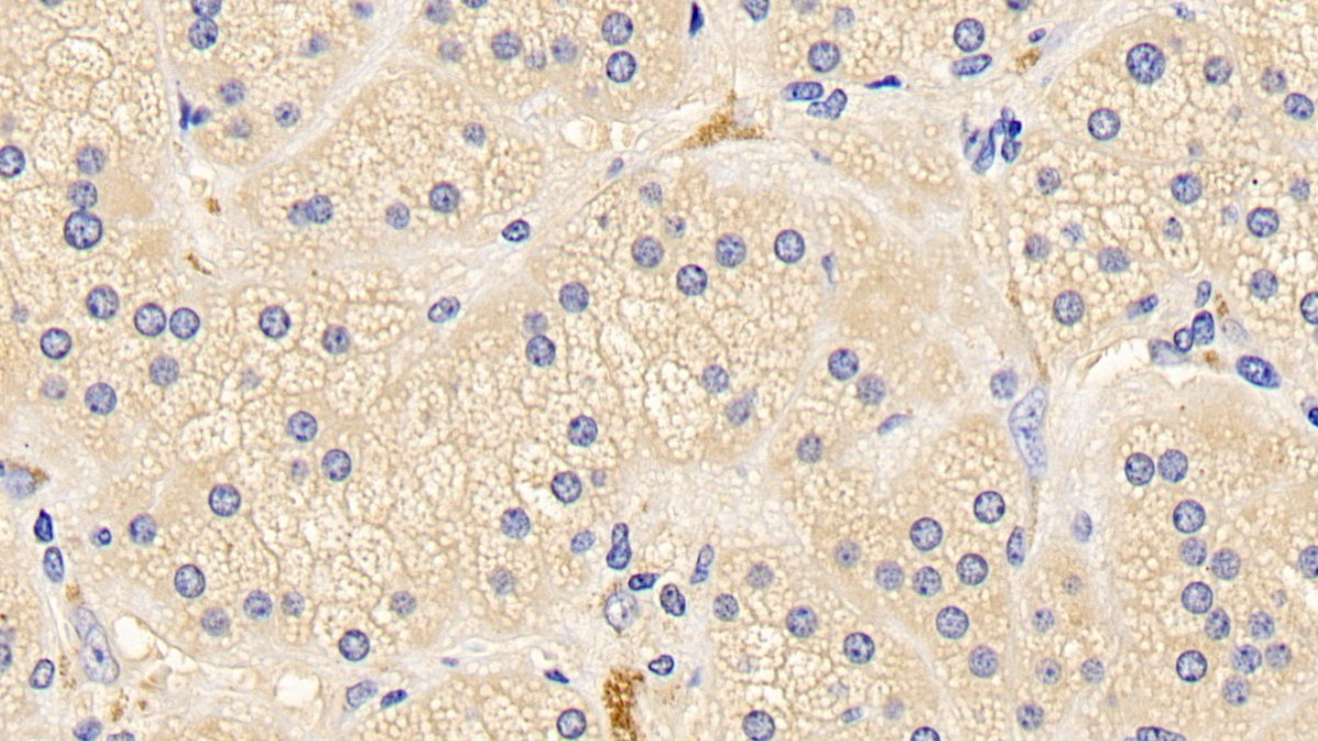
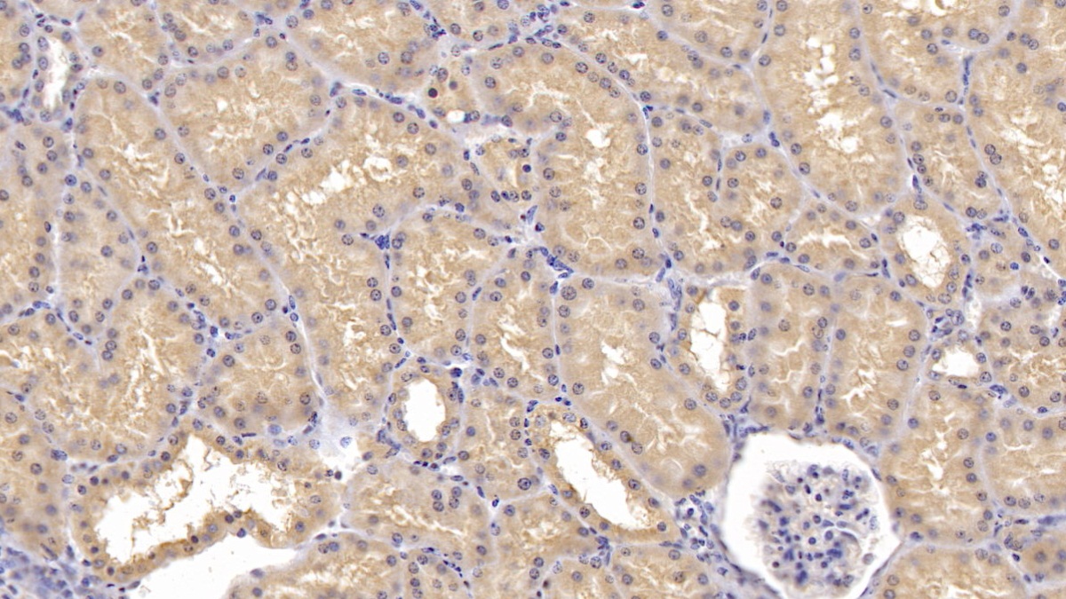
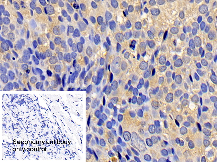
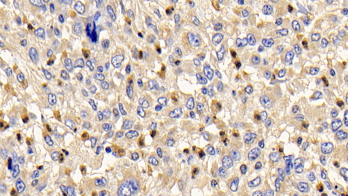
| Валидировано для | IHC WB Иммуногистохимия; Вестерн-блоттинг |
| Рекомендуемые разведения | WB: 0.01-2 мкг/мл; IHC: 5-20 мкг/мл; ICC: 5-20 мкг/мл; Оптимальное разведение определяется конечным потребителем |
| Метод очистки | Антигенспецифическая аффинная хроматография с последующей аффинной хроматографией с белком А |
| Состав буфера | 0.01M PBS, pH7.4, 0.05% Proclin-300, 50% глицерин |
| Условия доставки | термобокс с аккумуляторами холода |
| Условия хранения | Сразу после получения аликвотировать и хранить при -20ºС до 24 месяцев. Для частого использования хранить при +4ºС не более 2 недель. Избегать повторения циклов замерзания/оттаивания |
| Срок хранения | 24 месяца |
| Производитель | Cloud-Clone Corp. |
| Ссылка на страницу товара на сайте производителя | http://www.cloud-clone.com/products/PAB343Hu01.html |
|
Артикул
|
Наименование |
Производитель
|
|---|
|
Артикул
|
Наименование |
Производитель
|
|---|
|
Артикул
|
Наименование |
Производитель
|
|---|
|
Артикул
|
Наименование |
Производитель
|
|---|
|
Артикул
|
Наименование |
Производитель
|
|---|
|
Артикул
|
Наименование |
Производитель
|
|---|
|
Артикул
|
Наименование |
Производитель
|
|---|
|
Артикул
|
Наименование |
Производитель
|
|---|
|
Артикул
|
Наименование |
Производитель
|
|---|
Акции и предложения
Популярные продукты:
Anti-Human ZHX1 Antibody (C61) (RHK65201)
Источник (хозяин): мышь
Реактивность подтвержденная: человек
Валидировано для: ELISA, IF, IP
Реактивность подтвержденная: человек
Валидировано для: ELISA, IF, IP
Anti-Human BAX Antibody (2D9) (RHG13206)
Источник (хозяин): мышь
Реактивность подтвержденная: человек
Валидировано для: ELISA
Реактивность подтвержденная: человек
Валидировано для: ELISA
Recombinant Human ZHX1 Protein, N-His-SUMO (YHK65201)
Источник (хозяин): E.coli
Организм: человек
Фрагмент: Asp81-Asp150
Теги: N-His-SUMO
Биоактивность: нет
Организм: человек
Фрагмент: Asp81-Asp150
Теги: N-His-SUMO
Биоактивность: нет
Anti-Human BAX Nanobody (SAA2133) (RHG13205)
Источник (хозяин): альпака
Реактивность подтвержденная: человек
Валидировано для: ELISA, SPR
Реактивность подтвержденная: человек
Валидировано для: ELISA, SPR
Anti-CYFIP1 Antibody (R2H94) (RHJ12501)
Источник (хозяин): кролик
Реактивность подтвержденная: человек, мышь, крыса
Валидировано для: WB
Реактивность подтвержденная: человек, мышь, крыса
Валидировано для: WB
PE/Cyanine7 Anti-Human CD57 Antibody[HI57a] (E-AB-F1333H)
Источник (хозяин): мышь
Реактивность подтвержденная: человек
Валидировано для: FCM
Реактивность подтвержденная: человек
Валидировано для: FCM

