| UNIPROT | Q96LC9 |
| Иммуноген | RPC330Hu01-Recombinant Bcl2 Modifying Factor (BMF) |
Polyclonal Antibody to Bcl2 Modifying Factor (BMF) (PAC330Hu01)
Реактивность подтвержденная:
человек
Источник (хозяин):
кролик
Валидировано для:
IHC
WB
Характеристики
Техническое описание
| Русское название | PAC330Hu01 Поликлональное антитело к BMF (человек) <Cloud-Clone,Китай> |
| Каталожный номер | PAC330Hu01 |
| Название антигена | Bcl2 Modifying Factor (BMF) |
| UNIPROT | Q96LC9 |
| Иммуноген | RPC330Hu01-Recombinant Bcl2 Modifying Factor (BMF) |
Реактивность подтвержденная Нужна другая реактивность? |
человек |
| Источник (хозяин) | кролик |
| Клональность | поликлональное |
| Рекомбинантное | нет |
| Готовое к использованию | нет |
| Концентрация | 0.5 мг/мл |
| Конъюгат | По запросу: HRP, biotin, PerCP, PE, Cy3, FITC, Cy7, Cy5.5, PE-Cy5, PE-Cy7, PerCp-Cy5.5, APC, Cy5, PE-Cy3, PE-Cy5.5, APC-Cy7, Biotin-APC, FITC-Biotin, TRITC, APC-Cy5, AF488, AF594, AF405, AF555, AF700, AF647, AF750 |
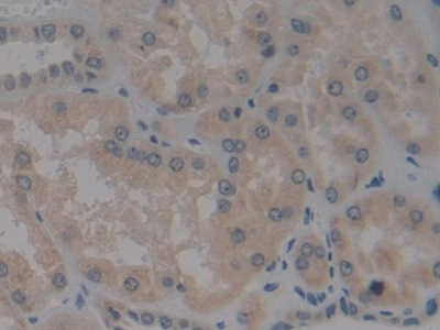
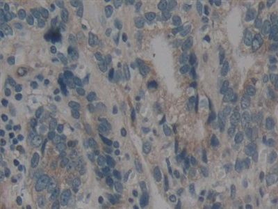
| Валидировано для | IHC WB Иммуногистохимия; Вестерн-блоттинг |
| Рекомендуемые разведения | WB: 0.01-5 мкг/мл; IHC: 5-20 мкг/мл; Оптимальное разведение определяется конечным потребителем |
| Метод очистки | Антигенспецифическая аффинная хроматография с последующей аффинной хроматографией с белком А |
| Состав буфера | PBS, pH7.4, 0.02% NaN3, 50% глицерин |
| Условия доставки | термобокс с аккумуляторами холода |
| Условия хранения | Сразу после получения аликвотировать и хранить при -20ºС до 24 месяцев. Для частого использования хранить при +4ºС не более 2 недель. Избегать повторения циклов замерзания/оттаивания |
| Срок хранения | 24 месяца |
| Производитель | Cloud-Clone Corp. |
| Ссылка на страницу товара на сайте производителя | http://www.cloud-clone.com/products/PAC330Hu01.html |
|
Артикул
|
Наименование |
Производитель
|
|---|
|
Артикул
|
Наименование |
Производитель
|
|---|
Акции и предложения
Популярные продукты:
EPHB4 Mouse Monoclonal Antibody (BF8270)
Источник (хозяин): мышь
Реактивность подтвержденная: человек, мышь, крыса
Валидировано для: ICC, IF, IHC, WB
Реактивность подтвержденная: человек, мышь, крыса
Валидировано для: ICC, IF, IHC, WB
InVivoMAb Anti-Human CD274/PD-L1/B7-H1 Antibody (29E.2A3) (VHJ70102)
Источник (хозяин): мышь
Реактивность подтвержденная: человек
Валидировано для: ELISA, FuncS
Реактивность подтвержденная: человек
Валидировано для: ELISA, FuncS
Bovine 14-3-3 protein beta/alpha(YWHAB) ELISA kit (E11Y0004)
Организм: корова
Goat Coronin 1C(CORO1C) ELISA kit (E06C1952)
Организм: коза
Human Destrin(DSTN) ELISA kit (E01D0295)
Организм: человек
Диапазон определения: 0.5-10 нг/мл
Чувствительность: 0.1 нг/мл
Диапазон определения: 0.5-10 нг/мл
Чувствительность: 0.1 нг/мл
Rabbit Collagen Alpha 2(VIII) chain (COL8A2) ELISA kit (E04C1922)
Организм: кролик

