| UNIPROT | Q02248 |
| Иммуноген | RPB021Mu01-Recombinant Beta Catenin (β-catenin) |
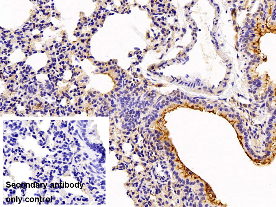
Polyclonal Antibody to Beta Catenin (β-catenin) (PAB021Mu01)
Реактивность подтвержденная:
мышь
Источник (хозяин):
кролик
Валидировано для:
IHC
WB
Характеристики
Техническое описание
| Русское название | PAB021Mu01 Поликлональное антитело к β-catenin (мышь) <Cloud-Clone,Китай> |
| Каталожный номер | PAB021Mu01 |
| Название антигена | Catenin Beta 1 (CTNNb1) |
| UNIPROT | Q02248 |
| Иммуноген | RPB021Mu01-Recombinant Beta Catenin (β-catenin) |
| Английские синонимы | bCat, b-Cat, CTNN-B1, Cadherin-Associated Protein, beta-catenin |
| Русские синонимы | бета-катенин, бета катенин |
Реактивность подтвержденная Нужна другая реактивность? |
мышь |
| Реактивность предсказываемая | человек, мышь, собака, лошадь |
| Источник (хозяин) | кролик |
| Клональность | поликлональное |
| Рекомбинантное | нет |
| Готовое к использованию | нет |
| Концентрация | 0.5 мг/мл |
| Конъюгат | По запросу: HRP, biotin, PerCP, PE, Cy3, FITC, Cy7, Cy5.5, PE-Cy5, PE-Cy7, PerCp-Cy5.5, APC, Cy5, PE-Cy3, PE-Cy5.5, APC-Cy7, Biotin-APC, FITC-Biotin, TRITC, APC-Cy5, AF488, AF594, AF405, AF555, AF700, AF647, AF750 |
| Валидировано для | IHC WB Иммуногистохимия; Вестерн-блоттинг |
| Рекомендуемые разведения | WB: 0.01-2 мкг/мл; IHC: 5-20 мкг/мл; ICC: 5-20 мкг/мл; Оптимальное разведение определяется конечным потребителем |
| Метод очистки | Антигенспецифическая аффинная хроматография с последующей аффинной хроматографией с белком А |
| Состав буфера | PBS, pH7.4, 0.02% NaN3, 50% глицерин |
| Условия доставки | термобокс с аккумуляторами холода |
| Условия хранения | Сразу после получения аликвотировать и хранить при -20ºС до 24 месяцев. Для частого использования хранить при +4ºС не более 2 недель. Избегать повторения циклов замерзания/оттаивания |
| Срок хранения | 24 месяца |
| Производитель | Cloud-Clone Corp. |
| Ссылка на страницу товара на сайте производителя | http://www.cloud-clone.com/products/PAB021Mu01.html |
|
Артикул
|
Наименование |
Производитель
|
|---|
|
Артикул
|
Наименование |
Производитель
|
|---|
|
Артикул
|
Наименование |
Производитель
|
|---|
|
Артикул
|
Наименование |
Производитель
|
|---|
|
Артикул
|
Наименование |
Производитель
|
|---|
|
Артикул
|
Наименование |
Производитель
|
|---|
|
Артикул
|
Наименование |
Производитель
|
|---|
|
Артикул
|
Наименование |
Производитель
|
|---|
|
Артикул
|
Наименование |
Производитель
|
|---|
|
Артикул
|
Наименование |
Производитель
|
|---|
Акции и предложения
Популярные продукты:
FITC-Linked Polyclonal Antibody to Protein Tyrosine Phosphatase Receptor Type B (PTPRB) (LAB048Hu81)
Источник (хозяин): кролик
Реактивность подтвержденная: человек
Валидировано для: ICC, IHC, WB
Реактивность подтвержденная: человек
Валидировано для: ICC, IHC, WB
Polyclonal Antibody to Beta Catenin (β-catenin) (PAB021Ra01)
Источник (хозяин): кролик
Реактивность подтвержденная: крыса
Валидировано для: WB
Реактивность подтвержденная: крыса
Валидировано для: WB
Polyclonal Antibody to Beta Catenin (β-catenin) (PAB021Mu01)
Источник (хозяин): кролик
Реактивность подтвержденная: мышь
Валидировано для: IHC, WB
Реактивность подтвержденная: мышь
Валидировано для: IHC, WB
ELISA Kit for Beta Catenin (β-catenin) (SEB021Hu)
Организм: человек
Диапазон определения: 15.6-1000 пг/мл
Чувствительность: 5.9 пг/мл
Диапазон определения: 15.6-1000 пг/мл
Чувствительность: 5.9 пг/мл
Rituximab ELISA Kit (KDC90709)
Организм: человек
Диапазон определения: 31.25-2000 нг/мл
Чувствительность: 23.65 нг/мл
Диапазон определения: 31.25-2000 нг/мл
Чувствительность: 23.65 нг/мл
OR5D3 Mouse Monoclonal Antibody (BF9376)
Источник (хозяин): мышь
Реактивность подтвержденная: человек, мышь
Валидировано для: WB
Реактивность подтвержденная: человек, мышь
Валидировано для: WB

